人体免疫系统由分布在全身的细胞网络组成,这些细胞必须动态地形成物理关联,并利用其细胞表面蛋白质组之间的相互作用进行通信。尽管众多研究显示,免疫系统具有疾病治疗的潜力,但这些表面相互作用的图谱仍不完整。以前,科学家和临床医生在体内所有不同类型的免疫细胞之间只有这些受体连接的不完整图谱。

▲来自人类供体血液的免疫细胞,使用新型单轮多重免疫荧光方案染色(照片:Yannik Severin、Julien Mena、Berend Snijder / ETH Zürich)。
近日,英国桑格研究所、瑞士苏黎世大学科学家团队在Nature上发表的一篇名为“A physical wiring diagram for the human immune system”文章揭开了人类免疫系统的神秘面纱,团队利用高通量表面受体筛选方法——可扩展的阵列多价细胞外相互作用筛选(SAVEXIS),绘制出了人类免疫系统的物理联系图,展示了全身免疫细胞是进行如何连接和交流的。
免疫疗法已经显示出治疗疾病的巨大潜力,尤其是针对某些恶性肿瘤。然而,这些仅适用于某些患者群体和特定条件。了解免疫受体连接图可以帮助解释为什么免疫疗法有时只对一部分患者有效,并为设计可能对目前未从这些治疗中受益的患者有效的未来免疫疗法提供新的目标。下面,就和伯小医一起来学习下团队是如何绘制图谱的吧!
背景介绍
人体免疫系统必须保持与身体其他稳态器官系统相同的协调性和凝聚力,尽管它由分布在全身的高度迁移和循环细胞类型组成。不同的细胞表面蛋白阵列将免疫细胞组织成相互连接的细胞群落,通过物理相互作用将细胞连接起来,这些相互作用既可用于信号通信,也可用于结构粘附(Bausch-Fluck et al., 2018)。免疫受体几乎调节细胞活化的所有阶段,并被视为各种稳态和病理过程的关键介质,这些过程从肿瘤监测到自身免疫,再到感染控制。由于这些原因,连同它们对全身给药药物的可及性,免疫表面蛋白及其相互作用是特别有吸引力的治疗靶点(Yao et al., 2013)。

图1 细胞表面信号分子作为重要的治疗靶点(Yao et al., 2013)。
这项新研讨发现了许多曾经不知道的免疫细胞彼此效果,这些彼此效果一起构成了人体的免疫防护安排,为现在免疫疗法中存在的长时间问题供给了答案,未来或许催生恶性肿瘤、流行病等疾病的新免疫疗法的呈现。
构建表面蛋白相互作用图
为了能够在接近全细胞表面蛋白质组大小的规模上系统地调查免疫细胞之间的表面蛋白相互作用,团队首先开发出了SAVEXIS法,同时解决了以前方法的几个关键限制,使得在消耗微量蛋白质的同时筛选数十万种相互作用成为可能(图2a)。每个表达构建体的设计都经过定制以适应蛋白质的结构类别,具有六种不同的定制设计,用于在功能上表达不同的受体拓扑结构和多组分复合物(图2b)。从这个全面的初级筛选中确定正相互作用,然后在二级筛选中重新测试,使用来自单独细胞株的独立蛋白质制剂,得到最终矩阵可重复的相互作用(图2c),并以低于万分之一的误报率独立捕获了所有先前报告的交互作用(图2d)。最终,确定了28个新的相互作用,将人类免疫系统中已知的高置信度相互作用的总数扩大了20%(图2e)。

图2 系统蛋白质相互作用作图得到的白细胞受体网络(Shilts et al., 2022)。
量化总受体参与
接下来,团队测试了编码受体的cDNA转染后,人类细胞表面上的蛋白质与互补受体的结合(图3a)。随后是两轮表面等离子体共振(SPR)以表征直接结合(图3b)。之后,将SPR数据中测量的结合亲和力与文献中提取的测量值结合,不仅可组装一个系统的物理相互作用网络,还可组装一个独特的定量网络(图3c)。其次,将这种定量受体相互作用网络与白细胞中的蛋白质组学表达相结合,可深入了解整个免疫系统的结合动力学模式(图3d),较高亲和力的相互作用在炎症状态下占主导地位(图3e)。
介于上述事实,团队建立了一个大致模型,以总结单个蛋白质相互作用对给定细胞相互作用的贡献(图3f),从模型中可推断出人类免疫细胞物理相互作用的相对频率,且其精度与已发表的经验测量值一致(图3g)。

图3 验证和组装定量免疫相互作用组(Shilts et al., 2022)。
集成多细胞网络
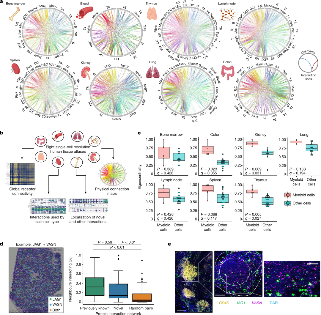
随后,团队试图创建一个交互式的图集以将网络相互作用背景化,其绘制了在人类组织单细胞表达数据集中检测到受体和配体对的位置(图4a),包括从不同组织免疫群体的整体细胞连接性到推断哪个细胞对能够进行特定的受体相互作用(图4b)。其已在多个初级和次级淋巴组织中量化,且骨髓细胞具有较高评分(图4c)。为研究网络中的相互作用是否在人体生理环境下表现出来,最终检查了淋巴结空间转录组学数据集中受体和配体的空间共定位,并进行了验证(图4d、e)。

图4 人体免疫细胞连接的交互式图谱(Shilts et al., 2022)。
作者寄语
Jarrod Shilts说:“精心分离和分析每个免疫细胞及其与其他免疫细胞的相互作用,为我们提供了人体中所有免疫细胞之间对话的第一张图。这是了解免疫系统内部运作的一大步,希望世界各地的研究人员能够利用它来帮助开发与人体防御机制一起工作的新疗法。”
Berend Snijder教授说:“这项研究产生了一种令人难以置信的新工具,可用于帮助突出哪些蛋白质和途径在药物开发中是有益的。它还可以深入了解药物是否会对其他途径产生影响,从而导致副作用。所有这些信息都可能有助于新疗法的开发,并可能提供关键的支持证据,以帮助确保将最有效的治疗方法投入临床试验。”
参考文献
Bausch-Fluck D, Goldmann U, Müller S, et al. The in silico human surfaceome. Proc Natl Acad Sci U S A. 2018;115(46):E10988-E10997.
Shilts J, Severin Y, Galaway F, et al. A physical wiring diagram for the human immune system. Nature. 2022;10.1038/s41586-022-05028-x.
Yao S, Zhu Y, Chen L. Advances in targeting cell surface signalling molecules for immune modulation. Nat Rev Drug Discov. 2013;12(2):130-146.
2142

被折叠的 条评论
为什么被折叠?



