✅作者简介:热爱科研的Matlab仿真开发者,擅长数据处理、建模仿真、程序设计、完整代码获取、论文复现及科研仿真。
🍎 往期回顾关注个人主页:Matlab科研工作室
🍊个人信条:格物致知,完整Matlab代码及仿真咨询内容私信。
🔥 内容介绍
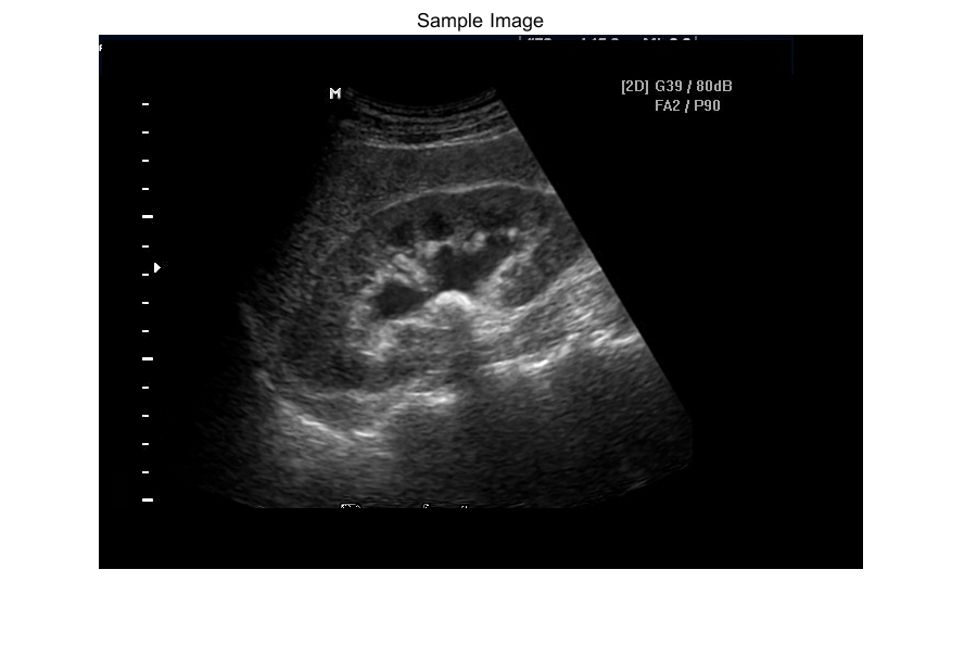
肾结石(Renal Calculi),又称肾石(Kidney Stone),是一种基于晶体形成的固体团块。在医疗操作中,精准定位尿路结石(Urinary Calculus)至关重要。由于超声图像中的斑点噪声(Speckle Noise)会给人工检测尿路结石带来困难,因此有必要采用自动化方法在超声图像中识别肾结石。
超声成像是用于诊断肾脏异常(Kidney Abnormalities)的影像学技术之一。肾脏结构与位置的改变、肢体水肿(Limb Edema)均属于肾脏异常的表现形式。此外,肾结石、肾囊肿(Cysts)、尿路梗阻(Obstructed Urine)、先天性畸形(Congenital Malformations)以及恶性细胞(Malignant Cells)增生等,也属于常见的肾脏疾病(Renal Problems)。通过采用合适的图像处理技术,可有效解决(超声图像中结石检测困难这一)问题。
关键医学与技术术语说明
- Renal Calculi(肾结石):医学领域标准术语,指在肾脏内形成的固体结晶团块,主要成分包括草酸钙、磷酸钙、尿酸等,大小从几毫米到数厘米不等,可能引发腰腹疼痛、血尿等症状。
- Speckle Noise(斑点噪声):超声成像中因声波散射产生的固有噪声,表现为图像中颗粒状的明暗波动,会掩盖结石、囊肿等细微结构,是影响超声图像诊断精度的主要因素之一。
- Urinary Calculus(尿路结石):广义术语,涵盖肾结石、输尿管结石、膀胱结石等所有位于尿路系统中的结石,原文中因上下文聚焦肾脏检测,此处可理解为 “肾结石” 的延伸表述。
- Kidney Abnormalities(肾脏异常):泛指肾脏在结构、功能或位置上的异常状态,除原文提及的结石、囊肿外,还包括肾炎、肾积水、肾肿瘤等病症,超声成像是初步筛查此类异常的常用无创手段。




⛳️ 运行结果





📣 部分代码
imshow(original_image),title('Sample Image'); %a
%% Image Preprocessing phase
%Converting into grayscale image && %% Getting pixel info
gray_image=rgb2gray(original_image); %a and b
figure;
imshow(gray_image),title('Grayscale Image');
impixelinfo %Give pixel intensity of any [x,y] data coordinates
%% Plotting histogram of grayscale image
% figure; %%Useful for applying thresolding and finding particular
% thresolding value
% imhist(gray_image),title('Histogram of grayscale image');
%% Thresolding using 20 intensity value, above 20 pixel value 1 or 0
binary_image=imbinarize(gray_image,20/255); %Otherwise Binary image or c = b>20; %divide by 255 because imbinarize
%function accepts values between 1 and 0
figure;
imshow(binary_image),title('Binary Thresolding Image');
impixelinfo
🔗 参考文献

🎈 部分理论引用网络文献,若有侵权联系博主删除
👇 关注我领取海量matlab电子书和数学建模资料
🏆团队擅长辅导定制多种科研领域MATLAB仿真,助力科研梦:
🌟 各类智能优化算法改进及应用
生产调度、经济调度、装配线调度、充电优化、车间调度、发车优化、水库调度、三维装箱、物流选址、货位优化、公交排班优化、充电桩布局优化、车间布局优化、集装箱船配载优化、水泵组合优化、解医疗资源分配优化、设施布局优化、可视域基站和无人机选址优化、背包问题、 风电场布局、时隙分配优化、 最佳分布式发电单元分配、多阶段管道维修、 工厂-中心-需求点三级选址问题、 应急生活物质配送中心选址、 基站选址、 道路灯柱布置、 枢纽节点部署、 输电线路台风监测装置、 集装箱调度、 机组优化、 投资优化组合、云服务器组合优化、 天线线性阵列分布优化、CVRP问题、VRPPD问题、多中心VRP问题、多层网络的VRP问题、多中心多车型的VRP问题、 动态VRP问题、双层车辆路径规划(2E-VRP)、充电车辆路径规划(EVRP)、油电混合车辆路径规划、混合流水车间问题、 订单拆分调度问题、 公交车的调度排班优化问题、航班摆渡车辆调度问题、选址路径规划问题、港口调度、港口岸桥调度、停机位分配、机场航班调度、泄漏源定位、冷链、时间窗、多车场等、选址优化、港口岸桥调度优化、交通阻抗、重分配、停机位分配、机场航班调度、通信上传下载分配优化
🌟 机器学习和深度学习时序、回归、分类、聚类和降维
2.1 bp时序、回归预测和分类
2.2 ENS声神经网络时序、回归预测和分类
2.3 SVM/CNN-SVM/LSSVM/RVM支持向量机系列时序、回归预测和分类
2.4 CNN|TCN|GCN卷积神经网络系列时序、回归预测和分类
2.5 ELM/KELM/RELM/DELM极限学习机系列时序、回归预测和分类
2.6 GRU/Bi-GRU/CNN-GRU/CNN-BiGRU门控神经网络时序、回归预测和分类
2.7 ELMAN递归神经网络时序、回归\预测和分类
2.8 LSTM/BiLSTM/CNN-LSTM/CNN-BiLSTM/长短记忆神经网络系列时序、回归预测和分类
2.9 RBF径向基神经网络时序、回归预测和分类
2.10 DBN深度置信网络时序、回归预测和分类
2.11 FNN模糊神经网络时序、回归预测
2.12 RF随机森林时序、回归预测和分类
2.13 BLS宽度学习时序、回归预测和分类
2.14 PNN脉冲神经网络分类
2.15 模糊小波神经网络预测和分类
2.16 时序、回归预测和分类
2.17 时序、回归预测预测和分类
2.18 XGBOOST集成学习时序、回归预测预测和分类
2.19 Transform各类组合时序、回归预测预测和分类
方向涵盖风电预测、光伏预测、电池寿命预测、辐射源识别、交通流预测、负荷预测、股价预测、PM2.5浓度预测、电池健康状态预测、用电量预测、水体光学参数反演、NLOS信号识别、地铁停车精准预测、变压器故障诊断
🌟图像处理方面
图像识别、图像分割、图像检测、图像隐藏、图像配准、图像拼接、图像融合、图像增强、图像压缩感知
🌟 路径规划方面
旅行商问题(TSP)、车辆路径问题(VRP、MVRP、CVRP、VRPTW等)、无人机三维路径规划、无人机协同、无人机编队、机器人路径规划、栅格地图路径规划、多式联运运输问题、 充电车辆路径规划(EVRP)、 双层车辆路径规划(2E-VRP)、 油电混合车辆路径规划、 船舶航迹规划、 全路径规划规划、 仓储巡逻、公交车时间调度、水库调度优化、多式联运优化
🌟 无人机应用方面
无人机路径规划、无人机控制、无人机编队、无人机协同、无人机任务分配、无人机安全通信轨迹在线优化、车辆协同无人机路径规划、
🌟 通信方面
传感器部署优化、通信协议优化、路由优化、目标定位优化、Dv-Hop定位优化、Leach协议优化、WSN覆盖优化、组播优化、RSSI定位优化、水声通信、通信上传下载分配
🌟 信号处理方面
信号识别、信号加密、信号去噪、信号增强、雷达信号处理、信号水印嵌入提取、肌电信号、脑电信号、信号配时优化、心电信号、DOA估计、编码译码、变分模态分解、管道泄漏、滤波器、数字信号处理+传输+分析+去噪、数字信号调制、误码率、信号估计、DTMF、信号检测
🌟电力系统方面
微电网优化、无功优化、配电网重构、储能配置、有序充电、MPPT优化、家庭用电、电/冷/热负荷预测、电力设备故障诊断、电池管理系统(BMS)SOC/SOH估算(粒子滤波/卡尔曼滤波)、 多目标优化在电力系统调度中的应用、光伏MPPT控制算法改进(扰动观察法/电导增量法)、电动汽车充放电优化、微电网日前日内优化、储能优化、家庭用电优化、供应链优化
🌟 元胞自动机方面
交通流 人群疏散 病毒扩散 晶体生长 金属腐蚀
🌟 雷达方面
卡尔曼滤波跟踪、航迹关联、航迹融合、SOC估计、阵列优化、NLOS识别
🌟 车间调度
零等待流水车间调度问题NWFSP 、 置换流水车间调度问题PFSP、 混合流水车间调度问题HFSP 、零空闲流水车间调度问题NIFSP、分布式置换流水车间调度问题 DPFSP、阻塞流水车间调度问题BFSP
👇
3万+

被折叠的 条评论
为什么被折叠?



