✅作者简介:热爱科研的Matlab仿真开发者,擅长数据处理、建模仿真、程序设计、完整代码获取、论文复现及科研仿真。
🍎 往期回顾关注个人主页:Matlab科研工作室
🍊个人信条:格物致知,完整Matlab代码及仿真咨询内容私信。
🔥 内容介绍
一、研究背景与意义
在现代医学诊断领域,医学影像技术扮演着不可或缺的角色。不同模态的医学图像能够提供人体组织和器官的不同信息,例如 CT 图像具有较高的空间分辨率,能够清晰地显示骨骼等高密度组织的结构;MRI 图像则对软组织的分辨能力较强,可准确呈现脑部、肝脏等软组织的病变情况。然而,单一模态的医学图像往往存在信息局限性,难以全面反映人体的生理和病理状态。
多模态医学图像融合技术应运而生,其旨在将不同模态医学图像中的有用信息进行整合,生成一幅包含更丰富、更全面信息的融合图像,为医生的诊断和治疗方案制定提供更有力的支持。例如,在肿瘤诊断中,将 PET 图像(可显示肿瘤代谢活性)与 CT 图像(可显示肿瘤位置和形态)融合,能够帮助医生更准确地确定肿瘤的范围和性质,从而制定更精准的治疗计划。
当前,多模态医学图像融合技术已成为医学图像处理领域的研究热点之一。但在实际应用中,现有融合方法仍存在一些问题,如融合图像可能出现细节丢失、边缘模糊、伪影等现象,影响了图像的质量和诊断价值。因此,研究更加有效的多模态医学图像融合方法具有重要的理论意义和实际应用价值。
二、相关理论基础


四、结论与展望
(一)研究结论
本文针对多模态医学图像融合中存在的细节丢失、边缘模糊等问题,提出了一种基于联合双边滤波和局部梯度能量的多模态医学图像融合方法。通过对源图像进行联合双边滤波预处理,有效地去除了图像噪声,保留了图像的边缘和细节信息;利用局部梯度能量作为融合决策依据,确保了融合图像能够保留更多的细节信息;最后通过直方图均衡化和边缘增强等后处理操作,进一步改善了融合图像的质量。
实验结果表明,该方法在主观评价和客观评价方面均优于传统的图像融合方法,能够生成高质量的多模态医学图像融合结果,为医生的诊断和治疗提供了更有力的支持。
(二)研究展望
虽然本文提出的融合方法取得了较好的效果,但仍有一些方面需要进一步改进和完善:
- 融合规则的优化:当前的融合规则主要基于局部梯度能量进行决策,未来可以考虑结合其他图像特征(如纹理特征、形状特征等)来设计更复杂、更有效的融合规则,进一步提高融合图像的质量。
- 自适应参数选择:在联合双边滤波和局部梯度能量计算过程中,参数的选择对融合结果有着重要的影响。目前参数的选择主要依靠经验,未来可以研究自适应参数选择方法,根据图像的具体特征自动选择最优的参数,提高方法的通用性和实用性。
- 深度学习的应用:近年来,深度学习技术在图像处理领域取得了巨大的成功。未来可以将深度学习技术与本文提出的方法相结合,利用深度学习网络强大的特征提取和学习能力,进一步提高多模态医学图像融合的性能。
- 实时性优化:当前的融合方法在处理高分辨率医学图像时,计算量较大,实时性较差。未来可以研究高效的算法和并行计算技术,对融合方法进行优化,提高方法的实时性,满足临床应用的需求。
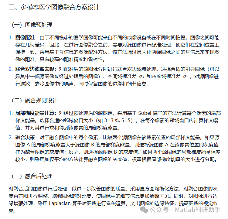
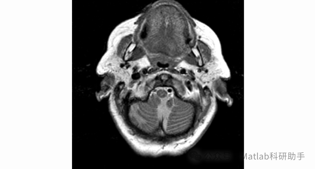
⛳️ 运行结果




🔗 参考文献
[1] 朱积成,刘慧,李珊珊,等.结合局部熵与梯度能量的双通道医学图像融合[J].计算机辅助设计与图形学学报, 2024(6).DOI:10.3724/SP.J.1089.2024.19899.
[2] 吴川.基于双边滤波的多尺度图像融合[J].计算机工程与应用, 2015, 51(1):31-34.DOI:10.3778/j.issn.1002-8331.1401-0376.
[3] TANG Wei,JIA Fangxiu,WANG Xiaoming.基于双边滤波的可见光与红外图像自适应融合[J].兵工学报, 2022, 43(11):2836-2845.DOI:10.12382/bgxb.2021.0626.
📣 部分代码
🎈 部分理论引用网络文献,若有侵权联系博主删除
👇 关注我领取海量matlab电子书和数学建模资料
🏆团队擅长辅导定制多种科研领域MATLAB仿真,助力科研梦:
🌈 各类智能优化算法改进及应用
生产调度、经济调度、装配线调度、充电优化、车间调度、发车优化、水库调度、三维装箱、物流选址、货位优化、公交排班优化、充电桩布局优化、车间布局优化、集装箱船配载优化、水泵组合优化、解医疗资源分配优化、设施布局优化、可视域基站和无人机选址优化、背包问题、 风电场布局、时隙分配优化、 最佳分布式发电单元分配、多阶段管道维修、 工厂-中心-需求点三级选址问题、 应急生活物质配送中心选址、 基站选址、 道路灯柱布置、 枢纽节点部署、 输电线路台风监测装置、 集装箱调度、 机组优化、 投资优化组合、云服务器组合优化、 天线线性阵列分布优化、CVRP问题、VRPPD问题、多中心VRP问题、多层网络的VRP问题、多中心多车型的VRP问题、 动态VRP问题、双层车辆路径规划(2E-VRP)、充电车辆路径规划(EVRP)、油电混合车辆路径规划、混合流水车间问题、 订单拆分调度问题、 公交车的调度排班优化问题、航班摆渡车辆调度问题、选址路径规划问题、港口调度、港口岸桥调度、停机位分配、机场航班调度、泄漏源定位
🌈 机器学习和深度学习时序、回归、分类、聚类和降维
2.1 bp时序、回归预测和分类
2.2 ENS声神经网络时序、回归预测和分类
2.3 SVM/CNN-SVM/LSSVM/RVM支持向量机系列时序、回归预测和分类
2.4 CNN|TCN|GCN卷积神经网络系列时序、回归预测和分类
2.5 ELM/KELM/RELM/DELM极限学习机系列时序、回归预测和分类
2.6 GRU/Bi-GRU/CNN-GRU/CNN-BiGRU门控神经网络时序、回归预测和分类
2.7 ELMAN递归神经网络时序、回归\预测和分类
2.8 LSTM/BiLSTM/CNN-LSTM/CNN-BiLSTM/长短记忆神经网络系列时序、回归预测和分类
2.9 RBF径向基神经网络时序、回归预测和分类
2.10 DBN深度置信网络时序、回归预测和分类
2.11 FNN模糊神经网络时序、回归预测
2.12 RF随机森林时序、回归预测和分类
2.13 BLS宽度学习时序、回归预测和分类
2.14 PNN脉冲神经网络分类
2.15 模糊小波神经网络预测和分类
2.16 时序、回归预测和分类
2.17 时序、回归预测预测和分类
2.18 XGBOOST集成学习时序、回归预测预测和分类
2.19 Transform各类组合时序、回归预测预测和分类
方向涵盖风电预测、光伏预测、电池寿命预测、辐射源识别、交通流预测、负荷预测、股价预测、PM2.5浓度预测、电池健康状态预测、用电量预测、水体光学参数反演、NLOS信号识别、地铁停车精准预测、变压器故障诊断
🌈图像处理方面
图像识别、图像分割、图像检测、图像隐藏、图像配准、图像拼接、图像融合、图像增强、图像压缩感知
🌈 路径规划方面
旅行商问题(TSP)、车辆路径问题(VRP、MVRP、CVRP、VRPTW等)、无人机三维路径规划、无人机协同、无人机编队、机器人路径规划、栅格地图路径规划、多式联运运输问题、 充电车辆路径规划(EVRP)、 双层车辆路径规划(2E-VRP)、 油电混合车辆路径规划、 船舶航迹规划、 全路径规划规划、 仓储巡逻
🌈 无人机应用方面
无人机路径规划、无人机控制、无人机编队、无人机协同、无人机任务分配、无人机安全通信轨迹在线优化、车辆协同无人机路径规划
🌈 通信方面
传感器部署优化、通信协议优化、路由优化、目标定位优化、Dv-Hop定位优化、Leach协议优化、WSN覆盖优化、组播优化、RSSI定位优化、水声通信、通信上传下载分配
🌈 信号处理方面
信号识别、信号加密、信号去噪、信号增强、雷达信号处理、信号水印嵌入提取、肌电信号、脑电信号、信号配时优化、心电信号、DOA估计、编码译码、变分模态分解、管道泄漏、滤波器、数字信号处理+传输+分析+去噪、数字信号调制、误码率、信号估计、DTMF、信号检测
🌈电力系统方面
微电网优化、无功优化、配电网重构、储能配置、有序充电、MPPT优化、家庭用电
🌈 元胞自动机方面
交通流 人群疏散 病毒扩散 晶体生长 金属腐蚀
🌈 雷达方面
卡尔曼滤波跟踪、航迹关联、航迹融合、SOC估计、阵列优化、NLOS识别
🌈 车间调度
零等待流水车间调度问题NWFSP 、 置换流水车间调度问题PFSP、 混合流水车间调度问题HFSP 、零空闲流水车间调度问题NIFSP、分布式置换流水车间调度问题 DPFSP、阻塞流水车间调度问题BFSP
👇
1362

被折叠的 条评论
为什么被折叠?



