摘要:本研究提出了一种基于Swin Transformer模型的脑肿瘤MRI图像分类与诊断系统,旨在实现对脑胶质瘤、脑膜瘤、垂体瘤及正常脑部影像的自动化识别与诊断。系统通过深度学习训练,准确分类不同类型的脑肿瘤,提升了分类精度与推理效率。Swin Transformer的分层结构与移位窗口自注意力机制有效提取影像特征,为临床提供高置信度的诊断结果。该系统不仅提高了脑肿瘤的诊断准确性,还推动了深度学习在医学影像分析中的应用,助力脑肿瘤的早期检测与智能筛查。
作者:Bob(原创)
研究背景
随着医学影像技术的快速发展,MRI、CT、皮肤镜等影像手段已成为临床疾病诊断的重要工具。尤其是在皮肤病变与脑部肿瘤的早期识别中,医学影像能直观反映组织结构与病理变化,为医生提供关键的诊断依据。然而,传统人工阅片依赖医生经验,存在主观性强、效率低、误诊率高等问题,难以满足临床对高精度、自动化诊断的需求。因此,基于计算机视觉的智能辅助诊断系统成为医学信息化发展的重要方向。
近年来,深度学习技术在医学影像分析领域取得显著突破。卷积神经网络(CNN)凭借强大的特征提取能力,在皮肤病变分类、脑肿瘤检测等任务中表现出较高的准确率。然而,CNN结构受限于局部感受野,难以充分捕获图像的全局信息和复杂的空间依赖关系,导致在处理多尺度、结构复杂的医学影像时性能受限。此外,不同病变类型之间的特征差异微小、形态多样,这对模型的特征表达能力提出了更高要求。
Transformer模型的引入为医学影像智能诊断提供了新的思路。其核心的自注意力机制能够有效建模全局特征关系,克服了CNN在长距离依赖建模方面的不足。Swin Transformer(Shifted Window Transformer)作为一种层次化改进模型,在保证计算效率的同时兼顾了局部与全局特征提取,已在多项视觉任务中取得优异表现。基于此,本文尝试将Swin Transformer应用于皮肤病变与脑部肿瘤的自动分类与诊断研究,旨在提升模型的识别精度与泛化能力,为智能医学影像分析提供更具前瞻性的解决方案。
算法概述
1.Swin Transformer
Swin Transformer由微软公司的研究人员推出,是一种有效结合了 CNN 和 Transformer模型优势的新型架构。它旨在以类似 CNN 的分层方式处理图像,同时利用变换器固有的自我关注机制。这种混合方法使 Swin 变换器能够有效处理各种规模的视觉信息,从而使其在广泛的视觉任务中具有高度的通用性和强大的功能。
Swin Transformer 的核心创新在于其分层结构和基于移位窗口的自我注意力机制。与标准视觉转换器(ViT)在整个图像中应用自我注意力不同,Swin Transformer将图像划分为不重叠的小窗口,在这些窗口内计算自我注意力,从而减少了计算复杂性。此外,Swin Transformer引入了窗口移位技术,使得在连续的Transformer块之间,图像区域能在不同层之间相互影响,从而更好地整合局部与全局上下文信息。

图1 Swin Transformer多层级表示和ViT对比
如图1所示,Swin Transformer从小的patch开始,通过在深层次逐步合并相邻patch的方式构建了一个层级化的表示。通过这些层级特征图,Swin Transformer可以像FPN和U-Net那样进行多尺度密集预测。通过对图像分区(用红色标出)进行非重叠窗口的局部自注意力计算实现了线性的计算复杂度。每个窗口的patch的个数是固定的,因此计算复杂度和图像的大小成线性关系。
相比于之前只能产生单一分辨率特征图和平方复杂度的Transformer模型,Swin Transformer适合作为各种视觉任务的通用主干网络(backbone)。

图2:Swin Transformer网络架构
该架构详细展示了 Swin-Transformer 模型如何通过逐层处理和 Patch Merging 实现高效的图像特征提取。每个阶段的 Swin Transformer Block 通过不同的自注意力机制(如 W-MSA 和 SW-MSA)逐步提升图像理解的深度。通过多层次的处理和特征合并,该模型在处理大规模图像数据时表现出色,特别适合于图像分类和目标检测等任务。
Swin Transformer解决了以往基于 CNN 和 Transformer的模型的几个局限性。首先,它的分层设计可以高效处理多种分辨率的图像,有助于完成需要同时了解精细细节和整体结构的任务,如物体检测和语义分割。其次,通过将自我关注机制定位到窗口并采用移位窗口,Swin Transformer 大幅降低了计算要求,使其更易于扩展到大型图像和数据集。最后,它的架构通过将局部特征无缝集成到更广泛的上下文中,实现了更好的特征学习,从而提高了各种视觉任务的性能。
系统设计
本系统旨在实现脑肿瘤MRI影像的自动化分析与智能诊断,采用“数据输入—模型推理—结果展示”的一体化工作流程。系统由图像输入、预处理、数据集准备、Swin Transformer训练、推理检测、用户交互界面、结果展示及性能评估等模块组成。前端通过图形用户界面(GUI)支持MRI影像的导入与操作,后端利用Swin Transformer模型对脑部影像进行特征提取与分类,精准区分脑胶质瘤、脑膜瘤、垂体瘤及正常脑组织等类型。该系统能有效辅助医生进行脑肿瘤诊断,提升影像分析的准确性与效率,为智能医疗诊断提供技术支撑。

图3 诊断系统整体流程图
在脑肿瘤MRI图像分类任务中,Swin Transformer模型表现出卓越的性能,具备高准确性和高效率,能够精准区分不同类型的脑部病变,如“脑胶质瘤”、“脑膜瘤”、“垂体瘤”以及“正常脑组织”等多种病理状态。该模型通过多尺度特征提取与滑动窗口自注意力机制,有效捕捉脑部MRI影像中的细微结构差异与空间关系,展现出强大的特征表达与分类能力。因此,本系统在脑肿瘤的早期诊断与术前评估中具有广阔的应用前景,能够为临床医生提供高精度的辅助诊断支持,推动脑部肿瘤智能化筛查与诊断技术的发展。
数据集构建
1.数据来源
本研究所使用的脑肿瘤MRI影像数据主要来源于公开医学影像数据库 Brain Tumor MRI Dataset (Kaggle)。该数据集由多家医疗机构采集并经过严格的匿名化与质量筛选处理,广泛应用于脑肿瘤自动分类与分割等医学影像研究任务。数据集共包含四类MRI图像样本,分别为:脑胶质瘤(Glioma)、脑膜瘤(Meningioma)、垂体瘤(Pituitary Tumor)以及正常脑部(Normal)。所有影像均为T1加权对比增强(T1-weighted contrast-enhanced)MRI扫描,并由经验丰富的放射科医生进行专业标注与分类。通过对这些影像数据的整理与筛选,本文构建了一个高质量、多样化的脑部影像数据集,为Swin Transformer模型的训练与验证提供了可靠的数据支撑,也为智能化脑肿瘤诊断与辅助决策系统的研究奠定了基础。

表2 数据集基本信息
该数据集包括“正常脑部”和三种不同类型的脑肿瘤MRI影像,分别为“脑胶质瘤”、“脑膜瘤”和“垂体瘤”,共四类脑部影像状态。数据集不仅涵盖了多种脑肿瘤类型,还具有较高的影像清晰度与诊断价值,适用于脑肿瘤的分类与识别任务,为模型的训练与验证提供了高质量的数据支持。该数据集旨在推动深度学习与人工智能技术在医学影像分析领域中的应用,特别是在脑肿瘤检测与辅助诊断方面,提供坚实的数据基础,助力提高脑肿瘤影像诊断的准确性与效率。

图4 数据集图片
本研究通过清洗与筛选原始脑部MRI影像数据,构建了一个包含“脑胶质瘤”、“脑膜瘤”、“垂体瘤”和“正常脑部”四种脑部状态的MRI影像数据集。数据集类别分布均衡,全面涵盖了不同类型的脑肿瘤及健康脑组织影像,所有样本均经过标准化处理与质量控制,确保影像的清晰度与代表性。该数据集为深度学习模型在脑肿瘤分类与诊断中的应用提供了坚实的数据支撑,为医学影像智能分析和脑部疾病的自动化诊断研究奠定了基础。
2.分类方法
本系统所使用的脑肿瘤MRI影像数据的分类信息由专业放射科医生完成。每个脑部MRI影像样本都被明确归类为“脑胶质瘤”、“脑膜瘤”、“垂体瘤”或“正常脑部”四种状态之一。为确保分类的准确性与可靠性,整个标注与分类过程均由多名专业医生独立完成,并采用交叉验证的方式进行复核,从而有效减少个体差异带来的主观偏差,确保数据标注的一致性与科学性。该分类方法保证了数据集的高质量与权威性,为后续基于Swin Transformer模型的脑肿瘤自动分类与诊断研究提供了坚实的数据基础。
(1)分类数据集格式
该格式主要用于脑肿瘤MRI图像分类任务,常见于包括 Swin Transformer 在内的深度学习模型训练。其方法是将每张MRI影像明确归类为 “脑胶质瘤(Glioma)”、“脑膜瘤(Meningioma)”、“垂体瘤(Pituitary Tumor)” 和 “正常脑部(Normal)” 四个类别。该标注与数据组织格式可确保数据与模型在训练与推理阶段的高效匹配,提升分类精度与推理效率。Swin Transformer 依托其层次化特征提取与移位窗口自注意力机制,能够兼顾局部病灶纹理与全局空间结构关系,更适配MRI的多尺度与复杂形态特征,从而进一步增强分类性能。该标准化格式同时简化了数据准备流程,为基于 Swin Transformer 的脑肿瘤MRI图像分类与诊断系统提供了高效、规范的输入接口。

图5 分类数据集格式
(2)数据集划分
标注后的数据集不仅包括图像文件,还包含对应的分类信息。经过上述所有步骤处理和验证后的图像数据被划分成训练集和测试集,形成最终的数据集,用于算法训练学习模型。

图5 数据集划分:测试集和训练集
模型训练
Swin Transformer 是一种常用于图像分类任务的深度学习模型。其训练过程主要包括以下几个步骤:配置文件与超参数的设置、训练过程的执行以及训练结果的可视化分析。Swin Transformer通过其分层结构和移位窗口自注意力机制,能够有效处理图像中的局部与全局上下文信息,进一步提升分类精度和效率。在训练过程中,Swin Transformer能够通过高效的计算方式应对大规模数据集,并且在多个图像分类任务中展现出了优异的性能。

图6 模型训练流程图
1.配置文件与超参数设置
以下是关于Swin Transformer模型训练过程中的配置文件和超参数设置,并通过配置文件以及相关参数进行训练设置。

表4 Swin Transformer模型训练超参数设置
2.模型性能评估
在 Swin Transformer模型的训练过程中,模型性能评估是衡量其在图像分类任务中表现的重要环节,能够全面反映模型在分类精度和泛化能力方面的表现。科学而准确的评估不仅有助于揭示模型的优势与不足,还能为后续的改进与优化提供可靠依据。
(1)训练与验证准确率和损失曲线

图7 Swin Transformer训练与验证准确率和损失曲线
前10个epoch准确率快速上升后稳定在0.94–0.97区间,训练与验证曲线贴合,未见明显过拟合;训练损失持续下降,验证损失小幅波动,整体收敛良好。若要进一步稳固泛化,可增加正常样本多样性与难例增强,并尝试阈值校准以降低正常类误报。
(2)混淆矩阵热力图

图8 Swin Transformer混淆矩阵热力图
预测基本集中在对角线,整体分类清晰;少量误分主要为 glioma → no_tumor(约2%) 与 pituitary → meningioma(约2%),符合这两类在某些切片上影像表征相似、边界不清的临床特点;其余类别几乎无相互混淆,体现模型对关键特征的良好区分能力。
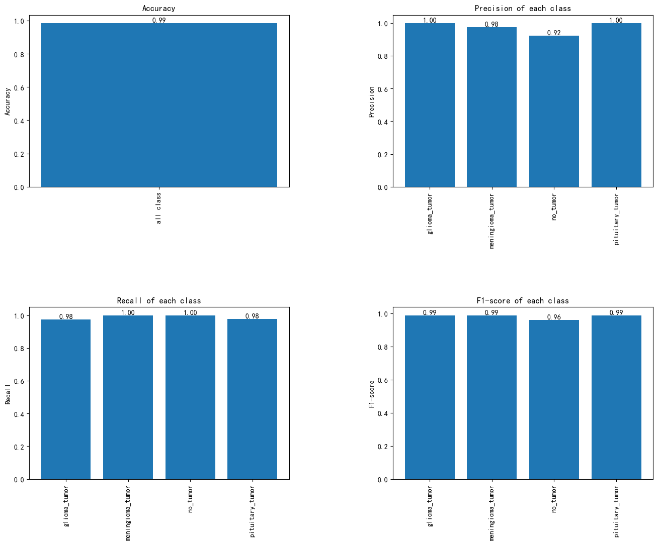
(3)各类的分类性能评估:准确率、精确率、召回率与F1分数图

图9 各类认知障碍的分类性能评估:准确率、精确率、召回率与F1分数图
模型总体准确率约0.99,各类F1均在0.96–0.99之间,glioma、meningioma、pituitary 的Precision/Recall均接近满分;唯独 no_tumor 的Precision偏低(≈0.92),提示正常样本存在一定误报,但其Recall为1.00,说明对正常的漏检极少,整体表现稳健、均衡。
(4)训练日志(Training Log)
训练日志记录了Swin Transformer模型在训练过程中的详细信息,包括训练轮次、每轮的损失值、验证准确率以及训练时间等,这些信息帮助评估模型的训练效果和性能。

图10 Swin Transformer训练日志

图11 模型训练日志概要
功能展示
本系统基于深度学习的 Swin Transformer 模型,旨在实现脑肿瘤 MRI 影像的自动化分类与诊断。系统集成了Swin Transformer用于特征提取、分类推理与结果可视化展示,并可与其他对比模型进行性能评估,为脑肿瘤智能化、标准化诊断研究提供技术支撑。
1. 系统主界面展示
系统主界面集成了 MRI 影像上传、模型选择、实时分析与诊断结果展示等功能。用户可在界面中直观选择不同的深度学习模型(如 Swin Transformer),上传脑部 MRI 影像后,系统自动完成特征提取与分类分析,输出对应的诊断结果(如脑胶质瘤、脑膜瘤、垂体瘤、正常脑组织)。界面支持对预测结果的可视化,包括类别概率条形图、混淆矩阵、以及基于 Grad-CAM 的病灶热力图,便于科研人员与临床医生对比不同模型在脑肿瘤诊断中的性能与可解释性。

图12 系统主界面
2. 图片检测功能
系统支持对脑肿瘤 MRI 影像进行快速诊断。用户上传脑部 MRI 样本后,系统自动完成分析,识别病变类型并给出诊断结果、分类标签与置信度评分,支持的类别包括脑胶质瘤、脑膜瘤、垂体瘤及正常脑组织。结果以清晰的文本与可视化图表直观呈现,便于科研人员与临床医生快速评估不同模型(如 Swin Transformer)在脑肿瘤诊断中的性能表现,从而为进一步的临床决策提供有力支持。

图13 垂体瘤

图14 脑胶质瘤

图15 脑膜瘤

图16 正常脑部
3. 保存结果

图17 结果保存
4. 生成医疗影像诊断报告

图18 成功生成医疗影像诊断报告

图19 诊断报告
界面设计
本系统的图形用户界面采用PyQt5框架开发,致力于打造直观、高效且流畅的交互体验。通过精心设计的界面布局和模块化架构,系统功能得以清晰呈现,并确保各项操作的高效执行,全面提升用户使用体验。

图20 PyQt5主控面板界面
该界面展示了基于PyQt5框架精心设计的诊断系统,界面布局简洁、直观且高度集成。通过巧妙的模块化设计,系统涵盖了多项功能模块,确保用户能够高效、流畅地进行操作与交互,充分体现了系统在医学领域中的智能化与人性化设计。
402

被折叠的 条评论
为什么被折叠?



