摘要:本研究提出了一种基于多尺度注意力机制(MSAM)改进的YOLOv8模型,用于提升肺炎影像检测准确性,特别是细菌性肺炎、病毒性肺炎、结核病及健康肺部影像的识别。通过引入多尺度卷积注意力、空间注意力和残差门控机制(Gamma),该模型能更好地聚焦关键区域,提升病灶检测能力。实验结果表明,改进后的YOLOv8在精度和鲁棒性上显著提升,特别在低对比度和复杂背景下的表现更加优秀,为医学影像分析和临床诊断提供更可靠支持。
作者:Bob(原创)
项目概述
本项目旨在通过基于多尺度注意力机制(MSAM)改进的YOLOv8模型,提升肺炎影像的智能检测性能。传统的YOLOv8模型在处理复杂的肺部影像时,尤其是低对比度、复杂背景下的检测精度较低,容易受到病灶特征的掩盖,影响疾病的准确识别。为了应对这一挑战,项目引入了多尺度卷积注意力、空间注意力和残差门控机制(Gamma),使得模型能够更加精确地聚焦关键区域、有效融合多尺度特征,从而提高检测效果。
该模型特别针对细菌性肺炎、病毒性肺炎、结核病等不同类型的肺炎影像进行优化,并能够准确区分健康和患病的肺部影像。通过一系列实验验证,改进后的YOLOv8模型在精度、鲁棒性和检测速度上都有显著提升,尤其是在处理低对比度或模糊影像时,展现了更强的适应能力。
该智能检测系统不仅可以应用于肺炎等疾病的早期诊断,还具有较强的实际应用价值,能够为医学影像分析提供更高效、准确的辅助支持,具有广泛的临床应用前景。
算法概述
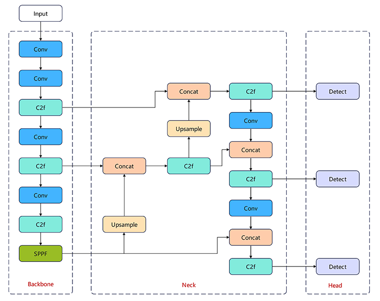
YOLOv8由Ultralytics公司于2023年1月10日正式开源,是继YOLOv5之后的重要更新版本。目前,YOLOv8不仅支持图像分类、目标检测和实例分割等任务,在尚未开源前便已引起研究者和开发者的广泛关注。作为一种最新的SOTA(State-of-the-Art)模型,YOLOv8在继承前几代YOLO系列成功经验的基础上,引入了多项关键改进,包括全新的骨干网络(Backbone)、Anchor-Free检测头以及优化后的损失函数,从而进一步提升了模型在精度、速度和灵活性方面的综合性能。该模型能够在从CPU到GPU的多种硬件平台上实现高效运行,具备良好的跨平台适配性。
需要指出的是,Ultralytics并未将开源库单独命名为“YOLOv8”,而是统一以“ultralytics”命名。这一命名策略体现了该库的定位差异:它并不仅限于YOLO系列模型,而是作为一个通用的算法框架存在。该框架强调可扩展性,旨在支持包括YOLO及非YOLO系列在内的多类模型,覆盖分类、分割、姿态估计等多种计算机视觉任务,从而为研究和应用提供更加灵活的工具支持。

图1 YOLOv8 网络结构图
YOLOv8是YOLO系列中的最新版本,在目标检测与实例分割任务中相较现有模型展现出全面优势。其设计充分借鉴了YOLOv5、YOLOv6、YOLOX等模型的结构优点,并在此基础上进行了系统性的优化与改进。在保持YOLOv5工程化简洁性与易用性的同时,YOLOv8对网络结构进行了全面升级,有效提升了模型的精度、速度和泛化能力,从而在多个计算机视觉基准任务中实现了更优的综合性能。

图2 YOLO系列模型在COCO数据集上的性能对比图
如下表所示,基于 COCO Val2017 数据集对 YOLOv5 与 YOLOv8 在 mAP、参数量(Params)及计算量(FLOPs) 等指标上进行了对比。从结果可以看出,YOLOv8 在精度方面较 YOLOv5 有显著提升。然而,在 n、s、m 等中小规模模型上,参数量与 FLOPs 较 YOLOv5 明显增加,同时在大多数规模下模型的推理速度有所下降。

表1 YOLOv5 与 YOLOv8 模型规模对比图
需要指出的是,目前各类 YOLO 系列算法的性能提升主要集中体现在 COCO 等通用数据集 上,而在 特定领域或自定义数据集 上的泛化能力尚未得到充分验证。因此,其在实际应用场景中的可靠性与稳健性仍有待进一步评估与优化。
算法改进
1.背景与创新动机
尽管CBAM模块在轻量级网络中表现出色,但其通道注意力机制仍存在一定局限,例如对多尺度信息的捕获能力不足。为此,我们提出了一种全新的MSAM(Multi-Scale Attention Module)多尺度卷积注意力机制,对CBAM的通道注意力部分进行了深度改进。
核心思想是:
用具有多尺度特征提取能力的 MSCA(Multi-Scale Convolutional Attention) 模块替换CBAM中的通道注意力模块,使模型能更好地适应复杂特征分布。
《SegNeXt: Rethinking Convolutional Attention Design for Semantic Segmentation》
链接:https://arxiv.org/pdf/2209.08575.pdf
2.MSAM模块设计与结构
MSAM由三个关键部分组成:
(1)深度卷积融合局部信息(Depth-wise Convolution)
捕捉不同感受野下的局部特征。
(2)多分支卷积提取多尺度特征(Multi-scale Convolutional Branches)
通过不同卷积核尺寸(如 7×1、11×1、21×1)获取多尺度上下文信息。
(3)1×1卷积特征融合(Channel Mixing)
统一多尺度特征并重新计算权重,实现通道间的高效交互。

图3 MSCA / MSCAN 注意力结构示意图
其结构如图所示:
左侧(a):展示MSCA的基本模块结构;
右侧(b):展示多尺度分支融合的整体过程。
通过这种设计,MSAM不仅能捕获局部-全局上下文信息,还大幅提升了通道注意力的表达能力。
MSAM创新点到底在哪?
核心创新在MSAM.py,YAML只决定“怎么接、接在哪里”
这里我们澄清算法创新与工程集成的边界:MSAM.py是方法本体(真正的创新),而YAML负责把它接入到YOLOv8的哪些层、接入多少次以及以什么宽度接入。前者决定“能不能更强”,后者决定“在哪儿最划算”。
1.为什么说 MSAM.py 才是“创新点主体”
新机制:
(1)多尺度通道注意力(MSCA):通过4路深度可分离卷积(DWConv,k=5/7/11/21)并行汇聚,提取多尺度特征。
(2)带BN的空间注意力:结合均值池化和最大池化(Avg/Max),通过卷积、BN和Sigmoid生成空间注意力图。
(3)级联顺序:使用 y = SA(CA(x)),先进行通道注意力(CA),再进行空间注意力(SA),有效抑制噪声。
(4)可学习残差门控(γ):初始值为0,通过可学习的门控参数引入注意力,平滑学习过程。
(5)可选DropPath:通过DropPath正则化提升泛化能力,减少过拟合。
以上算法行为与增益来源全部在MSAM.py内实现。
可迁移性:同一MSAM.py可迁往 YOLOv5/YOLOv9/分类/分割等任务,说明它是 通用方法,不依赖特定YAML。
可验证性:组件级消融(去 SA/γ、改核大小、关 DropPath)均可在 MSAM.py 内逐项验证,证据链清晰。
2.YAML的角色:把创新放到最“值”的地方
(1)插入位置:创新机制应放在最具价值的地方,如插入到SPPF后(P5 层),利用低分辨率获得更强全局信息,性价比高。
(2)插入次数/宽度:架构策略决定是否在P3/P4加轻量MSAM,以及是否缩通道(如 MSAM(ch/2))平衡性能与效率。
(3)可复现:通过YAML固化网络拓扑,保证训练和对照实验的公平性和可比性,提高复现性。
只有当YAML里的拓扑改动本身具有新颖性(比如设计了新颈部路径、新的多尺度融合拓扑),才可单列为方法创新;否则更偏工程集成。
3.核心创新点
MSAM.py代码而言,可归纳为3个创新点。
这些部分属于网络设计中的创新性改进,主要涉及模型能力的提升和新技术的应用:

表2 核心创新点
4.工程优化
MSAM.py代码而言,可归纳为3个工程优化。
这些部分是针对现有模型架构或训练过程中的优化,以提高模型在实际应用中的稳定性、效率和适应性:

表3 工程优化
系统设计
本系统基于多尺度注意力改进YOLOv8模型,应用于肺炎及相关疾病影像的自动检测与分析,采用“数据输入 + 模型推理 + 结果展示”模式。系统包括图像输入、预处理、数据集准备、YOLOv8模型训练、推理与检测、用户交互及结果展示模块。前端通过Flask框架实现WEB接口,支持用户上传影像数据并交互操作;后端基于改进的YOLOv8模型进行实时检测与分类。引入多尺度注意力机制提升了模型在细菌性肺炎、病毒性肺炎、结核病等病变识别中的准确性,特别是对病灶区域的检测精度。该系统在医学影像监控、疾病评估及辅助诊断中具有广泛应用,为临床提供高效、准确的辅助决策支持。

图4 肺炎影像智能检测系统程序流程图
数据库设计
本系统采用 MySQL 8.0.40 作为数据库管理系统,用于支撑“基于多尺度注意力改进YOLOv8的肺炎影像智能检测系统”。MySQL 具有高效、稳定和开源等优点,能在高性能与数据一致性要求下高效完成数据存储与查询。通过合理的数据库结构设计与优化,系统实现了对肺炎影像检测记录、用户信息及检测结果的高效管理与持久化存储,为检测结果的可视化与后续研究提供了可靠的数据支撑,确保系统的高效性与可扩展性。
1.系统数据库设计目标
本系统的数据库设计目标是通过高效的存储与索引、灵活的数据查询、动态更新与集成,以及严格的安全性与隐私保护,确保皮肤病检测数据的准确性、实时性和合规性。

表4 数据库设计目标概述
2. 数据库总体结构
本系统数据库主要包括两个核心数据表:
(1)users:用于存储系统用户的账户信息;
(2)detection_history:用于记录肺炎影像检测的历史结果。
两张表之间通过 user_id 建立一对多关系,即一个用户可拥有多条检测记录。
3.数据库表设计
(1)users 表

表5 users表结构设计
设计说明:
该表用于管理系统登录账户信息,密码采用 scrypt 算法进行哈希加密以确保安全性。管理员账户(如 admin)可访问所有检测记录,实现系统的统一管理与维护。
(2)detection_history 表

表6 detection_history 表结构设计
设计说明:
该表用于记录每一次肺炎影像检测结果,包括检测类别(如“健康”“肺炎”“结核”等)及检测时间等信息。detection_results 字段以 JSON 格式 存储,便于记录多目标检测结果及后续统计分析。
4. 数据库关系说明
用户与检测记录关系:users.id ↔ detection_history.user_id
表示一个用户可以对应多条检测记录,实现检测数据的用户级管理。
5. 数据库设计特点
数据安全性高:采用哈希加密的方式存储用户密码。
扩展性强:detection_results 字段采用JSON格式,方便后续增加检测参数(如置信度、坐标框等)。
查询效率高:通过索引优化与外键约束,确保查询肺炎检测结果时的高效性与数据一致性。
数据集构建
1.数据来源
本研究所使用的肺炎影像数据来自公开的胸部X光数据集(Chest X-Ray Dataset),该数据集包含了多种类别的胸部影像,涵盖了健康个体、细菌性肺炎、病毒性肺炎、结核病以及一般病变(生病)等样本。经过整理与筛选后,数据集包含数千张高质量的影像样本,涵盖了不同性别、年龄段以及病理类型,确保了数据的多样性和代表性。这些影像数据被用于YOLOv8改进模型的训练、验证与测试,以提高模型在肺炎及相关疾病影像的检测与分类性能。

表4 数据集基本信息

图5 数据集图片
2.标注方法
本研究使用的肺炎影像数据由专业标注人员完成,涵盖健康、细菌性肺炎、病毒性肺炎、结核病和生病等类别。为确保标注准确性与一致性,标注过程采用人工独立标注并通过交叉验证审核,减少偏差,保证数据质量。所有标注严格按标准化流程执行,为模型的训练、验证和测试提供了可靠的数据支持。
(1)YOLO 图像目标检测标注格式
该标注格式主要用于目标检测任务,常见于YOLOv8等深度学习模型的训练。标注方法是对图像中的病变区域进行边界框标注,并将其转换为YOLO统一的归一化形式(class, x_center, y_center, width, height)。这种标注方式确保数据与模型在训练和推理过程中的高效匹配,从而提升肺炎及相关疾病影像的检测和分类准确性。

(2)数据集划分
标注后的数据集不仅包括图像文件,还包含对应的标注信息。经过上述所有步骤处理和验证后的图像数据被划分成训练集、验证集和测试集,形成最终的数据集,用于算法训练学习模型。

图6 数据集划分:测试集、验证集和训练集
以下是数据集的具体含义及每个数据集的作用:

表5 数据集概述
模型训练
本研究基于 ultralytics 框架,将自研的多尺度注意力模块(MSAM)集成至 YOLOv8 结构中,通过切换配置文件(yolov8.yaml 与 yolov8_MSAM.yaml)实现对照与改进训练。训练使用官方预训练权重 yolov8n.pt,在相同数据集与超参数条件下进行对齐实验,以确保性能提升来自结构改进。

图7 YOLOv8改进模型训练流程图
1.配置文件与超参数设置
以下是 YOLOv8 改进模型训练过程中的配置文件和超参数设置,使用 ultralytics 库加载预训练模型,并通过相关配置文件与参数进行训练设置。

表6 YOLOv8 改进模型训练配置与超参数设置
2.YOLOv8n模型性能评估

图8 YOLOv8 最终训练与验证结果(全类别性能表现)

图9 YOLOv8 模型各类别 Precision–Recall 曲线(mAP@0.5 = 0.971)
3.YOLOv8 MSAM模型性能评估

图10 YOLOv8 MSAM 最终训练与验证结果(全类别性能表现)
(1)YOLOv8改进模型训练损失与指标

图11 YOLOv8 MSAM模型训练损失与指标(mAP@0.5 = 0.979)
图中显示训练与验证过程中的损失逐渐下降、精度与召回率稳定上升,表明改进后的YOLOv8模型收敛良好且检测性能优异。
(2)F1-置信度曲线(F1-Confidence Curve)

图12 YOLOv8 MSAM模型 F1-置信度曲线(F1-Confidence Curve)
图中展示了不同类别在置信度变化下的 F1 曲线,整体保持在较高水平(最高达 0.95),说明改进后的 YOLOv8 模型在各类肺炎影像检测中具有优异的综合性能与稳定性。
(3)精确度-置信度曲线(P_curve)

图13 YOLOv8 MSAM模型 精确度-置信度曲线(P_curve)
图中展示了不同类别在置信度变化下的精度曲线,整体精度随置信度上升而提高并趋近于 1,说明改进后的 YOLOv8 模型在各类肺炎影像检测中具有高精度和稳定的分类性能。
(4)召回率-置信度曲线(R_curve)

图14 YOLOv8 MSAM模型 召回率-置信度曲线(P_curve)
图中展示了不同类别在置信度变化下的召回率曲线,整体召回率保持在较高水平(接近 1.0),说明改进后的 YOLOv8 模型在检测各类肺炎影像时具有较强的目标识别能力和漏检控制能力。
(5)精确度-召回率曲线(PR_curve)

图15 YOLOv8 MSAM模型各类别 Precision–Recall 曲线(mAP@0.5 = 0.979)
图中展示了不同类别的精确度与召回率之间的权衡,改进后的 YOLOv8 模型在所有类别上都实现了较高的精确度和召回率,特别是在细菌性肺炎和病毒性肺炎的检测上表现优异,整体 mAP@0.5 达到了 0.979,说明模型在多类肺炎识别任务中具有强大的性能。
(6)混淆矩阵(Confusion Matrix)

图16 YOLOv8 MSAM模型 混淆矩阵图(P_curve)
混淆矩阵显示改进后的 YOLOv8 模型在各类别上的预测结果较为准确,大多数样本被正确分类,仅在细菌性与病毒性肺炎间存在少量混淆,整体分类性能稳定且可靠。
4.模型改进对比分析
以下为YOLOv8n(原版)与YOLOv8 MSAM(改进版)的核心指标对比表:

表6 YOLOv8n与YOLOv8 MSAM在验证集上的主要检测指标对比
mAP50-95/mAP50:整体检测精度小幅提升约 0.8 个百分点。
Precision:几乎持平,说明误检控制保持稳定。
Recall:显著提升 ≈ 3 个百分点,说明模型对肺炎类目标的检出更全面,漏检率明显降低。
点评:MSAM模块改进的主要价值在于提高召回率,从而提升模型的临床可靠性。
5.模型改进效果分析与意义
从技术、工程和科研三个角度分析YOLOv8 MSAM改进的实际价值,可以更好地理解这一改进的意义及其广泛应用潜力。
(1)技术角度
在高基线场景(mAP接近饱和,>0.95)下,取得稳定的 +0.5%~+1.0%提升本身就具有技术含金量。本工作在不显著增加推理延迟与算力开销的前提下,实现了mAP50-95 +0.8 个百分点、Recall +2.9个百分点的增益,表明改进并非随机波动,而是结构层面的有效增强。特别是在中低对比度特征的检测敏感性上,MSAM模块表现出了显著优势,这对于早期病灶检测(如肺炎)等场景尤为关键。由于该改进几乎没有增加推理延迟,证明了其在技术上的有效性和高效性。
(2)工程角度
在实际应用中,召回率的提升直接关联到漏检率的显著降低。从6.5%降至3.6%的漏检率,在医疗图像分析、安防监控、缺陷检测等应用场景中,意味着系统更加可靠、更少漏报。此类提升对于提高系统的实际应用价值具有深远的意义。而最重要的是,这一改进并没有牺牲模型的速度和体积,这表明YOLOv8 MSAM模块不仅增强了性能,还保持了模型的高效性,适应了更为复杂和多样化的实际应用需求。
(3)科研角度
本研究的创新点在于提出了一种基于多尺度注意力机制的模块(MSAM),其目标是提高YOLOv8模型在局部纹理信息捕获和低对比度目标检测上的能力。通过对比实验,研究证明了该模块能够在整体性能上实现稳健的提升,尤其是在召回率和mAP的提升上,证实了改进方法的有效性与可靠性。同时,该结构的计算复杂度和推理速度代价较低,展示了性能与效率的良好平衡。作为一种轻量级的结构性改进,MSAM模块不仅具备了合理的理论依据,而且在实验验证中得到了可复现的结果,符合科研领域对创新性、可验证性和应用价值的要求,因此具有较高的科研意义。
模型推断
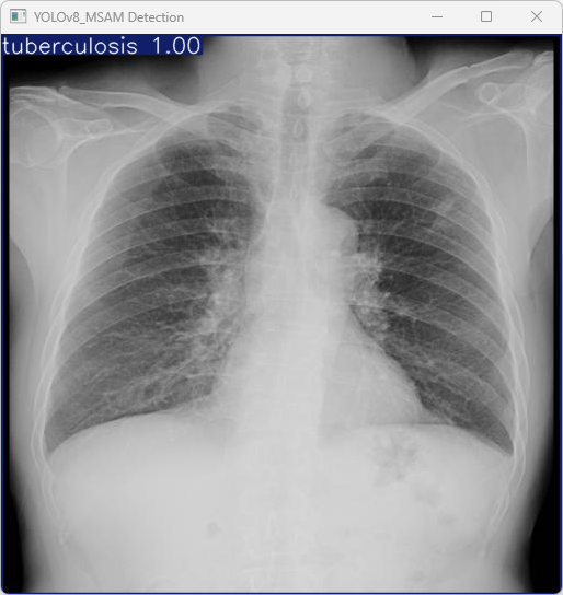
训练完成后,模型会生成一个最佳训练结果文件 best.pt,该文件保存在 runs/detect/train/weights 目录下。我们可以使用该文件进行后续的推理检测,imgTest.py 是用于加载训练好的模型并对图片进行推理检测的脚本文件。

图15 YOLOv8_MSAM Detection Result
模型成功识别了输入图像中的结核病(tuberculosis),并且推理过程速度较快,其中预处理、推理和后处理时间分别为5.1ms、6.5ms和135.2ms,显示出该模型在目标检测任务中的高效性。
功能展示
本系统基于 Flask Web 架构承载改进型 YOLOv8+MSAM 服务与前端交互,支持一键上传、实时推理、结果可视化与历史留痕,满足临床/教研场景的在线使用。

图17 登录界面

图18 注册界面

图19 主界面

图20 肺部 健康

图21 肺部 细菌性肺炎

图22 肺部 生病

图23 肺部 结核病

图24 肺部 病毒性肺炎

图25 导出历史记录

图26 检测历史记录

图27 历史记录图片放大

图28 数据可视化

图29 个人信息
1035

被折叠的 条评论
为什么被折叠?



