YPEL2是YPEL蛋白家族的一员,该家族在细胞增殖、分化、衰老和死亡等多种生命过程中发挥重要作用。然而,YPEL2的具体分子机制长期以来并不清楚。蛋白质往往通过与其他蛋白的动态相互作用来执行功能,而这些相互作用会随着细胞状态的变化而改变。为了揭示YPEL2的功能,土耳其研究团队利用TurboID邻近标记技术,结合质谱分析,首次系统性地绘制了YPEL2在细胞内的动态相互作用网络。

图1 蛋白YPEL2的结构分析(Turan et al., 2024)。
01 实验设计
研究人员在COS7细胞中诱导表达带有TurboID标签的YPEL2蛋白,并在不同时间点(1、3、6、16小时)进行生物素标记与质谱分析。
结果显示:
(1)YPEL2的互作蛋白主要参与RNA代谢与应激响应
包括RNA结合蛋白(如ELAVL1)、自噬受体SQSTM1、应激颗粒标志物G3BP1等。这些蛋白在mRNA稳定性、翻译调控和细胞应激响应中起关键作用。
(2)YPEL2定位于应激颗粒
在氧化应激诱导剂(如亚砷酸钠)处理下,YPEL2与内源性YPEL蛋白共同定位到应激颗粒中,提示其在应激响应中扮演重要角色。
(3)验证关键互作蛋白
通过Co-IP与邻近连接实验,研究团队确认YPEL2与ELAVL1和SQSTM1存在直接相互作用,进一步支持其在RNA代谢和自噬调控中的功能。
02 结论与意义
本研究通过TurboID邻近标记技术,首次系统揭示了YPEL2在细胞应激响应中的动态互作网络,提出YPEL2可能作为“氧化应激传感器”参与应激颗粒的形成与调控。这不仅为理解YPEL蛋白家族的功能提供了新视角,也为探索细胞应激响应的分子机制开辟了新路径。
此外,该研究也展示了邻近标记技术在解析蛋白功能网络中的强大潜力,尤其在研究难以捕捉的瞬时相互作用方面具有不可替代的优势。

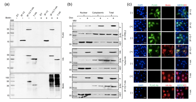
图2 YPEL2-TurboID融合蛋白能成功对细胞内邻近蛋白质进行生物素标记(Turan et al., 2024)。
参考文献
Turan G, Olgun Ç E, Ayten H, et al. Dynamic proximity interaction profiling suggests that YPEL2 is involved in cellular stress surveillance[J]. Protein Science, 2024, 33(2): e4859.

被折叠的 条评论
为什么被折叠?



