第2章 生物材料与医疗器械的炎症、愈合及异物反应视角
引言
宿主对生物材料、医疗器械和假体的反应最终决定了临床环境中相应植入物的成功或失败及其后续疗效。表2.1 全面概述了体内 医疗器械的并发症,并列出了材料依赖性和生物学依赖性(即宿主反应依赖性)的失效模式与机制,其中许多因素相互作用且具有协同性。炎症、愈合和异物反应(FBRs)是植入后最早出现的宿主反应,构成了确定宿主‐装置相容性的基础。
用于描述医疗器械形式的生物材料产生适当宿主反应的最常用术语是生物相容性。对生物相容性的一个简单定义是:不引起不良组织反应的材料。一个更有帮助的定义是,材料在特定应用中以适当的宿主反应实现功能的能力(威廉姆斯,1987年,2008年)。该定义有助于将材料性质或特征与性能联系起来
本文档由 funstory.ai 的开源 PDF 翻译库 BabelDOC v0.5.10 (http://yadt.io) 翻译,本仓库正在积极的建设当中,欢迎 star 和关注。
表2.1 体内 医疗器械的并发症
| 心脏瓣膜 假体 | 血管移植物/ 支架 | 心脏辅助/ 器置械换 器骨械科 | 牙种植体 |
|---|---|---|---|
|
血栓形成
栓塞 瓣周漏 抗凝出相‐血关 感染心性内膜炎 Extrinsic dysfunction 不完全瓣膜 闭合 织物磨损 溶血性贫血 部件骨折 组织瓣膜 瓣叶撕裂 瓣叶钙化 |
血栓形成
栓塞 感染 移植物周围侵蚀 移植物周围血清肿 假性动脉瘤 吻合增的生 解体或 降解 增殖性 再狭窄 支柱相关 炎症 FBR 不完全 扩张 过度扩张 位置不当 |
血栓形成
栓塞 心内膜炎 腔外感染 部骨件折 溶血 钙化 |
Bone 吸收 腐蚀 疲劳 固失定效
骨折 不完全 整骨合性 感染 界面 分离 松动 机械 不匹配 运动和 pain 颗粒 形成 表面磨损 应力集中 |
|
不良宿主反应
生物腐蚀 电化伽学伐尼耦合 疲劳 固定失效 骨折 感染 界面分离 机械损失 力传递 松动 FBR 腐蚀 颗粒 形成 Wear |
炎症、愈合及异物反应的观点
炎症、伤口愈合和异物反应通常被认为是组织或细胞宿主反应对损伤的一部分 (库马尔等人,2005年)。表2.2列出了损伤后这些事件的序列/连续过程。应考虑到这些事件的重叠和同时发生(例如,植入物界面的异物反应可能随着急性和慢性炎症的开始而启动)。从生物材料的角度来看,将生物材料置于体内环境中需要注射、插入或外科植入,这些操作都会对相关组织或器官造成损伤。
放置过程会引发组织、器官或机体产生损伤反应,并激活稳态机制以维持稳态。显然,损伤程度随植入手术的不同而有所差异。第6章和第7章对先天免疫反应在这些初始事件中的作用提供了更详细的描述。稳态机制受到干扰的程度,以及病理生理状况的产生和最终缓解的程度,是衡量宿主对生物材料反应的指标,并可能最终决定其生物相容性。尽管从概念上将稳态机制区分为血液‐材料或组织‐材料相互作用较为方便,但必须认识到参与稳态的各个组分或机制在血液和组织中均存在,彼此密不可分,且属于生理连续过程的一部分。此外,必须指出的是,宿主反应具有组织依赖性、器官依赖性和物种依赖性。
血液‐材料相互作用/临时基质形成
损伤发生后,血流、管径和通透性立即发生变化。液体、蛋白质和血细胞从血管系统渗出到受损组织中,这一过程称为渗出。血管系统的变化还包括与急性炎症相关的血液学改变,随后发生一系列细胞事件,构成炎症反应的特征。介导炎症过程中多种血管和细胞反应以及初始宿主反应的化学因子在大量综述以及第5章中有详细描述。
表2.2 植入医疗器械后宿主反应的序列/连续过程
植入医疗器械
血损液伤‐材料相互作用 临时基质形成 急性炎症 慢性炎症 肉芽组织 F纤B维R化/纤维囊形成
表2.3 血管化结缔组织的细胞和组分
| 血管内(血液)细胞 | 结缔组织细胞 | 细胞外基质成分 |
|---|---|---|
|
中性粒细胞(多形核白细胞)
单核细胞 嗜酸性粒细胞 淋巴细胞 浆细胞 嗜碱性粒细胞 血小板 |
肥大细胞
成纤维细胞 巨噬细胞 淋巴细胞 |
胶原蛋白
弹性蛋白 蛋白聚糖 纤维连接蛋白 层粘连蛋白 |
血液‐材料相互作用与炎症反应密切相关;事实上,对损伤的早期反应主要涉及血液和血管系统。无论植入部位如何,初始炎症反应均由血管化的结缔组织损伤所激活(表2.3)。炎症的作用在于限制、中和、稀释或隔离有害因子或过程(《炎症:基本原理与临床相关性,1999》)。此外,炎症反应会启动一系列事件,可能通过以原生实质细胞、成纤维细胞性瘢痕组织或两者组合来替代受损组织,从而实现植入部位的愈合与重建。由于血液及其组分参与了初始炎症反应,因此也会发生血凝块形成和/或血栓形成。血液凝固和血栓形成通常被视为体液反应,受外源性和内源性凝血系统、补体系统、纤溶系统、激肽生成系统以及血小板等稳态机制的影响。生物材料表面血栓或血凝块的形成与著名的沃曼效应有关,该效应中由蛋白质移动性和浓度决定的分级且动态的碰撞、吸附和交换过程,调控着血液蛋白吸附的早期时间依赖性变化。从伤口愈合的角度来看,生物材料表面的血液蛋白沉积被称为临时基质形成。血液与生物材料的相互作用通常归类于血液相容性范畴。血液/材料相互作用与组织/材料相互作用之间的复杂性和关联性在图2.1中得到说明,该图展示了血管移植物与动脉吻合口处的反应。
植入手术过程中对血管化组织的损伤会导致在植入部位立即形成临时基质。该临时基质由凝血和血栓形成系统以及补体系统活化所产生的纤维蛋白和炎症介质、活化的血小板、炎症细胞以及内皮细胞组成。这些事件发生在医疗器械植入后的数分钟至数小时内,启动消退、重组和修复过程,例如成纤维细胞募集。临时基质提供结构
图2.1 血管移植物与动脉吻合口处的血液和组织相互作用
临时基质在外膜周围(组织)界面以及吻合口处(局部血栓形成)形成,引发炎症和愈合反应。吻合口管腔侧局部血栓的愈合(机化)由血液和动脉组分共同促进。
图2.2 植入性生物材料的急性炎症反应、慢性炎症反应、肉芽组织发育和异物反应的时间变化
其强度和时间变量取决于植入过程中造成的损伤程度以及生物材料的大小、形状、表面形貌和化学和物理性质。
急性炎症
虽然损伤会引发炎症反应,但血浆、细胞或受损组织释放的化学物质介导了炎症反应。炎症的重要化学介质见于表2.4。为了理解炎症反应及其与生物材料的关系,必须注意以下几点:首先,尽管化学介质是基于结构或功能进行分类的,但其作用具有复杂的
表2.4 来源于血浆、细胞或受损组织的炎症的重要化学介质
| 介质 示例 |
| — |
| 血管活性物质 组胺、5‐羟色胺、腺苷、内皮源性舒张因子(EDRF)、前列环素、内皮素、血栓素 α2 |
| 血浆蛋白酶 激肽系统 缓激肽、激肽释放酶 |
| 补体系统 C3a、C5a、C3b、C5b–C9 |
| 凝血/纤维蛋白溶解 system 纤维蛋白降解产物,活化的哈格曼因子 (FXIIA),组织型纤溶酶原激活物(tPA) |
| 白三烯 白三烯 B4(LTB4),羟基二十碳四烯酸(HETE) |
| 溶酶体蛋白酶 胶原酶、弹性蛋白酶 |
| 氧自由基 H2O2,超氧阴离子 |
| 血小板活化因子 细胞膜脂质 |
| 细胞因子 IL‐1, TNF |
| 生长因子 PDGF, 成纤维细胞生长 成纤维细胞生长因子(FGF), TGF‐α或 TGF‐β, 表皮生长因子 |
以及生化组分在伤口愈合过程中的作用。具有黏附蛋白的纤维蛋白网络形成了复杂的三维结构,为细胞黏附和迁移提供了基质。临时基质中存在的细胞因子、趋化因子和生长因子为细胞增殖性和合成过程、有丝分裂以及化学趋化提供了丰富的激活和抑制物质环境。临时基质可被视为一种天然来源的、可生物降解的缓释系统,其中各种生物活性分子被释放出来,以协调后续的伤口愈合过程。
尽管我们对临时基质及其功能的理解有所提高,但对其形成及后续伤口愈合事件的关键分子调节剂的认识仍然不足。部分原因在于大多数研究是在体外进行的,而能够提供更复杂视角的体内研究较为匮乏。然而,已有引人关注的假设提出,吸附材料可能具有调节细胞行为的能力。
炎症反应中存在的主要细胞类型随时间而变化,如图2.2所示。通常情况下,在损伤和接触生物材料后的最初几天内以中性粒细胞为主,随后被单核细胞取代。细胞类型发生这种变化的原因有三个:中性粒细胞寿命较短,在24–48小时后解体并消失;中性粒细胞从血管迁移到组织的过程持续时间较短;以及促进中性粒细胞迁移的趋化因子在炎症反应早期被激活。单核细胞从血管系统迁移出来后,会分化为巨噬细胞,这些细胞寿命很长(可达数月)。单核细胞的迁移可能会持续数天到数周,具体取决于损伤程度和植入性生物材料的类型。此外,单核细胞的趋化因子在较长时间内持续产生。在人类短期(24小时)植入物研究中,给予H1和H2组胺受体拮抗剂可显著减少聚对苯二甲酸乙二醇酯表面的巨噬细胞/单核细胞和中性粒细胞的募集(Zdolsek 等,2007)。这些研究还表明,与血清涂层植入物相比,等离子涂层植入物积聚了显著更多的吞噬细胞。
植入生物材料后事件发生的时间顺序如图2.2所示。生物材料的大小、形状以及化学和物理性质可能影响炎症或伤口愈合过程的强度和持续时间,从而影响宿主对生物材料的反应。
急性炎症(续)
相互作用在它们各自的功能和活性方面提供了一种制衡系统。其次,化学介质会迅速失活或被破坏,表明其作用主要局限于局部(即植入部位)。第三,通常溶酶体蛋白酶和氧自由基造成的损伤或损伤最为显著。这些化学介质在某些生物材料的降解中也起着重要作用(威金斯等人,2001;克里斯滕森等人,2004a,b, 2007)。
急性炎症持续时间相对较短,根据损伤程度和植入性生物材料的类型,可持续数分钟至数小时甚至数天。其主要特征是液体和血浆蛋白的渗出(水肿)以及白细胞(主要是中性粒细胞)的迁移。中性粒细胞(多形核白细胞,PMNs)和其他可移动的白细胞从血管迁移到血管周围组织以及损伤(植入物)部位。白细胞的迁移由存在于白细胞和内皮表面的“黏附分子”协助完成。这些黏附分子在细胞表面的表达可由炎症因子和化学介质诱导、增强或改变。白细胞的迁移部分受趋化性调控,趋化性是指细胞沿化学梯度进行的单向迁移。
多种外源性和内源性物质已被确认为趋化刺激。白细胞细胞膜上存在针对趋化因子的特异性受体,这些受体在白细胞迁移过程中起重要作用。这些及其他受体还在白细胞跨内皮迁移及白细胞活化过程中发挥作用。当白细胞定位于损伤(植入物)部位后,中性粒细胞和巨噬细胞被活化,进而发生吞噬作用并释放蛋白水解酶。中性粒细胞在急性炎症中的主要作用是吞噬微生物和异物材料。
吞噬作用被视为一个三步过程,其中刺激物(例如受损组织、感染因子、生物材料)经历识别和中性粒细胞附着、吞噬以及杀灭或降解。对于生物材料而言,吞噬和降解可能发生也可能不发生,这取决于生物材料的性质。
尽管生物材料由于尺寸差异(即生物材料的表面积大于细胞大小)通常不会被中性粒细胞或巨噬细胞吞噬,但吞噬过程中的某些事件仍可能发生。当有害物质被体内天然存在的血清因子(称为“调理素”)包被时,识别和附着过程会加快。两种主要的调理素是免疫球蛋白G和补体活化片段C3b。这两种血浆来源的蛋白质均已被证实可吸附到生物材料表面,而中性粒细胞和巨噬细胞的细胞膜上具有针对这些调理素的相应受体。这些受体还可能在附着的中性粒细胞或巨噬细胞的活化过程中发挥作用。其他血液蛋白,如纤维蛋白原、纤维连接蛋白和玻璃粘连蛋白,也可能促进细胞在生物材料表面的黏附。由于生物材料表面与附着细胞之间存在尺寸差异,可能发生受阻吞噬作用——这一过程不涉及对生物材料的吞噬,但会导致白细胞产物的胞外释放,以试图降解该生物材料。
亨森已证明,黏附于补体包被和免疫球蛋白包被的不可吞噬表面的中性粒细胞可通过直接挤压或胞吐作用从细胞内释放酶(Henson, 1971)。在此过程中释放的酶量取决于聚合物颗粒的大小,较大的颗粒会诱导更多的酶释放。这种差异表明,细胞激活的具体方式至少部分取决于植入物的尺寸以及材料是否处于可吞噬形式。例如,粉末、颗粒或纳米材料可能引发的炎症反应程度与相同材料以不可吞噬形式(如薄膜)存在时不同。通常情况下,大于5微米的材料不会被吞噬,而小于5微米的材料则可被炎症细胞吞噬。
急性炎症通常会迅速消退,一般在1周内,具体取决于植入部位的损伤程度。如果在超过1周的时间段(即数周、数月或数年)内在组织/植入物界面处仍存在急性炎症(即多形核白细胞),则提示可能存在感染(图2.3)。
慢性炎症
慢性炎症的组织学表现比急性炎症更具异质性。一般来说,慢性炎症的特点是存在巨噬细胞、单核细胞和淋巴细胞,并伴有血管增生和结缔组织增殖。许多因素可以改变慢性炎症的过程和组织学表现。
临床上,外科病理学家通常使用“慢性炎症”这一术语来描述异物反应。建议谨慎使用该术语,因为它反映了导致慢性炎症临床诊断的广泛组织学发现。“慢性炎症”主要由单核细胞、巨噬细胞和淋巴细胞组成,最常与毒性或感染相关;而异物反应则主要由巨噬细胞和异物巨细胞(多核巨细胞)组成。
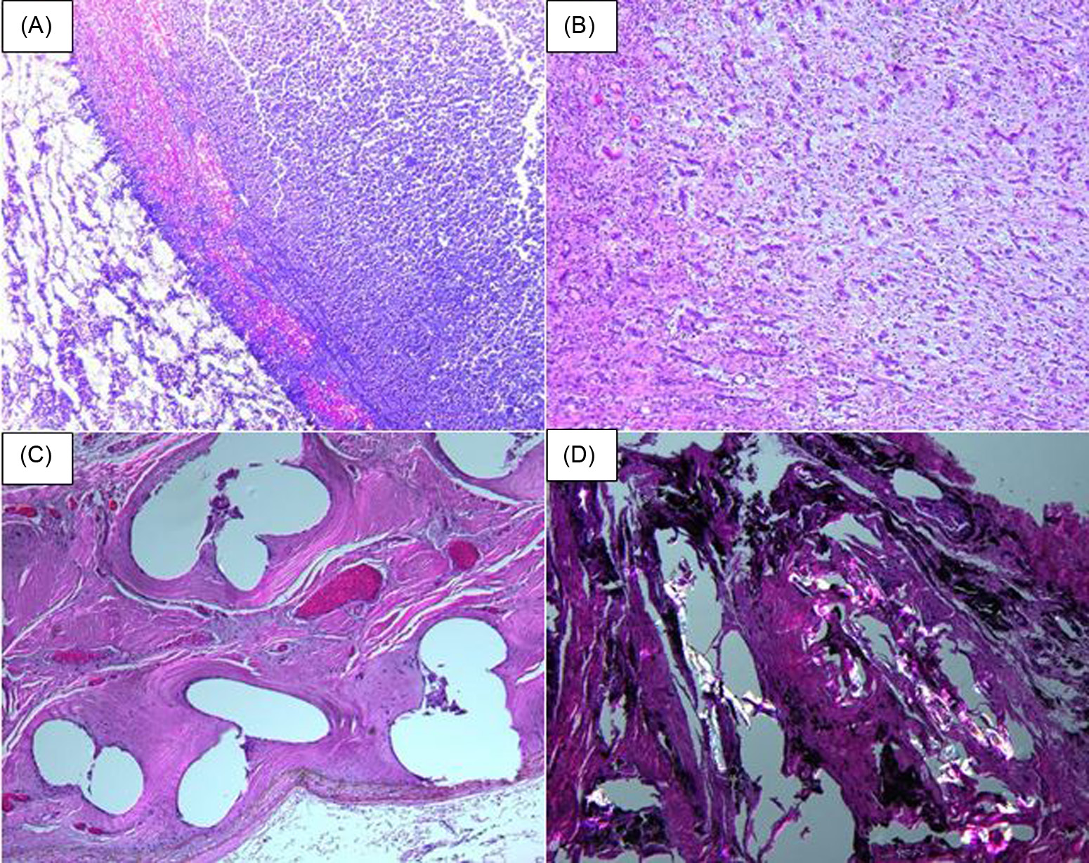
. 感染的膨体聚四氟乙烯血管移植物的急性和慢性炎症)
图2.3 (A). 感染的膨体聚四氟乙烯血管移植物的急性和慢性炎症
在移植物管腔内、管腔内移植物表面以及多孔移植物间隙中均可见炎症细胞浸润。苏木精和伊红染色,16×原始放大倍数。
(B). 全髋关节假体愈合过程中形成的肉芽组织,伴有广泛的新生血管化,此前曾发生感染
苏木精和伊红染色,8.0×原始放大倍数。
(C). 腹壁疝修补术中聚丙烯网状纤维引起的纤维性异物反应及纤维包裹
苏木精和伊红染色,8.0×原始放大倍数。
(D). 全髋关节假体的磨损产物
聚乙烯碎片在部分偏振光显微镜下呈白色物质,金属沉积(金属颗粒)呈黑色聚集体,同时可见广泛的异物反应。苏木精和伊红染色,8.0×原始放大倍数。
持续性炎症刺激会导致慢性炎症。尽管生物材料自身的化学和物理性质可能导致慢性炎症,in situ植入物的运动或感染也可能引发慢性炎症。对生物材料的慢性炎症反应通常持续时间较短,并局限于植入部位。单核细胞的存在,包括伴有肉芽组织形成的异物反应,被认为是植入性生物材料正常的伤口愈合反应(即正常的异物反应)。在延长的植入时间(数周、数月甚至数年)后,若出现淋巴细胞和单核细胞的聚集,也可能提示存在长期感染。急性和/或慢性炎症的长期存在,也可能是由于生物材料释放出的有毒浸出物所致(马钱特等,1986)。
以下示例说明了这一点。体内对大鼠和兔子进行了纳曲酮缓释制剂的皮下植入研究,包括安慰剂(仅聚合物)微珠和含纳曲酮微珠(山口,19923, 7, 14, 21, 28)。在上述各时间点评估组织病理学组织反应。在所有时间段内,大鼠和兔子中唯一显著的组织学发现是围绕含纳曲酮微珠出现的局灶性慢性炎症。在第14、21和28天,大鼠和兔子中含纳曲酮微珠周围的局灶性炎症细胞密度均高于安慰剂微珠。随着植入时间延长,纳曲酮微珠与安慰剂微珠之间的炎症反应差异增大。考虑到安慰剂微珠在大鼠和兔子中随植入时间延长炎症反应逐渐消退,因此更严重的炎症反应表明纳曲酮药物本身是导致植入部位周围局灶性慢性炎症的致病因子。
该案例研究显示了在实验中使用适当的对照材料的重要性。如果没有使用阴性对照(即仅含聚合物的安慰剂材料),含纳曲酮微珠中的聚合物也会被认为是导致延长的慢性炎症反应的致病因子。类似的慢性炎症反应已在药物、聚合物增塑剂和其他添加剂、加工和制造助剂以及灭菌残留物中被发现。每种情况在风险评估过程中都有其独特的因素,这对于确定临床应用中的安全性(生物相容性)和效益与风险至关重要。
淋巴细胞和浆细胞主要参与免疫反应,是抗体产生和迟发型超敏反应的关键介质。尽管这些细胞可能出现在非免疫性损伤和炎症中,但它们在这些情况下的作用在很大程度上尚不清楚(布罗德贝克 等,2005年;麦克尤恩 等,2005年)。关于对合成生物材料的体液(或获得性)免疫反应和细胞介导免疫,目前了解甚少。生物材料的获得性免疫反应的作用将在第8章中讨论。巨噬细胞(先天性体液反应在合成生物材料引发获得性免疫反应的潜在发展中必须予以考虑。巨噬细胞和树突状细胞(DCs)对抗原进行加工并呈递给免疫活性细胞,因此是免疫反应发展的关键介质。第6章和第7章对此主题进行了详细讨论。
单核细胞和巨噬细胞属于单核吞噬细胞系统(MPS),也称为网状内皮系统(RES)。这些系统由骨髓、外周血和特殊组织中的细胞组成。表2.5列出了含有属于MPS或RES细胞的组织。这些组织中的特殊细胞可能因植入物通过各种组织‐材料相互作用释放出的组分或产物(如腐蚀产物、磨损碎屑、降解产物)或植入物的存在(如微胶囊或纳米粒子药物递送系统)而在器官或组织中引起全身效应。
过去十年中,越来越多的研究发现巨噬细胞表型表达存在显著差异。这种由不同环境信号决定的巨噬细胞功能或活化状态的差异已被以多种方式进行分类。借鉴T细胞相关文献,巨噬细胞被分为M1型巨噬细胞(定义为经典活化的或促炎性巨噬细胞)和M2型巨噬细胞(描述为替代性活化的巨噬细胞或抗炎/促伤口愈合型巨噬细胞)(戈登,2003;戈登和普拉登曼,2013;穆尼等,2010)。另一些研究者尝试将巨噬细胞分为三种不同类型:经典活化巨噬细胞、伤口愈合型巨噬细胞和调节性巨噬细胞(莫斯和爱德华兹,2008)。在这种分类中,具有抗炎活性的是调节性巨噬细胞,而伤口愈合型巨噬细胞则促进组织修复。鉴于可能激活巨噬细胞的环境信号种类繁多,从而导致多种形式的巨噬细胞极化(即表型表达),对巨噬细胞活性的分类是人为的,且可能具有误导性。曼托瓦尼对巨噬细胞
表2.5 MPS和RES的组织与细胞组织
| 组织 | 细胞 |
|---|---|
| 植入部位 | 炎症性巨噬细胞 |
| 肝脏 | 库普弗细胞 |
| Lung | 肺泡巨噬细胞 |
| 结缔组织 | 组织细胞 |
| 骨髓 | 巨噬细胞 |
| 脾脏和淋巴结 | 固定和游走巨噬细胞 |
| 浆膜腔 | 胸膜和腹膜巨噬细胞 |
| 神经系统 | 小胶质细胞 |
| Bone | 破骨细胞 |
| Skin | 朗格汉斯细胞 |
| 淋巴组织 | DCs |
极化、活性或表型表达为从M1到M2的连续过程(曼托瓦尼等,2002,2004),第6章详细描述了巨噬细胞对生物材料的反应。
巨噬细胞可以说是慢性炎症中最重要的细胞,因为它能够产生大量生物活性产物。巨噬细胞产生并分泌的重要产物类别包括中性蛋白酶、趋化因子、花生四烯酸代谢物、活性氧代谢物、补体组分、凝血因子、促生长因子、细胞因子和酸。巨噬细胞内的吞噬溶酶体可以具有很强的酸性,pH值可低至4,对此酸性环境的微电极研究测得的pH值甚至可低至3.5。此外,巨噬细胞粘附后仅需数小时即可达到这种酸性水平(哈斯,2007;扬科夫斯基等,2002;克莱巴诺夫,2005;西格尔,2005;西尔弗等,1988)。
生长因子如血小板源性生长因子(PDGF)、成纤维细胞生长因子(FGF)、转化生长因子‐β (TGF‐β)、TGF‐α/表皮生长因子(EGF)以及白细胞介素‐1 (IL‐1)或肿瘤坏死因子(TNF‐α)对成纤维细胞和血管的生长以及上皮细胞的再生具有重要作用。活化的巨噬细胞释放的效应分子可启动细胞迁移、分化和组织重塑,并参与伤口愈合的各个阶段。
肉芽组织
在生物材料植入后1天内(即损伤发生后),单核细胞和巨噬细胞启动愈合反应。植入部位的成纤维细胞和血管内皮细胞增殖并开始形成肉芽组织,这是一种特殊类型的组织,是愈合过程中炎症的标志。肉芽组织因其在愈合伤口表面呈现粉红色、柔软且颗粒状的外观而得名,其特征性的组织学特征包括新生小血管和成纤维细胞的增殖。根据损伤程度的不同,在生物材料植入后3–5天即可观察到肉芽组织。
新的小血管通过已有血管的出芽或萌发形成,这一过程称为新生血管形成或血管生成(布朗德等,2000;阮和达莫尔,2001)(图2.3B)。该过程涉及内皮细胞增殖、成熟并组织成毛细血管。成纤维细胞也在发育中的肉芽组织中增殖,并积极参与合成胶原蛋白和蛋白聚糖。在肉芽组织发育的早期阶段,以蛋白聚糖为主,随后胶原蛋白(尤其是III型胶原蛋白)占主导地位,并形成大多数生物材料周围所见的纤维囊。发育中的肉芽组织中的一些成纤维细胞可能具有平滑肌细胞的特征(例如肌动蛋白微丝),这些细胞被称为肌成纤维细胞,并被认为负责
肉芽组织形成过程中观察到的伤口收缩。除了收缩作用外,肌成纤维细胞还能通过分泌有序的细胞外基质(ECM)来侵入并修复受损组织(欣茨等人,2001)。最近的研究表明,肌成纤维细胞可来源于不同的前体细胞,其中主要来源是结缔组织成纤维细胞的局部募集;然而,局部间充质干细胞、骨髓来源的间充质干细胞(纤维细胞)以及通过上皮‐间充质转化过程产生的细胞也可能是肌成纤维细胞的替代来源(米卡尔夫等人,2012)。巨噬细胞几乎总是存在于肉芽组织中。如果存在趋化刺激,其他细胞也可能出现。
伤口愈合反应通常取决于植入手术造成的损伤或组织缺损的程度(布劳顿 等人,2006;马斯托 等人,1987;皮尔斯,2001;克拉克,1996;亨特 等人,1984)。一期愈合或一期愈合是指清洁的外科切口通过外科缝线使伤口边缘靠近而实现的愈合。该术语不适用于宿主对生物材料的反应情境中。在此类条件下,愈合过程无明显细菌污染,且组织损失极小。二期愈合或二期愈合则发生在存在较大组织缺损需要填充,或有大量细胞和组织丧失的情况下。在二期愈合过程中,实质细胞的再生无法完全重建原有组织结构,会形成更多的肉芽组织,从而导致更大范围的纤维化或瘢痕形成。在此条件下,不同区域的组织可能同时表现出伤口愈合过程的不同阶段。二期愈合常见于生物材料的情况,且与植入物和组织之间形成的临时基质的程度相关。
肉芽组织与肉芽肿明显不同,肉芽肿是由称为上皮样细胞的 modified 巨噬细胞聚集而成的小团块。在肉芽肿中,朗格汉斯细胞或多核巨细胞可能包围无法被吞噬的颗粒物质。多核巨细胞由单核细胞和巨噬细胞融合形成,试图吞噬这些物质。
异物反应
生物材料的异物反应(FBR)由多核巨细胞(FBGCs)以及不同量的肉芽组织组分(如巨噬细胞、成纤维细胞和毛细血管)组成,其具体构成取决于植入材料的形态和表面形貌(安德森,2001;安德森等人,2008)。相对平坦光滑的表面,例如硅胶乳房假体上的表面,其异物反应表现为一层厚度为一到两个细胞的巨噬细胞和多核巨细胞。而相对粗糙的表面,例如膨体聚四氟乙烯(ePTFE)或涤纶血管假体外表面,则在表面形成由巨噬细胞和多核巨细胞组成的异物反应层。织物类材料通常表面反应由巨噬细胞和多核巨细胞组成,表面反应下方不同程度地存在肉芽组织(图2.3C)如。前所述,生物材料表面的形态和表面形貌决定了异物反应的组成(Bota 等,2010)。对于生物相容性材料而言,植入部位异物反应的组成可由生物材料的表面特性、植入物形态以及生物材料表面积与植入物体积之间的关系来控制。例如,高比表面积植入物(如织物、多孔材料、颗粒(图2.3D)或微球)在植入部位会含有更高比例的巨噬细胞和多核巨细胞,而光滑表面植入物则以纤维化作为植入部位的重要组成部分(Charnley, 1970; Revell, 2008; Ney et al., 2006; Revell, 2008)。
异物反应可能会在组织‐植入物界面持续整个植入物的寿命(图2.2)。通常,纤维化(即纤维包裹)会在生物材料或植入物周围形成,将其与局部组织环境中的异物反应隔离开来。在炎症和伤口愈合反应早期,巨噬细胞在黏附到材料表面时被激活(Purdue,2008)。
尽管人们普遍认为生物材料的化学和物理性质是导致巨噬细胞活化的原因,但关于巨噬细胞在表面活性的后续事件尚不清楚。来源于循环血单核细胞的组织巨噬细胞可能融合形成多核多核异物巨细胞。在生物材料表面看到含有大量细胞核的非常大的多核巨细胞并不罕见。虽然这些多核巨细胞可能在整个植入物的寿命期间持续存在,但目前尚不清楚它们是否保持活化状态,持续释放溶酶体成分,还是进入静止状态(Brodbeck 和 Anderson,2009)。
图2.4 体内 从血液中的单核细胞到附着于生物材料的单核细胞/巨噬细胞,再到组织‐生物材料界面处的多核巨细胞的转变过程
图中指出了被认为起重要作用的重要生物学反应
血液 组织 组织/生物材料 生物材料
单核细胞
趋化性 迁移 趋化性 迁移 粘附 分化
粘附 分化 信号转导 活化
活性 表型的 表达
巨噬细胞 FBGC
在多核异物巨细胞形成过程中,材料表面化学可能控制黏附巨噬细胞凋亡(即程序性细胞死亡),从而使潜在有害的巨噬细胞失去功能,而植入物周围的环境则不受影响。黏附巨噬细胞凋亡的程度似乎与材料表面促进巨噬细胞融合为多核巨细胞的能力呈负相关,这提示巨噬细胞可能通过融合来逃避凋亡。
图2.5 导致多核巨细胞形成的炎症和伤口愈合反应所涉及的事件序列
这显示了肥大细胞在急性炎症阶段以及Th2淋巴细胞在短暂的慢性炎症阶段中的潜在重要性,后者可产生IL‐4和IL‐13,从而诱导单核细胞/巨噬细胞融合形成FBGC。
趋化因子信号传导对早期黏附巨噬细胞/多核巨细胞活化具有显著影响,而晚期则以直接(邻近)细胞间机制相互作用为主(张等人,2009 2004年,2007年 2007年2 ;琼斯等人,;安德森和琼斯,)。辅助性T细胞因其细胞因子谱而被描述为“抗炎的”,其中IL‐4是重要组成部分。
纤维化/纤维包裹
通常,生物材料的终末期愈合反应是纤维化或纤维性包裹;然而,这一普遍性说法可能存在例外情况(例如,接种了实质细胞的多孔材料,或植入到组织或骨骼中的多孔材料)。如前所述,组织对生物材料的反应在一定程度上取决于植入手术所造成的损伤程度或缺损大小,以及临时基质的量。
组织工程和再生医学的最终目标是通过重建正常组织和器官结构的细胞来替代受损组织。目前,包括干细胞、支架和生长因子在内的多种方法正在被研究。炎症、伤口愈合以及异物反应等相对快速的反应,以及其他在组织再生中的重要因素,为成功实现这一目标带来了重大挑战。这一点在使用支架材料时尤为显著,因为在组织工程方法中需要支架孔隙率的迁移与整合。
生物材料植入部位的修复可能涉及两个不同的过程:结构性重塑,即受损组织被同类型的实质细胞所替代,以及由结缔组织替代形成纤维囊。这些过程通常由以下因素控制:(威廉姆斯,1987) 接受植入物的组织或器官中细胞的增殖能力以及损伤程度(与破坏相关),或者 (威廉姆斯,2008) 植入部位组织结构框架(即细胞外基质)的持续存在。
细胞的再生能力使其可分为三类:不稳定细胞、稳定(或可扩展的)细胞和永久的(或静态的)细胞。不稳定细胞终生持续增殖,稳定细胞保留这种增殖能力但不持续复制,而永久细胞在出生后无法再生。理论上,只有由稳定细胞和不稳定细胞组成的组织才可能发生具有正常结构恢复的完全修复;而对于由永久细胞构成的组织,所有损伤都可能导致纤维化和纤维囊形成,几乎无法恢复正常的组织或器官结构。由永久细胞(例如神经细胞和心肌细胞)构成的组织通常发生炎性渗出物的机化,导致
纤维化。稳定细胞组织(例如肝脏、肾脏和胰腺的实质细胞)、间充质细胞(例如成纤维细胞、平滑肌细胞、成骨细胞和软骨母细胞)以及血管内皮细胞和不稳定细胞(例如上皮细胞、淋巴样细胞和造血细胞)也可能沿此途径发展为纤维化,或可能发生炎性渗出物的消散,从而恢复正常的组织结构。
损伤后实质细胞下方的支架或支持性细胞外基质(ECM)的状态在恢复正常组织结构过程中起着重要作用。若损伤后保留了支架ECM,则可能实现正常组织结构的恢复;而支架的破坏通常会导致纤维化。需要重视细胞再生能力的物种依赖性。例如,来自相同器官或组织但不同物种的细胞可能表现出不同的再生能力或结缔组织修复能力,如血管移植物和支架的内皮化过程所示。
局部和全身因素均参与生物材料或植入物的伤口愈合反应。局部因素包括植入部位的解剖部位(组织或器官)、血液供应是否充足以及感染的可能性。全身因素包括营养状况、血液学紊乱、糖皮质激素给药以及动脉粥样硬化、糖尿病和感染等已存在的疾病。
植入医疗器械后伤口愈合/组织修复的最终阶段是形成纤维囊。最初认为由浸润的成纤维细胞产生,但现在已知肌成纤维细胞和成纤维细胞(定居和循环的间充质祖细胞)在产生胶原性纤维化(纤维囊的主要成分)中起着重要作用(欣茨等人,2001;布卡拉,2012;威恩,2008;威恩和拉马林甘,2012;欣茨,2007)。
植入生物材料或医疗器械可被视为对组织或器官正常的再生与愈合过程造成阻碍。围绕药物递送装置形成的纤维囊也被认为会妨碍药物扩散,并抑制药物递送系统和生物传感器(如葡萄糖传感器)的功能。然而,这种观点可能过于短视,因为最近一项关于无线控制药物递送微芯片的研究表明,该芯片能够递送分子量约为4000的骨质疏松抑制剂,并产生临床上有效的血药浓度以抑制骨质疏松(法拉等,2012)。鉴于在植入手术后难以控制损伤引发的一系列事件,恢复正常组织结构及其功能的情况十分罕见。目前的研究正致力于深入理解炎症反应的调控机制、促进永久性与稳定细胞适当增殖的刺激因素,以及生长因子的合理应用,这些研究可能为控制炎症、伤口愈合及生物材料的纤维包裹提供关键线索。
先天性和适应性免疫反应
随着组织工程的发展,免疫反应和免疫毒性评估的重要性显著增加(琼斯等人,2008;塞夫顿等人,2008)。鉴于各类医疗器械的独特性以及反应出现的延迟性,免疫反应的评估尤为具有挑战性。动物与人类免疫反应之间的差异为此问题增加了额外的复杂性。以下将概述免疫反应评估并提供相关指导。
炎症(先天性)和免疫(适应性)反应具有共同组分。可能存在仅有炎症反应而无适应性免疫反应的情况。在这种情况下,两种反应共有的体液和细胞成分可能仅参与炎症反应。表2.6列出了炎症反应和免疫反应的共同组分。巨噬细胞和树突状细胞被称为专职抗原呈递细胞,负责启动适应性免疫反应。
表2.6 炎症(先天性)和适应性免疫反应中的共同组分 组分 细胞组分
| 补体级联组分 | 巨噬细胞 |
|---|---|
| 免疫球蛋白 | NK(自然杀伤)细胞 |
| DCs具有双重吞噬和抗原‐ 呈递能力的细胞 |
讨论与展望
尽管在过去二十年中,人们对生物材料和医疗器械引起的炎症、愈合及异物反应的机制理解已取得显著进展,但目前仍存在诸多限制其向临床应用转化的挑战。本节旨在指出其中若干对未来构成挑战/机遇的问题。
生物材料或医疗器械植入后,不同物种之间的反应仍存在差异。考虑到动物研究是临床应用前必需的前期步骤,这是一个重要问题。目前关于巨噬细胞及其融合实体(即多核巨细胞)来源的观点认为,分化后的巨噬细胞可能通过自我更新而存在(西韦克和艾伦,2013)。也就是说,组织驻留型巨噬细胞具有增殖能力。支持该假设的研究已在非人类哺乳动物中开展,许多主要的巨噬细胞群体被发现来源于胚胎祖细胞,并且能够独立于造血干细胞进行自我更新。
从临床应用的角度来看,这是一个重要问题,因为植入物取出研究已证实,在组织/材料界面处,巨噬细胞和多核巨细胞在生物材料和医疗器械的异物反应中可存在于组织/材料界面长达约30年。然而,目前尚无有力证据表明参与植入性生物材料和医疗器械异物反应的巨噬细胞具备自我更新(即增殖)能力,因此这些细胞在界面处的更新率以及持续定植于生物材料或医疗器械表面的前体细胞仍是未解之谜(西韦克和艾伦,2013;詹金斯等,2011;桥本等,2013)。显著的种间差异的一个例子是:人血管移植物不会在其管腔表面实现内皮化,而包括黑猩猩和狒狒在内的高等脊椎动物则能在血管移植物的愈合反应中形成内皮层。尽管推测的证据集中于血液中的循环干细胞可能提供内皮层,但目前尚无任何证据支持这一假说。
在某些应用中,植入性生物材料不引起宿主反应可能是理想的;然而,实现一种既不吸附蛋白质也不黏附细胞的生物材料表面这一终极目标仍然难以企及。如前所述,几乎在植入后立即,血液的体液和细胞成分就会与植入性生物材料或医疗器械接触,从而形成临时基质。近期的研究集中于抑制生物材料诱导的补体激活,以减少表面的蛋白质黏附现象(库尔策利斯等,2013;埃克达尔等,2011;莫赖斯等,2010)。抑制生物材料诱导的补体激活有望减少单核/巨噬细胞在生物材料上的黏附(麦克纳利和安德森,1994,2002)。然而,单核/巨噬细胞在生物材料表面的黏附过程更为复杂,因为单核/巨噬细胞表达多种蛋白质黏附受体(整合素),这些整合素至少包含三种不同类型的β链(β1, β2, β3),它们可结合临时基质中存在的多种蛋白质。这些来源于血液的蛋白质包括补体C3b片段、纤维蛋白、纤维蛋白原、纤维连接蛋白、因子X和玻璃粘连蛋白。此外,单核/巨噬细胞的整合素表达具有时间依赖性,β1整合素最初在黏附型单核细胞上无法检测到,但在巨噬细胞发育过程中开始出现,并在融合形成多核巨细胞的巨噬细胞上强烈表达(McNally和Anderson,2002)。因此,考虑到数量众多的黏附蛋白及其相应的单核/巨噬细胞受体,以及黏附型巨噬细胞和多核巨细胞上受体上调的时间依赖性特征,在界面处发生的单核/巨噬细胞黏附及其后续融合形成多核巨细胞的过程极为复杂。其他机制,如黏附细胞的凋亡或失巢性凋亡,也可被考虑用于减少单核/巨噬细胞/多核巨细胞在生物材料表面的黏附。凋亡是一种程序性细胞死亡,而失巢性凋亡是指因细胞从其支持性基质脱离所引发的凋亡。已有多种生物材料表面化学性质被证实可在体外和体内(琼斯等,2004;布罗德贝克等,2001,2003;希夫等,2002)诱导黏附型巨噬细胞发生凋亡。这些潜在的减少细胞黏附的机制已被研究不足,且为单核细胞/巨噬细胞/多核巨细胞在生物材料表面的粘附提供了可控和下调的机会。
关于植入物周围纤维囊的形成,成纤维细胞(作为循环间充质前体细胞的一个亚群)已被确认可促进人类的伤口修复,同时也参与多种纤维化疾病的形成(布卡拉,2012)。血液中循环的成纤维细胞可被募集至组织或植入物损伤部位,并分化为成纤维细胞和肌成纤维细胞。目前认为,肌成纤维细胞是导致纤维化的主要因素,可能负责将肉芽组织胶原重塑为依赖纤维化的胶原(即I型胶原)。最近的研究表明,生物材料基质的机械性能可影响肌成纤维细胞的收缩特性(欣茨,2007;Hinz et al.,2012;Hinz和加比亚尼,2010;Klingberg et al.,2013)。
一种成功抑制炎症粘附和活化的方法是用“自我”的跨膜分子标志物 CD47修饰生物材料表面。由于炎症细胞不将这些表面识别为外来物质,因此炎症细胞粘附减少,表达的细胞因子下调,基质金属蛋白酶上调,并涉及 JAK/STAT信号机制(Stachelek 等,2011;Finley 等,2013)。这些发现表明,通过CD47修饰生物材料表面,可减少生物材料降解和纤维囊形成。严格控制生物医学聚合物形态和孔隙率也提供了一种下调多核巨细胞和纤维囊形成的 方法(Bota 等,2010;Madden 等,2010;Fukano 等,2010)。这些方法有望在用于临床应用的支架开发中发挥重要作用。
最终,医疗器械和植入物的成功或失败受到生物材料或医疗器械的特性、患者状况或因素以及手术技术之间相互作用的调节。表2.7 确定了患者可能影响骨科和心血管器械成功或失败的条件。这些条件可能会调节炎症、愈合和异物反应,最终导致生物材料或医疗器械的失效。感染仍是导致植入物失效的重要因素。最近的研究表明,个体患者的基因组因素可能使其易于发生植入物失效。本书其他章节讨论了年龄(第11章)和身体系统位置(第12章和第13章)对宿主对植入材料反应的影响。
表2.7 患者状况及其他影响植入物失效的因素
| 骨科 | 心血管 |
|---|---|
| 多关节炎综合征 | 动脉粥样硬化 |
| 结缔组织病 | 糖尿病 |
| 骨关节炎 | 感染 |
| 感染 | 心室肥厚 |
| 创伤 | 高血压 |
| 内分泌疾病 | 心律失常 |
| 肿瘤 | 凝血异常 |
| 原发性关节疾病 | 心脏功能 |
| 受者活动水平 | 受者活动水平 |
1107

被折叠的 条评论
为什么被折叠?



