本文来源公众号“OpenCV与AI深度学习”,仅用于学术分享,侵权删,干货满满。

介绍
在快速发展的计算机视觉领域,YOLO (You Only Look Once) 系列一直为实时物体检测树立标杆。随着最近推出的 YOLOv11,Ultralytics 进一步提高了其功能,提高了准确性、速度和效率。
本文将指导您完成使用自定义数据集训练 YOLOv11 以进行实例分割的过程,重点介绍其功能以及如何开始。
YOLOv11 概述
YOLOv11 是 Ultralytics YOLO 系列的最新版本,在架构和训练方法方面带来了重大改进。它旨在处理各种计算机视觉任务,使其成为开发人员和研究人员的多功能工具。
主要特点
-
-
增强的特征提取:YOLOv11 采用先进的 backbone 和 neck 架构,提高了其提取特征以实现精确对象检测的能力。
-
优化的效率和速度:该模型拥有精致的架构设计,可实现更快的处理速度,同时保持准确性和性能之间的平衡。
-
以更少的参数实现更高的准确率:YOLOv11m 在 COCO 数据集上实现了更高的平均精度 (mAP),同时使用的参数比 YOLOv8m 少了 22%,从而提高了计算效率。
-
跨环境适应性:YOLOv11 可以无缝部署在边缘设备、云平台和带有 NVIDIA GPU 的系统上。
-

支持的任务
YOLOv11 支持广泛的计算机视觉任务:

准备自定义数据集
要训练 YOLOv11 进行实例分割,您首先需要准备数据集。方法如下:
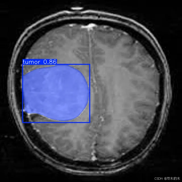
数据收集:收集表示要检测的类的图像。在此示例中,我们将使用 BRAIN-TUMOR 数据集,其中包含来自 roboflow 的 834 张图像。
链接 :https://universe.roboflow.com/iotseecs/brain-tumor-yzzav


标注:使用 LabelMe 或 VGG Image Annotator 等工具注释您的图像。确保以 COCO 格式保存注释以实现兼容性。
数据集结构:组织您的数据集目录,包括图像和注释,并创建一个指定路径和类名称的 YAML 配置文件。
示例 YAML 结构
train: ../path/to/train/imagesval: ../path/to/val/images
nc: 1 # Number of classesnames: ['brain_tumor'] # List of class names
训练 YOLOv11 以进行实例分割
第 1 步:设置环境
确保您已安装必要的依赖项。您可以使用以下方法安装 Ultralytics 软件包:
pip install ultralytics
第 2 步:加载 YOLOv11 模型
加载为实例分割量身定制的预训练 YOLOv11 模型:
from ultralytics import YOLO
# Load a pretrained YOLOv11 model for instance segmentationmodel = YOLO("yolo11m-seg.pt")
第 3 步:训练模型
使用以下命令在自定义数据集上训练模型:
results = model.train(data="path/to/your/dataset.yaml", epochs=100, imgsz=640)

您可以根据数据集和计算资源调整epochs和imgsz参数。
第 4 步:评估模型
训练完成后,评估模型的性能:
results = model.val()
运行推理
训练后,您可以对新图像运行推理:
# Run inference on an imageresults = model.predict("path/to/your/test/image.jpg")


YOLOv11 作为强大的实例分割工具脱颖而出,结合了尖端的准确性和效率。按照本文中概述的步骤,您可以在自定义数据集上有效地训练 YOLOv11 模型,并将其功能用于各种应用程序。
THE END !
文章结束,感谢阅读。您的点赞,收藏,评论是我继续更新的动力。大家有推荐的公众号可以评论区留言,共同学习,一起进步。

4029

被折叠的 条评论
为什么被折叠?



