💥💥💥💥💥💥💥💥💞💞💞💞💞💞💞💞💞Matlab武动乾坤博客之家💞💞💞💞💞💞💞💞💞💥💥💥💥💥💥💥💥
🚀🚀🚀🚀🚀🚀🚀🚀🚀🚀🚤🚤🚤🚤🚤🚤🚤🚤🚤🚤🚤🚤🚤🚤🚤🚤🚤🚤🚤🚤🚀🚀🚀🚀🚀🚀🚀🚀🚀🚀

🔊博主简介:985研究生,Matlab领域科研开发者;
🚅座右铭:行百里者,半于九十。
🏆代码获取方式:
优快云 Matlab武动乾坤—代码获取方式
更多Matlab图像处理仿真内容点击👇
①Matlab图像处理(进阶版)
⛳️关注优快云 Matlab武动乾坤,更多资源等你来!!
⛄一、图像融合简介
1 图像融合
图像融合(Image Fusion)是指将多幅图像的信息融合在一起,生成一幅新的图像,使得新图像能够包含原始图像的所有关键信息和特征。图像融合技术可以将不同源的图像信息进行有效的组合,以提高图像的质量和信息量。
2 图像融合的原理
图像融合的基本原理是将多幅图像进行适当的处理和组合,以实现信息的互补和增强。主要的图像融合方法包括基于像素级的融合、基于特征级的融合和基于模型级的融合。
(1)基于像素级的融合:该方法将多幅图像的像素逐个进行处理和组合,通常采用加权平均、最大值或最小值等方式进行像素级的融合。这种融合方法简单直观,但可能会导致某些信息的丢失。
(2)基于特征级的融合:该方法将多幅图像的特征进行提取和匹配,然后根据匹配结果进行融合。常用的特征包括边缘、纹理、颜色等。这种融合方法可以更好地保留图像的细节和特征,但对特征提取和匹配的准确性要求较高。
(3)基于模型级的融合:该方法将多幅图像的信息进行建模和优化,以得到最优的融合结果。常用的模型包括小波变换、多尺度分析和深度学习等。这种融合方法可以更好地处理不同尺度和分辨率的图像,但对模型的选择和参数的调整要求较高。
3 图像融合的应用
图像融合技术在许多领域都有广泛的应用,下面列举几个常见的应用场景:
(1)红外与可见光图像融合:将红外图像和可见光图像进行融合,可以提高目标检测和识别的性能,尤其在夜间或恶劣环境下具有重要意义。
(2)多模态医学图像融合:将不同模态的医学图像进行融合,可以提供更全面和准确的医学诊断信息,有助于医生做出更准确的判断和决策。
(3)遥感图像融合:将多源的遥感图像进行融合,可以提高地物的识别和分析能力,对于土地利用、资源调查和环境监测等领域具有重要意义。
视频图像融合:将多个视频图像进行融合,可以提高视频质量和信息量,对于视频监控、视频分析和虚拟现实等应用有很大的帮助。
4 图像融合的数据来源
多聚焦的图像的融合(如:数码摄影影像)
多模态图像融合(如:红外和可见光图像的融合;医学图像的融合)
5 数据来源–传感器
(1)遥感数据:全色相机、彩色/多光谱相机,高光谱相机、热红外相机、夜光相机、立体相机、视频相机、合成孔径雷达SRA、激光测量仪。(同一场景多源遥感图像观测的地物对象相同,但观测的维度不同,图像的空间、光谱与时间分辨率存在差异。不同源获取的遥感图像原理不同,图像的空间分辨率、观测尺度预计反映的目标特性也会存在差异)
(2)视觉相机:是必不可少的传感器,它们是廉价的传感器,并且可以为周围场景提供密集的像素信息。
(3)红外和热成像:对比度显著,即使在恶劣天气下也能有效地从背景中突出目标。可见图像包含丰富的纹理细节,更符合人类的视觉感知。红外和可见光图像融合就是将这两种特性结合起来,产生对比度高、纹理丰富的结果。在不利的光线条件和夜视中用于环境感知应用。
(4)激光雷达LiDAR:激光束狭窄,隐蔽性好,被截获的概率很低。(点云数据能够提供地物的空间三维信息,尤其是高精度的高程信息,弥补遥感图像无法有效表示建筑物的侧面墙体、植被高度等立面信息的缺陷,而且点云数据可以直接应用于三维模型重构。缺点:点云数据点集离散分布,无法有效表示地物的轮廓线,并且缺少光谱、纹理信息。融合二者优势,用于地物分类。)
(5)SRA是合成孔径雷达成像: SRA是一种主动微波成像,穿透作用强,能够有效的探测伪装目标,成像不受光线、气候和云雾的限制。多应用于军事侦探、地理测绘、灾害监测等领域。优势:在方位和距离上都能获得很高的几何分辨力,突破经典雷达的分辨率极限。SRA机载卫星具有全天时、全天候的优势,在军事中应用广泛。
(6)全色、多光谱、高光谱图像融合。高分辨和低
⛄二、部分源代码
clear all;
close all;
clc;
addpath(genpath(‘dtcwt_toolbox’));
addpath(genpath(‘fdct_wrapping_matlab’));
addpath(genpath(‘nsct_toolbox’));
[imagename1 imagepath1]=uigetfile(‘source_images*.jpg;.bmp;.png;.tif;.tiff;.pgm;.gif’,‘Please choose the first input image’);
image_input1=imread(strcat(imagepath1,imagename1));
[imagename2 imagepath2]=uigetfile(‘source_images*.jpg;.bmp;.png;.tif;.tiff;.pgm;.gif’,‘Please choose the second input image’);
image_input2=imread(strcat(imagepath2,imagename2));
figure;subplot(131);imshow(image_input1);title(‘图1’)
subplot(132);imshow(image_input2);title(‘图2’)
if size(image_input1)~=size(image_input2)
error(‘two images are not the same size.’);
end
A=double(image_input1);
B=double(image_input2);
level=4;
mm=6;
tic;
subplot(133);
if size(A,3)==1 %for gray images
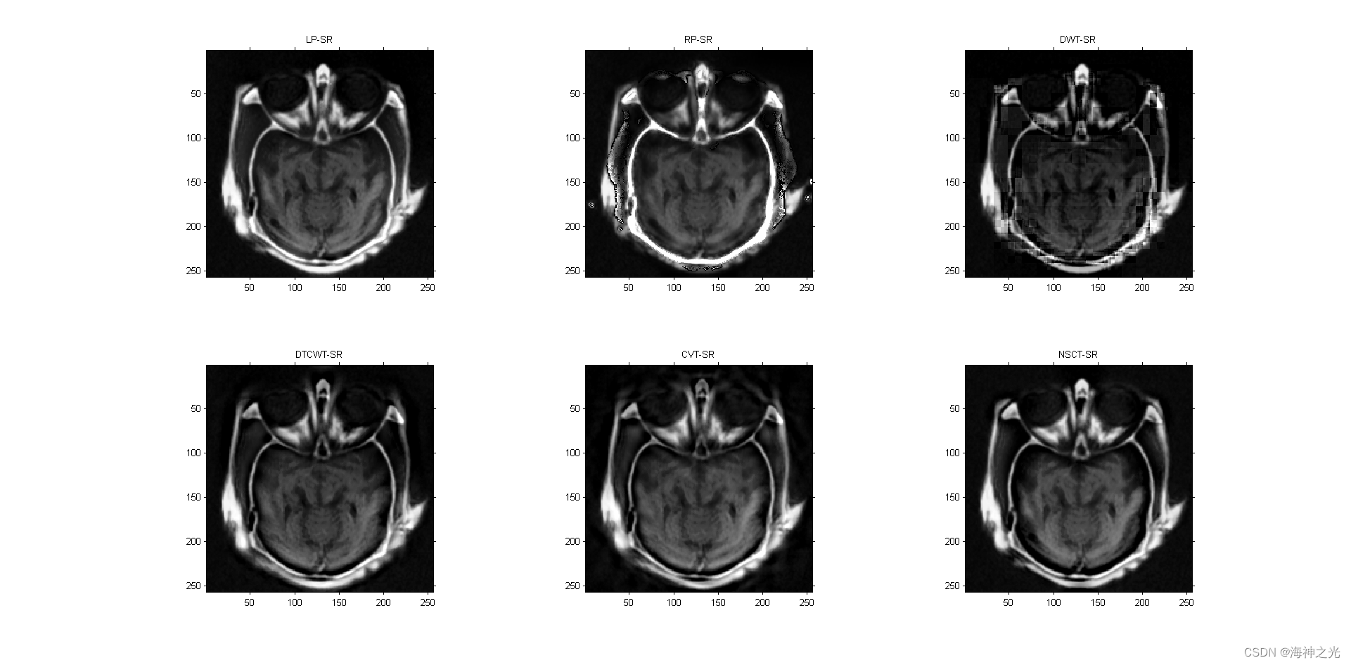
switch mm
case 1
F = lp_fuse(A, B, level, 3, 3); %LP
title(‘LP融合图’)
case 2
F = rp_fuse(A, B, level, 3, 3); %RP
title(‘RP融合图’)
case 3
F = dwt_fuse(A, B, level); %DWT
title(‘DWT融合图’)
case 4
F = dtcwt_fuse(A,B,level); %DTCWT
title(‘DTCWT融合图’)
case 5
F = curvelet_fuse(A,B,level+1); %CVT
title(‘CVT融合图’)
case 6
F = nsct_fuse(A,B,[2,3,3,4]); %NSCT
title(‘NSCT融合图’)
end
⛄三、运行结果







⛄四、matlab版本及参考文献
1 matlab版本
2014a
2 参考文献
[1]吴粉侠,李红,李洪星.基于NSCT变换和PCA的图像融合算法[J].航空计算技术. 2015,45(03)
3 备注
简介此部分摘自互联网,仅供参考,若侵权,联系删除
🍅 仿真咨询
1 各类智能优化算法改进及应用
生产调度、经济调度、装配线调度、充电优化、车间调度、发车优化、水库调度、三维装箱、物流选址、货位优化、公交排班优化、充电桩布局优化、车间布局优化、集装箱船配载优化、水泵组合优化、解医疗资源分配优化、设施布局优化、可视域基站和无人机选址优化
2 机器学习和深度学习方面
卷积神经网络(CNN)、LSTM、支持向量机(SVM)、最小二乘支持向量机(LSSVM)、极限学习机(ELM)、核极限学习机(KELM)、BP、RBF、宽度学习、DBN、RF、RBF、DELM、XGBOOST、TCN实现风电预测、光伏预测、电池寿命预测、辐射源识别、交通流预测、负荷预测、股价预测、PM2.5浓度预测、电池健康状态预测、水体光学参数反演、NLOS信号识别、地铁停车精准预测、变压器故障诊断
3 图像处理方面
图像识别、图像分割、图像检测、图像隐藏、图像配准、图像拼接、图像融合、图像增强、图像压缩感知
4 路径规划方面
旅行商问题(TSP)、车辆路径问题(VRP、MVRP、CVRP、VRPTW等)、无人机三维路径规划、无人机协同、无人机编队、机器人路径规划、栅格地图路径规划、多式联运运输问题、车辆协同无人机路径规划、天线线性阵列分布优化、车间布局优化
5 无人机应用方面
无人机路径规划、无人机控制、无人机编队、无人机协同、无人机任务分配
6 无线传感器定位及布局方面
传感器部署优化、通信协议优化、路由优化、目标定位优化、Dv-Hop定位优化、Leach协议优化、WSN覆盖优化、组播优化、RSSI定位优化
7 信号处理方面
信号识别、信号加密、信号去噪、信号增强、雷达信号处理、信号水印嵌入提取、肌电信号、脑电信号、信号配时优化
8 电力系统方面
微电网优化、无功优化、配电网重构、储能配置
9 元胞自动机方面
交通流 人群疏散 病毒扩散 晶体生长
10 雷达方面
卡尔曼滤波跟踪、航迹关联、航迹融合
Matlab中的图像融合技术详解:原理、应用与源代码
313

被折叠的 条评论
为什么被折叠?



