6.1 Nitinol的冶金学如其所述涉及 医疗器械
T.德里格ConfluentMedicalTechnologies,美国加 利福尼亚州弗里蒙特
有人可能会质疑,为什么一本关于钛合金的书会包含对镍钛诺(一种接近等原 子比但略富镍的合金)的评述。然而,从多个角度来看,这是完全合理的:其 保护性TiO2相同,具有类似的高强度和低弹性模量,事实上,一些β钛合金也 表现出形状记忆特性,尽管程度要弱得多。
1962年发现的镍钛诺在随后的30年中一直令人失望。最初,人们关注的 是其热致形状记忆效应,而非更为直接的超弹性特性。虽然作为超弹性材料曾 被应用于胸罩和手机天线,但由于高成本以及可利用该效应的温度范围较窄, 其广泛应用仍受到限制。直到人们意识到镍钛诺与医疗器械具有天然的契合性 后才取得成功——除了能够接受高成本外,人体还提供了理想的恒温环境。一 旦该合金的生物相容性得到认可,镍钛诺便迅速进入了每一位医疗器械工程师 的工具箱中。在介入心脏病学领域,它已成为植入物及输送系统的默认选择。
6.1.1Nitinol的冶金学
了解镍钛诺不同寻常的特性必须从其基础的物理冶金学入手,而遗憾的是,这 一领域复杂且常被误解。尽管我们在此力求提供一份简明而实用的镍钛诺冶金 学概述,但仍建议读者参考大塚和任的优秀综述[1]以获得更扎实的理论基础, 或参考各种在线资源获取更实用的工程总结[2]。
图6.1.1显示了Ni‐Ti相图,其中等原子比NiTi化合物以蓝色突出显示。该化 合物本身具有看似简单的有序简单立方结构,如图6.1.2A所示,即B2(CsCl型) 结构。当冷却时,这种母相(即奥氏体)变得不稳定,如同所有物质一样,会趋 向于熵更低的结构。对我们而言最感兴趣的低熵相是一种单斜结构,通常简称为 “马氏体”,使用大写的“M”是为了强调它特指这一种马氏体相,以便与另一 种竞争性的马氏体相变(称为R相)区分开来,R相将在后文介绍。
马氏体的结构被描述为B190结构,近似示于图6.1.2C中。
将奥氏体转变为马氏体需要两个步骤:(1)将原子移动到其新位置,以 及(2)创建容纳所得结构所需的空间。将原子移动到其新位置需要进行微小 的位移(如图6.1.2A–C所示)。由于不需要长程扩散,该相变可被视为与时 间无关。如图6.1.2D所示,所得形状在某些方向上被拉伸,在其他方向上被缩 短。如图注所述,最大拉伸和压缩的方向并不位于晶胞边上,而是位于非理性 方向上,分别导致拉伸和压缩量为10.6%和6.9%。通过观察图6.1.2A–C的演 变过程,可以看出,根据哪个角度打开至96.8度以及哪些立方体边被拉伸或缩 短,共有12种方式可由奥氏体形成马氏体。这12个变体产生12种不同的畸变应 变。
这就引出了相变的第二步:适应马氏体晶体的新形状——如果该形状无法 被适应,累积的应变能将迅速阻止相变进程。为了继续进行,马氏体必须自适 应其奥氏体母相的尺寸和形状。奥氏体与马氏体的体积相同,因此产物相只需 适应形状变化。但累积的应变能可能引发其他马氏体变体的形成,这些变体会 抵消形核变体的形状变化,如图6.1.3所示。许多马氏体变体是孪生相关的 (如同
展示了四个奥氏体晶胞,每个均为具有一个镍原子和一个钛原子组成的基 元的简单立方结构;(B)展示了相同的结构,但采用四方表示法(见(A)中的虚线)。 (C)展示了单斜马氏体结构,(D)展示了每个晶胞边的畸变。更详细的晶体学分析显示, 最大拉伸畸变为10.6%,沿[1 0 1.8]B19 0方向;最大压缩畸变为6.9%,沿[3. 5 0 1]B19 0方向。还需注意,该相变伴随有晶胞内部的小幅度原子位移,此处为简化起 见已省略。)
液相
1025°C
1310°C
镍原子百分比
Te mp era tur e° C
1118°C
625°C
TiNi
TiNi+ TiNi 3
TiNi+
钛镍 2 3
Ti2Ni+ TiNi
钛2镍3+ TiNi3
1400
1200
1000
800
600
400
200
0 30 40 50 60 70 80
图6.1.3中所示的两个图6.1.3变体之间的边界既具有低能量又具有高移动性。
自适应匹配并非一个完美的过程,也并非所有变体界面都是低能量的,因 此向马氏体的转变伴随着界面和体积应变能。这些匹配难题可被视为动学障碍, 意味着必须提供额外的化学能,才能使相变得以形核并扩展。这导致了滞后现 象以及渐进相变,而不是在达到临界温度时突然发生相变(图6.1.4)。该图
标注了逆变温度Ms ∗
96.8°
(A) (B)
(C) (D)
以及Mf ∗,而不是更传统但常常具有误导性的标签As 和Af——这样做的原因很快就会 清楚。
虽然马氏体必须以自协调的变体群形式形成,但一旦形成后,这些变体便能 够自行调整以适应任何施加的应力。由于移动的界面是孪晶界,因此只需要很小 的应力(约50–100MPa)即可使有利取向的变体相对于不利取向的变体生长。因 此,马氏体的应力‐应变行为(图6.1.5)表现为两个屈服点,第一个源于变体选择, 第二个则是在变体已优化以适应施加应力后,由传统的滑移过程引起。
Mf
Ms Mf *
Ms *
加热
1
0 vo lu m e fra ct io n M ar te ns ite
冷却 温度 To
图6.1.4尽管在To时马氏体和奥氏体的化学能相等,但相变体积内部及表面的应变能会 产生相变的动力学障碍,必须克服这些障碍才能使新相形核(导致滞后),并继续进 行相变(导致渐进相变)。注意,此处使用Mf ∗表示马氏体的逆转变,取代了传统的 Af标记,因为我们的关注点在于马氏体的形成与逆转变,而不论其逆转变是回到奥氏 体还是中间相。(虽然本图中将To置于滞后环中心,但并无依据表明情况一定如此。)
St res s( MP a)
应变(%)
600
500
400
300
200
100
00 2 4 6 8 10
图6.1.5典型的马氏体应力‐应变曲线,初始屈服是由于优选马氏体变体的选择,随后由 于滑移而出现第二次更常规的屈服。
现在可以开始讨论形状记忆效应本身了(图6.1.6)。冷却时,奥氏体转 变为熵更高的马氏体相,该马氏体相以自协调的变体群形式形成。施加适度应 力会导致有利取向的变体取代不利取向的变体。加热时,所有马氏体变体均恢 复为单一的母相奥氏体,原始形状得以恢复。恢复时可回收的应变即为理想的 马氏体变体群与母相奥氏体之间的差异,该应变可能超过10%
图6.1.6当冷却时,奥氏体形成 孪晶的、自适应的马氏体。随 后的变形会选择最优降低应变 能的变体组合。但当加热时, 只有唯一的母相变体奥氏体, 因此恢复原始形状。
在理想取向的单晶中,拉伸时会转变为单一马氏体变体,而在通常具有织构的多晶丝 材中,可能为7.5%。
我们现在将注意力转向应力对马氏体和奥氏体相对稳定性的影响。正如所 有物质在冷却时倾向于形成更低熵的结构一样,应力也会促使所有物质寻求能 够降低施加应力的结构。因此,例如,蒸汽可以通过施加静水压应力(压力) 而被冷凝。我们已经知道,马氏体能够在很低的应力下 accommodatedeformations(适应变形),因此施加应力或应变会像冷却 一样有利于马氏体的形成。与蒸汽和水不同的是,马氏体和奥氏体具有相同的 体积,因此只有偏应力和应变会影响其稳定性,而不是压力(偏应力是指那些 改变形状而非体积的应力)。描述镍钛诺对应力响应的方程与描述水的方程相 同,即克劳修斯‐克拉佩龙方程:
dσ=dT¼ΔS=Δε (6.1.1)
这个至关重要的比率称为应力速率,在比较奥氏体和马氏体时,约为6– 7MPa/°C。每冷却1°C相当于施加6.5MPa的拉伸应力。
由于应力能稳定马氏体,因此马氏体可被应力诱发,而应力去除后则发生 逆转变并恢复原始形状。结果是超弹性(通常称为伪弹性),如图6.1.7所示。
与马氏体的变形类似,超弹性的应力‐应变响应也表现出一个平台区(图 6.1.8),但现在马氏体的优选变体是通过应力诱发产生的,而不是如图6.1.5 所示的变体选择过程。式(6.1.1)还要求,应力诱发马氏体的难度(上平台区) 以及促使逆转变发生的应力(下平台区)随温度升高以约6.5MPa/°C的速率 增加。诱发马氏体所需的应力以此速率上升,直到足以引起常规滑移变形—— 该温度常被称为马氏体抑制温度,或Md。(类比而言,密闭压力锅内水的压 强
图6.1.7超弹性是形状记忆效应 不可避免的伴生现象。如果通 过施加应力而非冷却来稳定马 氏体,则自适应马氏体一旦形 成便会去孪晶化为最优变体。 此时逆转变由卸载引起,而非 加热。
St res s( %)
1400
1200
1000
800
600
400
200
0
应变(%)
2 0 4 6 8 10 12 14
0°C 23°C 40°C 60°C
图6.1.8超弹性镍钛诺的拉伸行为再次表现出两个屈服点和一个平台区,其中加载平台 是由于应力诱发马氏体引起的,而卸载平台则是由于马氏体的逆转变所致。与克劳修 斯‐克拉佩龙方程一致,两个平台区均随温度升高而增加,增幅约为6.5兆帕/摄氏度。
上述讨论描述了一种理想化的Ni‐Ti合金,例如不含氧或碳的完全退火等 原子比Ni‐Ti合金。这种合金不仅无法获得,而且对医疗器械设计人员来说也 毫无用处。由于篇幅限制,有必要简要总结上述三点(“完全退火”、“等原 子比”和“无间隙元素”)。
完全退火的Ni‐Ti对滑移的抗力较低——低至500兆帕。这意味着应力诱发 马氏体与传统滑移机制相互竞争,导致马氏体开始温度较低,并因引入不可恢 复应变而影响逆转变过程。为了实现最佳的超弹性效应,需要对合金进行强化 并抑制滑移。由于合金可容忍的溶质含量有限,时效和固溶合金化带来的强化 效果通常较小,因此必须通过冷加工来抑制滑移。在医疗器械中为优化性能, 通常需要达到1100兆帕至1400兆帕以上的抗拉强度。
等原子比的镍钛诺表现出约90Ms温度约为90°C,逆变温度Ms ∗超过110°C。
为了在植入器件中实现超弹性,Ms ∗必须低于体温(当然,越低则材料越硬, 平台应力越高,如图6.1.8所示)。如图6.1.1所示,在高温下过量镍可溶于 NiTi化合物中,若快速冷却,过量镍将以置换式形式保留在晶格中
缺陷。图6.1.9显示了相变温度对淬火镍含量的依赖性。但Ms对镍的依赖性很 强,将成分控制到大多数医疗器械所需的精度较为困难。因此,大多数合金在 合成时所含的镍比实际需要更多,然后通过时效处理析出多余的镍。该技术可 将相变温度控制在优于 4°C的范围内,根据公式(6.1.1),这意味着平台应力 可控制在优于 30MPa的范围内。图6.1.1显示析出相应为Ni3Ti2,,但实际上 更常形成的是亚稳态析出相Ni4Ti3析出相。
正如Ti在NiTi化合物中没有固溶度一样,间隙原子也没有明显的固溶度。
碳形成碳化钛,氧形成Ti4Ni2O,且两者若不重新熔化就无法重新溶解。此外, 它们都会从NiTi基体中浸出钛,导致相变温度下降;并且不幸的是,两者都 为疲劳裂纹提供了良好的萌生位置。大量研究致力于理解夹杂物对疲劳的影响, 以及消除和细化这些夹杂物[5,6]。
最后,有必要说明一下R相。时效和冷加工(以及某些置换型缺陷)会产 生内应力场,马氏体胚团会在能量上有利地与这些内应力场结合。正如预期的 那样,这些内应力场会抑制向马氏体的转变,迫使奥氏体寻找与应力场相互作 用较弱的低熵结构。R相正是这样一种竞争性的马氏体相变,其熵介于奥氏体 和马氏体之间,但动学障碍要低得多。当马氏体因时效或冷加工而受到抑制时, 奥氏体会首先形成R相,然后随着进一步冷却,R相
M
s
T e m p e ra tu re ( °C )
0.92 0.96 1.0 1.04 1.08
镍含量(原子%)
Harrison等人[3] Hanlon等人[4]
47 48 49 50 51 52 53
150
100
50
0
−50
−100
−150
镍/钛比
最终转变为马氏体。在逆转变过程中,马氏体也可能恢复为R相,而不是直接转变为奥氏体。几乎所有医疗器械在形成马氏体之前都会先形成R相。这给用户带来了极大的困惑,主要是因为虽然R相在冷却过程中出现,但马氏体可以直接由奥氏体经应力诱发产生。因此,使用M*来表示马氏体的逆转变,而不论其恢复至何种相态,而不是采用传统但容易误导的Af,后者特指奥氏体的形成[7]。尽管两者有时一致,但更多情况下,奥氏体是通过R相的逆转变形成的,而非直接由马氏体逆转变而来。
6.1.2 机械性能及其对医疗器械的价值
在简要介绍了镍钛诺的物理冶金学之后,我们转向其不同寻常的机械性能,并重点关注这些性能为医疗器械设计带来的价值。其中最明显的一点是,超弹性镍钛诺在经历极大变形后仍能恢复其原始形状。为了说明这一点,图6.1.10展示了镍钛诺器械开发最活跃的领域之一:可通过导管经股动脉或经心尖(通过胸壁)植入的主动脉瓣和二尖瓣置换瓣膜。到目前为止,这些瓣膜主要用于不适合外科手术的患者,但针对较低风险患者群体的临床试验正在进行中,未来导管治疗方案可能成为标准治疗方法。对医疗器械设计人员而言,持续面临的挑战是减小导管尺寸以
像这样的装置可以在不牺牲已部署装置刚度的情况下进行部署,而在这一点上,没有任何材料能与镍钛诺相媲美。
但存在术语上的挑战;上一段中刻意避免使用“弹性”一词,因为该词暗示了一种微观机制以及应变对施加应力的线性响应,而这两种情况在此均不适用。卸载后可能产生的应变量通常称为“回弹”或“恢复”,以避免暗示某种特定机制或恢复是完全的。因此,回弹包括以下三部分:(1)在形成应力诱发马氏体之前奥氏体的真实弹性变形;(2)应力诱发马氏体恢复时产生的恢复应变;(3)马氏体本身的真实弹性恢复。虽然第二部分贡献最大,但由于马氏体相的杨氏模量较低,其弹性也可能相当显著。
图6.1.11 显示了一种典型的超弹性丝材的回弹性能,该丝材成分为50.8 原子百分比镍,处于冷加工和时效状态。与大多数不锈钢小于0.5%的应变相比,其高达11%的恢复应变确实非常显著。这种性能为许多医疗器械的应用提供了可能,但也有若干限制条件。如图6.1.11所示,如此大的回弹只有在能够容忍一定程度的不完美或永久变形的情况下才能实现,幸运的是大多数器械可以接受这一点。其次,这种性能仅在一个较窄的温度范围内有效,通常约为40°C左右。当温度接近低温侧的Mf ∗或高温侧的Md时,永久变形增加,恢复应变则减小。人体本身是一个温度控制极为稳定的环境,但如果器械被约束在导管中,则运输和灭菌温度也必须加以考虑。最后,图6.1.11 的数据是在拉伸条件下测得的,因此根据晶体织构的不同,变体选择可能导致7%–10%的变形。如果是在压缩条件下,变体选择导致的变形仅为4%–6%,且马氏体的模量将显著
S t r a i n ( % )
温度 (°C)
12
10
8
6
4
2
0 −20 0 20 40 60 80 100 120 140 160 M* f
更大。弯曲会产生拉伸和压缩区域,其限制也比单纯的拉伸更大。
选择镍钛诺作为医学装置材料的第二个原因在于其应力‐应变曲线的形状,更具体地说是加载曲线。最能突出这一点的产品之一是最古老的产品——用于建立通向动脉、静脉或其他通道的通路的导丝,以便将其他装置(如导管、球囊或支架)输送至治疗部位。虽然人们可能认为抗屈曲能力仅仅是镍钛诺大回弹的体现,但实际上远不止如此:当应变开始局部集中时,变体选择过程达到饱和,导致该特定区域的应力上升,从而迫使进一步的变形发生在其他位置。这一特性在极薄壁管材中同样带来优势——在此情况下,镍钛诺可以被更大程度地弯曲而不会导致管材屈曲。
这引出了超弹性变形与恢复的另一个有趣方面:应变局部化。尽管马氏体是在离散体积内应力诱发形成的,但这些区域可能合并成称为吕德斯带的带状结构,从而降低材料的整体应变能。一旦形成,这些带在材料中容易移动,消耗母相而无需进一步增加应力。其结果是,任意给定体积要么完全转变为马氏体,要么保持完全奥氏体状态。换句话说,平台区在某种程度上是一种假象:在带外,材料处于平台区的起始阶段;而在带内,则处于平台区的末端。这对有限元建模具有重要意义,因为有限元建模通常假设沿平台区平稳进展。此外,应变局部化仅出现在拉伸过程中,而不会出现在扭转或压缩中;在后两种模式下,马氏体均匀分布,且相变过程面临逐渐增加的应变能势垒。尽管工业界普遍知晓应变局部化的存在,但由于现有建模工具无法处理其所带来的复杂性,这一现象常常被不当忽略。
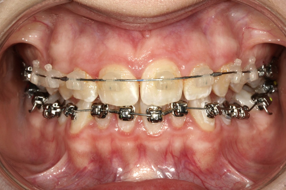
Ni‐Ti 为医疗器械带来的另一个优势源于其非线性卸载行为:只要器械的应变被限制在约1%–7% 范围内,其所施加的应力就不依赖于具体的应变水平。这一点或许可以通过超弹性镍钛诺最早的应用之一——正畸弓丝(图6.1.12)来最好地说明。遵循胡克定律的传统弓丝必须反复收紧或更换——治疗后初始阶段因应力过高而引起疼痛,但随着牙齿移动,应力迅速下降至治疗范围以下。如今,镍钛诺已占当前生产的弓丝总量的一半以上。通过选择合适的弓丝横截面,即使牙齿发生较大位移,其下平台区仍可保持在治疗范围内且低于疼痛阈值。
低模量和高强度生物相容性金属在多个医学领域中受到关注,尤其是骨科器械。植入物与原生解剖结构之间的刚度差异较大时,会导致应力屏蔽,使人体依赖植入物而非原生骨骼。这反过来会减缓愈合过程,并可能导致较差的长期效果。虽然器械刚度的主要因素来自设计因素,但镍钛诺的低模量可能非常具有吸引力。然而,仍需谨慎对待。镍钛诺的模量不仅取决于其处于马氏体或奥氏体状态,还取决于距离相变温度的远近、织构以及在
特别是加载模式,压缩的模量通常是拉伸的两倍[8]。
镍钛诺最重要的优势之一却很少被考虑到,即所谓的偏置刚度,这一特性在支架中的应用最为突出,正是这项应用使镍钛诺在20世纪90年代末迅速崛起。术语支架指人体内的任何支撑结构,但最常见的类型是血管支架,更具体地说是动脉支架。支架领域可分为两类:球囊扩张式(BX)和自膨式(SX),前者通常由不锈钢或钴铬合金制成,后者则由镍钛诺制成[9]。支架中偏置刚度的作用如图6.1.13所示,清楚地将镍钛诺与根据其弹性模量进行加载和卸载的传统金属区分开来。
这就引出了耐久性问题,这或许是镍钛诺最复杂但也是最重要的方面。医疗器械的疲劳是不可避免的,由运动、呼吸和心脏搏动引起;而镍钛诺在此方面的表现具有独特性。首先,我们需要区分载荷控制疲劳与位移控制疲劳。正如从图6.1.8中可以想象的那样,当承受大位移时,镍钛诺的表现远优于其他金属,就像橡胶带比钢更耐用一样。并且,如同橡胶一样,当承受循环载荷时,镍钛诺的表现则不如传统的高强度金属。一种成功利用镍钛诺位移控制疲劳特性的产品是图6.1.14所示的根管锉。
但根管锉在这方面是例外;医疗器械通常既不是位移控制也不是载荷控制,这一点可以通过设想一个无限柔顺的器械和一个无限刚性的器械来说明。前者通常太弱而无法提供益处,而后者通常会对周围组织造成过度创伤。设计者通常试图保持原有解剖结构的柔顺性,从而创造一种可被最佳描述为“柔顺性控制”的环境。这正是使用镍钛诺的意义所在
St r e s s( MP a)
应变(%)
700
600
500
400
300
200
100
a
c
b
1 2 3 4 5 6 7 8
图6.1.13 镍钛诺为医疗器械提供了独特的“偏置刚度”。以支架为例,支架制造时的直径略大于目标值(a点),然后被装入输送系统,沿上平台区应力诱发马氏体转变至 b点。一旦在血管内释放,支架会扩张直至达到应力平衡(c点)。当支架受到进一步卸载(慢性向外力)时表现出很高的顺应性,而当血管发生收缩时则呈现出更强的抵抗(径向抗力)。
图6.1.14 根管锉是应变控制疲劳的典型示例,在该应用中,镍钛诺(包括超弹性和马氏体状态)性能优于所有其他传统金属,并已成为主导材料,显著降低了断裂风险。根管锉通过磨削或轧制在镍钛诺丝上形成螺旋切削刃(有时为马氏体态,有时为超弹性态)。在高速旋转的同时,锉针沿牙齿的柔软根管行进,路径通常高度弯曲[10]。
是为了保持解剖学上的运动,但这会最大化疲劳损伤,并使得寿命预测极为困难,这一领域正不断受到关注和改进[11,12]。尽管空间限制无法进行详细讨论,但有几个要点尤为关键:
1. 疲劳寿命图和分析通常基于平均应变和循环应变,而不是应力。虽然这种方法避免了由平坦的加载平台引入的不稳定性,但显然并不现实,从而导致了一种听起来有些奇怪但合乎逻辑的结果:在最大应变超过应力‐应变平台长度之前,疲劳寿命与平均应变无关。
2. 疲劳裂纹几乎总是形核于夹杂物处——如果存在夹杂物,则碳化物或氧化物便不可用。因此,疲劳寿命是一种统计事件:出现临界夹杂物的概率取决于夹杂物尺寸分布与主应力分布图的叠加情况。出于这一原因,工业界正大力致力于减少夹杂物的尺寸和数量。目前已有氧含量低于100 ppm的新一代超纯镍钛合金,其耐久性显著提高,尽管成本仍然较高,通常仅用于对疲劳敏感的应用场合。
3. 塑性应变(例如由单次过载循环引起)会对缺陷(包括夹杂物)产生强大的屏蔽效应,使其失效。这是由于压缩残余应力所致,尽管这种效应在所有材料中都很常见,但由于过载后镍钛诺释放的弹性能量很大,因此其效应在镍钛诺中要大得多。因此,在使用有限元分析(FEA)分析疲劳时,需要映射平均应变、循环应变幅值以及疲劳前可能发生的任何预应变。
4. 滞后和模量都会影响疲劳,因为能够以弹性方式容纳的循环应变越多,造成的损伤就越少。这导致了对织构和R相范围的相当复杂的依赖性,但这些效应是可以测量的。
由于上述复杂性,我们将不提供疲劳寿命的具体示例——我们的经验是,文献数据被不当使用的情况远多于恰当使用的情况,常常忽略上述要点,从而导致设备故障,而通过更相关的测试本可避免这些故障。
最初,人们对于将镍钛诺用作植入物存在担忧,事实上,早期的植入物确实显示出与腐蚀点蚀相关的腐蚀点蚀和断裂迹象。此外,由于镍是一种已知的致癌物,而镍钛诺含有50原子百分比的镍,因此人们对其植入体内存在固有的恐惧。然而,这些担忧在很大程度上已经得到解决;当经过适当的钝化处理后,镍钛诺的腐蚀程度及其伴随的镍离子释放水平与纯钛相当[13]。电抛光表面为TiO₂,且在深度达数纳米范围内不含镍(参见图6.1.15)。对于采用新工艺或未知工艺制造的器械,仍建议进行广泛的测试。
6.1.3 前进方向
尽管医疗器械已牢固地应用于血管外科、放射学和心脏病学等领域,但医学的其他领域对其应用却出乎意料地缓慢。这一点在骨科和普通外科尤为明显,这两个领域本可极大地受益于上述特性。显然,阻碍进展的因素之一是基础科学理解的滞后。这一突然的兴起
在经历了近30年期间的停滞之后,工业应用中对若干领域的基础研究被忽视,尤其是耐久性和建模方面的研究。我们工业界目前仍然严重依赖广泛的测试,而非预测性设计方法。尤为突出的是,工业界缺乏合理的标准——现有的少数 ASTM标准主要服务于合金生产商,而不是用户群体。希望在下一个十年中,这些领域将得到应有的关注。
A t o m i c c o n c e n t r a t i o n( %)
氧 镍 钛
60
50
40
30
20
10
0
溅射深度(Å)
0 50 100 150 200 250
图6.1.15 典型的钝化的Nitinol表面由几乎纯净的TiO₂组成。
534

被折叠的 条评论
为什么被折叠?



