超声技术已成功用于新生儿肺脏疾病的诊断和鉴别诊断,从而可以使其在诊疗过程中避免或减少射线暴露和损害。超声检查具有诸多优点,除无射线损害外,而且简单易学、准确性与可靠性高、可在床边开展、便于动态观察,尤其适合危重症患者,因而建议将超声作为肺部疾病筛查或诊断的首选手段。因此,有必要大力推广这一技术,促进肺脏超声在我国新生儿领域的开展和普及,从而使临床医师和超声科医师能够更好地借助超声对肺脏疾病进行诊断和鉴别诊断。
1,肺部超声
胸前区正常超声所见及示意图如图所示
1 为皮肤,2 为皮下组织,3 为胸肌,4 为肋间肌,5 为胸膜线,6 为肋弓横切面,7 为肺实质
蝙蝠征
其中,蝙蝠翅膀为上下 2 根肋骨的横切面及其声影,蝙蝠体为肺实质
肺部超声常见术语
肺脏超声检查时常见的术语包括 A 线、C 线、B 线、Z 线、E 线、胸膜线、胸膜滑动征等
胸膜线
位于 2 根相邻肋骨之后的 5 mm 位置,厚约 2 mm,正常情况下可随呼吸运动而上下活动(胸膜滑动征)。
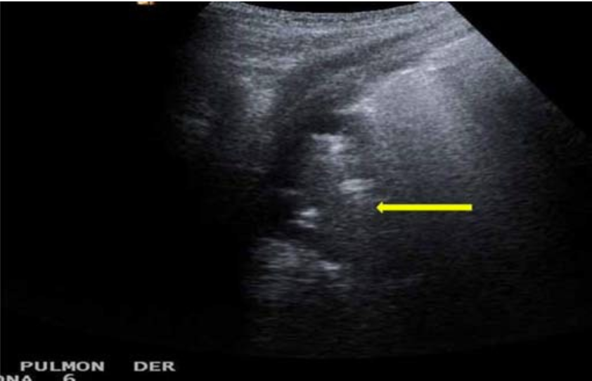
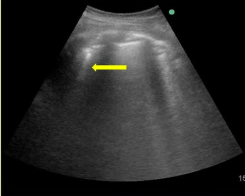
A 线
为水平伪像,指平行于胸膜线的多个短线状强回声,是声波在胸膜处发生的混响效应,其间距相等
C 线
为水平伪像,与 A 线相似,但间距不等,表示肺实变。
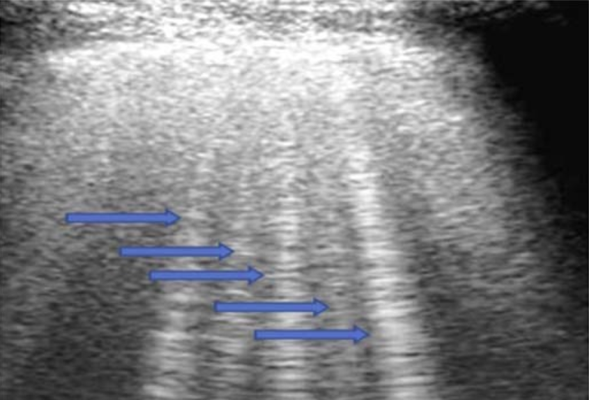
B 线
垂直于胸膜线并指向肺实质的三角形伪像,其纵深可长达 17 cm,并可与胸膜同步滑动(图 1)。
若出现 3 条以上的 B 线且彼此间距< 7 mm 时,表示间质性水肿
若间距<3 mm 时,称为彗尾征(图 2),系由间质性水肿所引起的混响伪像。
E 线
见于胸部皮下气肿。与 B 线类似,与胸膜线垂直,但 E 线起点位于胸膜线以上的胸壁皮下,表现为略高回声的束状伪像
Z 线
与 B 线相类似,起自于胸膜线并与之垂直,但深度仅 2~5 cm,不与胸膜同步运动,无显著临床意义,偶可见于气胸
气胸
气胸在二维超声上表现为胸膜滑动征及 B 线消失,胸膜线变为带状低回声,混响伪像增多。
在 M 型超声上,正常的胸膜滑动征表现为「沙滩征」,气胸时则变为「条码征」(图 3),但以「肺点征」对气胸的特异性最大,可达 100%。所谓「肺点征」是指「沙滩征」与「条码征」相互过渡的区域(图4)。
肺泡 - 间质综合征
此病包括急性呼吸窘迫综合征、肺炎、肺水肿等多种病变过程,超声上表现为慧尾征,其中的 B 线的多少与受累的肺泡 - 间质数量有关
肺实变
肺炎、肺不张、肺肿瘤等均可出现肺实变,超声可表现为实质性回声区,貌似肝脏组织,如能显示到膈肌,则易与肝脾相区别。
胸腔积液
为脏层与壁层胸膜之间的无回声暗区,合并压缩性肺不张时,可出现「海蜇征」或「舌头征」
A-线(A-line)的研究
A-线系当声束与胸膜垂直时,因混响伪像形成多重反射而产生的一种与胸膜线平行的线性高回声,位于胸膜线下方,超声下呈一系列与之平行的光滑、清晰、规则的线性高回声,彼此间距相等,回声由浅入深逐渐减弱至消失。
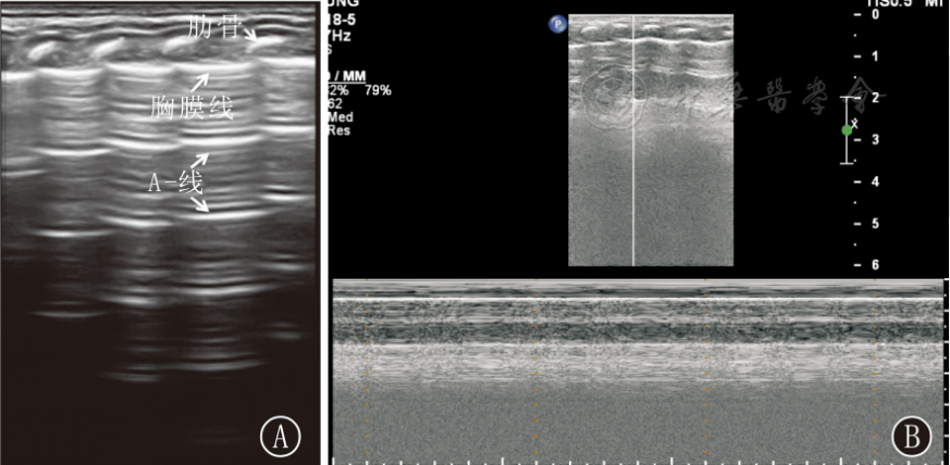
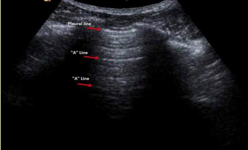
正常肺脏超声影像学特点
新生儿正常肺组织在超声下呈低回声。在B型超声下,胸膜线与A-线均呈清晰、光滑、规则的线性高回声(光滑、清晰、规则),彼此等间距平行排列,由肺野浅部入深A-线回声逐渐减弱至消失;无(出生3~7 d后)或可有少数几条B线(生后3~7 d内),但无AIS、胸腔积液和肺实变等超声征象;在实时超声下可见肺滑,在M型超声下则表现为沙滩征
胸膜线(pleural line)与肺滑(lung sliding) 胸膜线是由胸膜与肺表面声阻抗的差异所形成的强回声反射,在超声下呈光滑、清晰、规则的线性高回声;如胸膜线消失、粗糙模糊、不规则或不连续等均为异常。在实时超声下,当探头与肋骨垂直扫描时于胸膜线处可见脏层胸膜与壁层胸膜随肺脏呼吸运动而产生一种水平方向的相对滑动,称为肺滑。

1417

被折叠的 条评论
为什么被折叠?



