腹部和盆腔医疗器械相关并发症:图解论文
摘要
多种医疗器械用于监测或治疗腹部和盆腔疾病。这些器械在腹部X光片和计算机断层扫描(CT)中通常可见,与其使用相关的并发症并不少见。与医疗器械使用相关的并发症包括迁移、位置异常和骨折,这些在腹部X光片上可轻易识别。其他潜在并发症包括出血、梗阻、感染和器官损伤,这些可能在CT上被发现。因此,了解这些并发症并熟悉其影像学表现是管理带有医疗器械患者的重要方面。本图示综述的目的是展示与医疗器械使用相关的潜在并发症在腹部X光片和CT上的特征。
关键词 医疗设备 · 并发症 · 腹部X光片 · 计算机断层扫描
引言
各种各样的医疗器械用于患者管理,通常具有明显的特征。腹部X光片和计算机断层扫描(CT)上的特征[1–3]。与其使用相关的并发症并不少见[4]。事实上,这些并发症可能随着医疗器械的类型、使用目的以及每位患者的病情而有所不同。医疗设备植入后引发的并发症导致了大量需要及时通知患者医生的情况。放射学在监测带有留置医疗器械的患者以及诊断与这些医疗器械相关的潜在并发症方面起着重要作用。据我们所知,此前尚无系统性综述专门聚焦于腹部和盆腔内医疗器械相关并发症。
本图解综述的目的是使放射科医生熟悉与腹部X光片和计算机断层扫描中各种管路、支架、不同类型导管以及一些其他装置相关的并发症。为此,我们展示了腹部X光片和计算机断层扫描所见的并发症表现,并将其分为几大类以简化说明,包括迁移、位置异常、断裂和其他(表1)。
迁移
迁移是指医疗设备从其原始插入部位发生的自发性移位。迁移的发生可分为以下几类:(1)导管系统内的内引流支架,例如胰胆管、胃肠道和尿路;(2)外部引流导管,例如经皮经肝胆道引流、持续不卧床腹膜透析(CAPD)和经皮脓肿引流;(3)具有特殊用途的任何设备,例如宫内节育器(IUD),并伴随实质器官穿孔。
胰管和胆道支架
胰管和胆道支架由塑料或金属制成,通常用于胰管或胆管阻塞的患者。主要不良事件是迁移和支架堵塞。胰管或胆道支架发生迁移的情况占5–10%(图1)[5]。与覆膜金属支架或塑料支架相比,裸露的自膨式金属支架迁移发生率较低。
胃肠道支架
胃肠道支架主要用于重建因各种疾病导致的胃肠道梗阻的通畅性(图2)。尽管覆膜支架因肿瘤向内生长引起的梗阻发生率较低,但其迁移的发生率高于裸露支架。据报道,覆膜支架的迁移率为10–25%,而裸露支架的迁移率为2–6%[6]。移位的支架本身可能引起致命并发症,如肠梗阻、出血或穿孔(图3)。
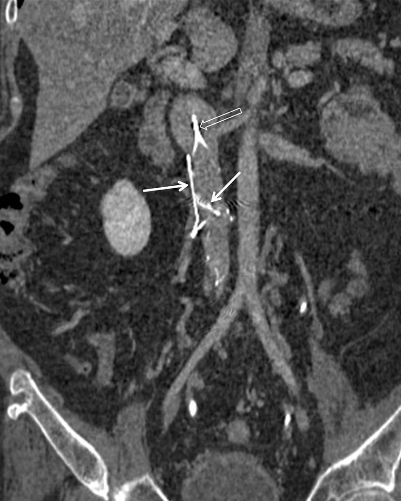
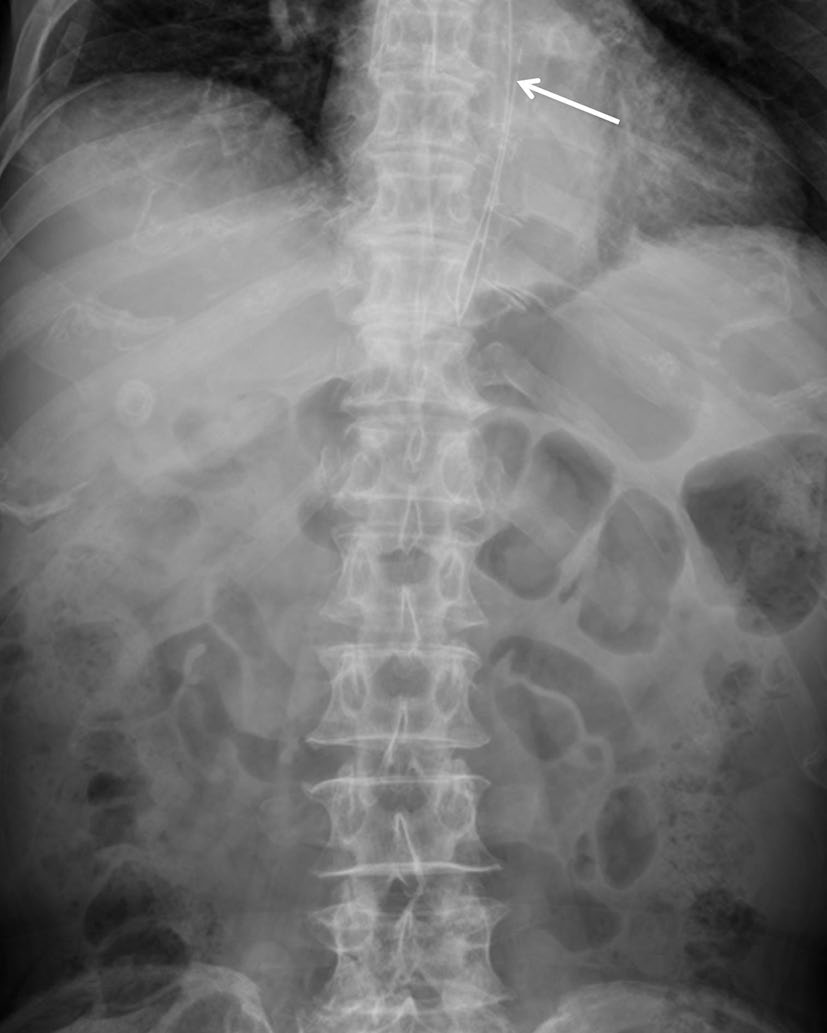
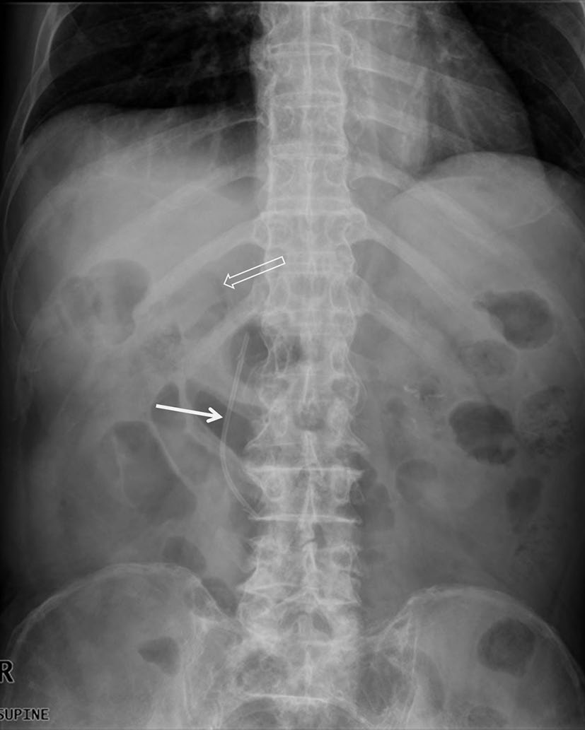
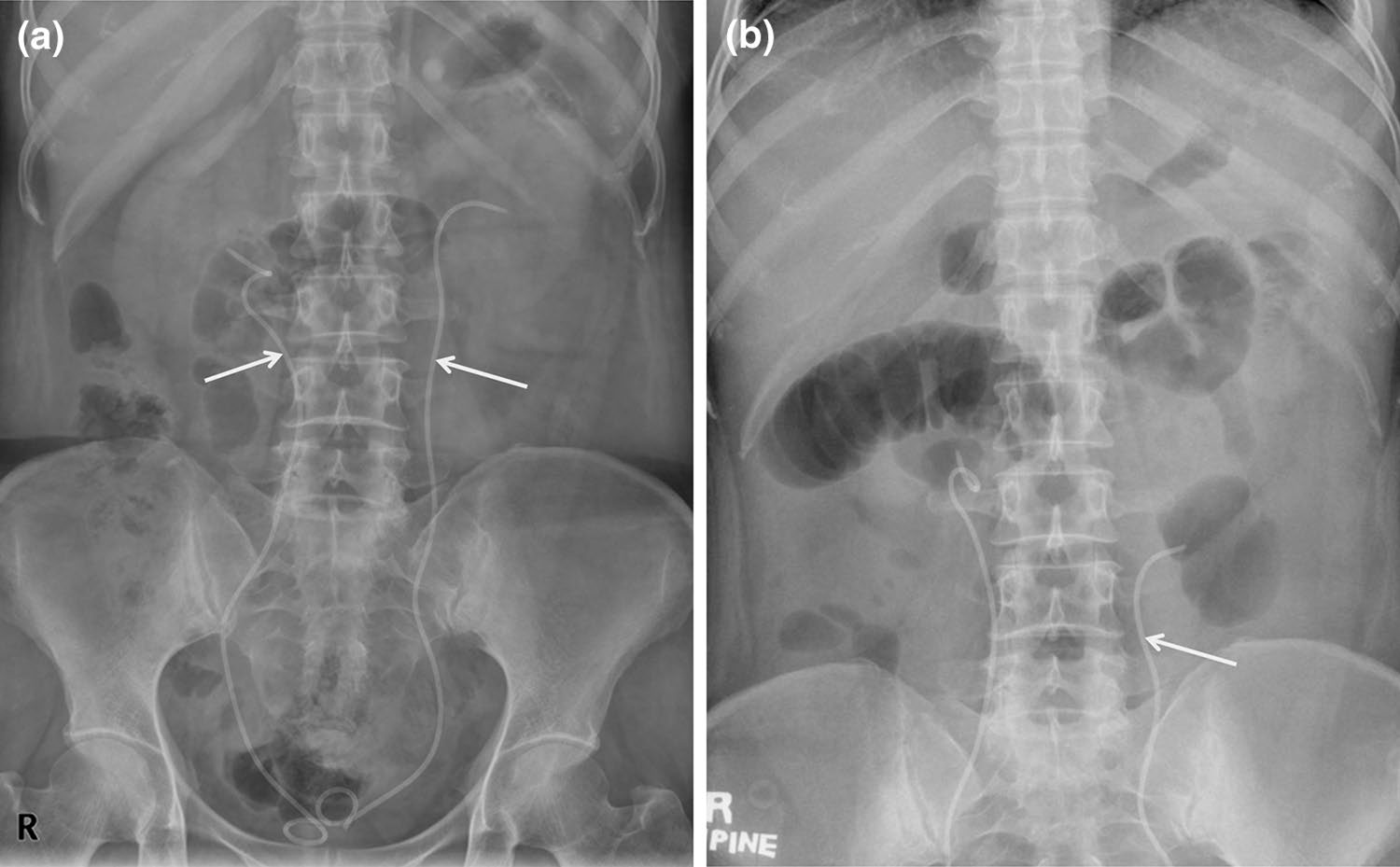
输尿管支架
输尿管支架通常用于治疗输尿管梗阻或瘘(图4)[7]。支架的近端和远端部分设计为J形或猪尾形,以防止从输尿管迁移。然而,由于蠕动作用,支架仍可能发生迁移(图5)[7]。
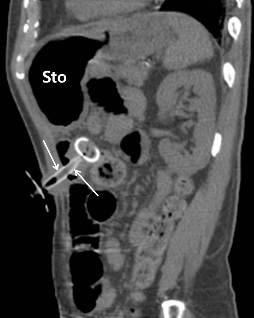
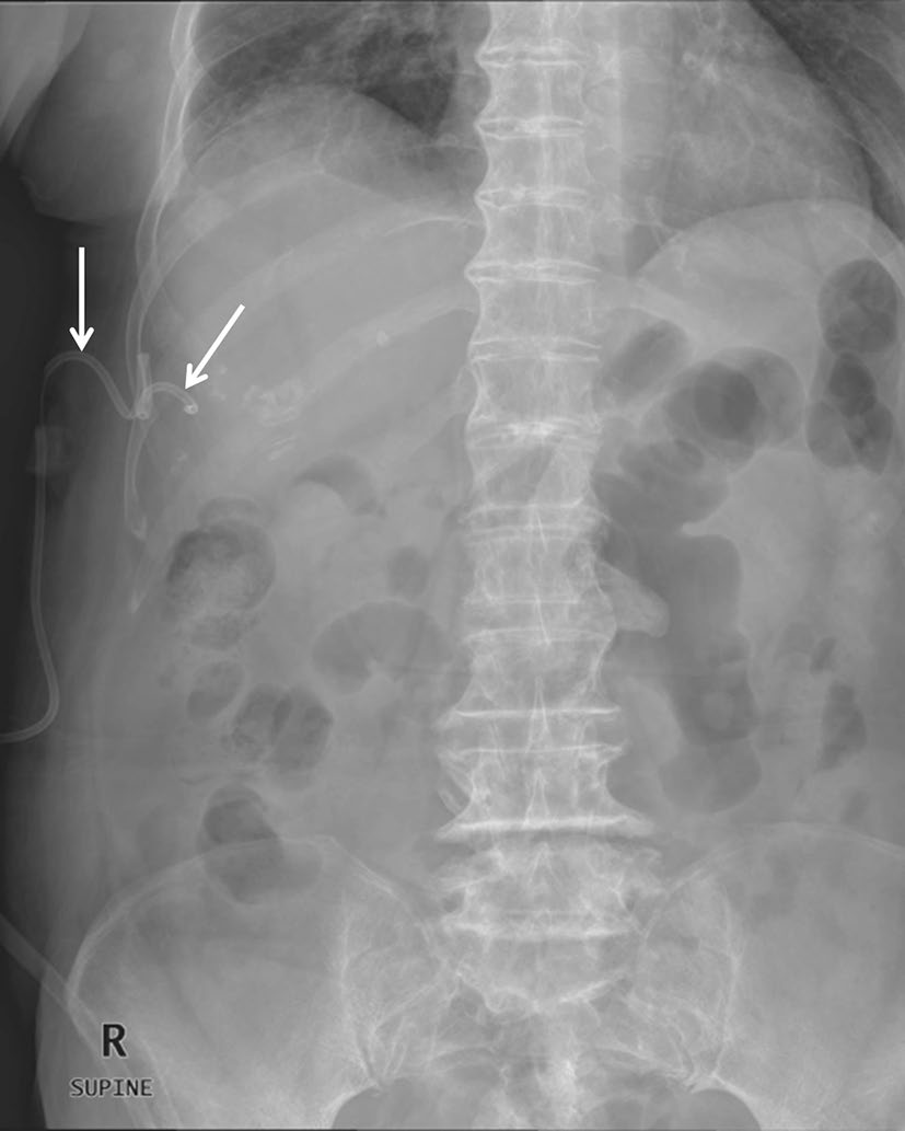
外引流导管
经皮导管引流通常用于处理脓肿或异常积液,以缓解任何通道器官的梗阻或为支架置入提供通路(图6)[1]。一旦导管成功置入,至关重要的是以保持导管处于最佳位置。如果导管尖端发生迁移,引流功能可能会显著受损(图7)。为避免导管移位,将导管固定于皮肤至关重要。
持续性不卧床腹膜透析导管
持续性非卧床腹膜透析(CAPD)主要用于治疗终末期肾衰竭患者(图8)[8]。在导管置入过程中,腹膜透析导管的远端尖端应置于盆腔内的低位位置,以确保透析液交换时充分流出。导管尖端从盆腔迁移出来会导致透析液流出受阻和液体引流不充分(图9)。据报道,该事件在导管置入后1年内的发生率为57%[8]。
宫内节育器
宫内节育器(IUDs)是常用且高效的临时避孕装置,应位于子宫内膜腔中央。然而,它们可能在子宫腔内移位,远端脱入阴道,或通过子宫穿孔进入腹腔(图10)[2]。
位置异常
医疗设备位置异常定义为与预期放置位置相比存在不当的位置;可能在置入操作过程中发生[7]。
腹部和盆腔常见的医疗器械,如鼻胃管(图11)、胃造口管(图12)和Foley导尿管(图13),可能出现位置不当[4]。
鼻胃管在床旁盲插,无需透视引导[2]。该管常未插入胃内,而是进入胃肠道的其他部位,如食管或十二指肠,有时甚至进入气管(图14)。胃造口管通过手术、内镜或经皮方式置入,用于长期营养支持。导管末端的球囊部件充气后可固定管端位置,应置于胃内[2]。位置异常是胃造口管置入后常见的并发症之一(图15)。
导管位置异常可导致胃内容物泄漏至腹腔,从而引起腹膜炎。弗利导尿管位置异常可能导致导尿管球囊在尿道内充盈所致的损伤。
骨折
某些医疗器械的断裂可能与器械材料、植入时间、器械所处的解剖结构以及任何相关操作有关。支架断裂的报道发生率偏低,可能是由于意识不足以及对事件检测困难所致。胆道或胃肠道支架的断裂可能自发发生,也可能由用于治疗肿瘤再生的球囊扩张或氩等离子凝固引起(图16)[10]。这些断裂可能导致胃肠道出血、复发性胆道梗阻、肠梗阻或穿孔。
下腔静脉滤器已用于预防接受难治性抗凝治疗的患者发生危及生命的肺栓塞(图17)[1]。过滤器骨折的风险可能与过滤器在体内留置时间的长短有关,尽管报道的发生率约为5.5%;一项研究显示,在5.5年时的预测断裂率为40%(图18)[9]。此外,断裂碎片的迁移可导致危及生命的并发症。因此,如果不再需要防止肺栓子,应尽早考虑取出过滤器。
其他
摄入的诊断设备滞留
一些医疗设备设计为可吞服,通常会随着时间自行排出体外[3]。不当滞留的医疗器械可能引起刺激、炎症、肠梗阻,甚至更严重的并发症,如脓肿形成。
胶囊内镜已用于评估小肠疾病(图19)。诊断用内镜胶囊应在1–2天内排出体外[11]。胶囊滞留是该操作中最令人担忧的并发症,定义为胶囊在胃肠道内滞留超过2周[11]。胶囊滞留的风险范围为0%至13%,在已知患有克罗恩病肠狭窄的患者中更为常见[11]。如果怀疑发生滞留,连续随访腹部X光片或计算机断层扫描有助于确认胶囊的位置(图20)[3]。
感染
使用医疗设备可能会增加细菌或真菌生长的风险。导管尤其与医院获得性感染率升高相关[12]。与腹部和盆腔医疗器械相关的感染问题可能是腹膜炎。感染是与持续不卧床腹膜透析导管以及脑室‐腹膜分流管的腹膜段相关的最常见并发症[8, 13]。感染也可能作为支架器械置入后的并发症而发生[7, 10]。在腹部X光片上识别感染可能较为困难;因此,计算机断层扫描在检测感染方面起着重要作用(图21)。
出血
出血可能发生在医疗设备安装期间或移除后不久。大多数腹壁轻微出血可通过压迫处理[14]。然而,一些难治性出血和腹腔内活动性出血的情况仍然是最严重的并发症,需要进行栓塞或手术干预。仅靠腹部X光片无法检测到出血。需使用对比增强多探测器CT是检测出血的一种准确的诊断方法(图22)。
遗留手术纱布
遗留手术纱布是指在手术结束后意外遗留在患者体内的纱布或毛巾。据报道,手术纱布或棉签在腹部和盆腔中滞留的发生率约为0.02–1%[15]。残留手术纱布通常无症状,但有时可引起肉芽肿反应,并导致脓肿形成、肠梗阻或瘘管形成。大多数遗留的手术纱布可在平片X线检查中被发现,因为它们带有放射不透性标记。然而,没有明显放射不透性标记的手术纱布则只能通过计算机断层扫描识别。尽管残留手术纱布在计算机断层扫描上的表现多种多样,但漩涡状结构或含有气泡的海绵样模式是一种典型征象(图23)[15]。
结论
只需稍微关注一下医疗器械,迁移、位置异常或骨折等并发症就很容易在平片X线检查上被识别出来。计算机断层扫描在检测和诊断其他并发症(如感染、出血、梗阻或器官损伤)方面也可以发挥重要作用。熟悉医疗器械以及通过腹部X光片或计算机断层扫描早期发现与其使用相关的并发症,可使放射科医生向临床医生提供重要信息,从而有助于改善患者管理。

被折叠的 条评论
为什么被折叠?



