✅作者简介:热爱科研的Matlab仿真开发者,擅长数据处理、建模仿真、程序设计、完整代码获取、论文复现及科研仿真。
🍎 往期回顾关注个人主页:Matlab科研工作室
🍊个人信条:格物致知,完整Matlab代码及仿真咨询内容私信。
🔥 内容介绍
图像分割作为计算机视觉和图像处理领域的基础任务,旨在将图像划分为具有独特语义或视觉特征的不同区域 。基于区域的主动轮廓模型凭借其利用图像区域信息进行分割的优势,在复杂背景、弱边界等图像分割场景中表现突出 。其中,由局部高斯分布拟合能量驱动的活动轮廓模型,采用变分水平集形式,通过对图像局部区域的高斯分布特性进行建模,构建能量函数,并利用变分法和水平集方法实现活动轮廓的演化,以完成图像分割 。该方法能够有效处理灰度不均匀、边界模糊等问题,为图像分割提供了一种高效且准确的解决方案,在医学图像分析、目标检测等领域具有重要的应用价值 。
二、基于区域的主动轮廓模型基础

2.2 基于区域的主动轮廓模型特点
基于区域的主动轮廓模型与传统基于边缘的主动轮廓模型不同,它着重利用图像的区域信息进行分割 。传统基于边缘的模型依赖图像的梯度信息来确定目标边界,但在灰度不均匀、弱边界或噪声干扰较大的图像中,梯度信息可能不准确,导致轮廓无法收敛到正确的边界 。而基于区域的主动轮廓模型通过分析图像中不同区域的灰度分布、纹理等特征,构建反映区域一致性的能量项 。例如,通过比较轮廓内外区域的平均灰度、统计分布等,判断轮廓是否处于目标物体的边界上 。这种利用区域信息的方式,使得模型对灰度不均匀图像和弱边界图像具有更好的适应性,能够更准确地分割出目标区域 。
三、局部高斯分布拟合能量的构建


四、变分水平集形式的实现

五、应用实例与效果分析
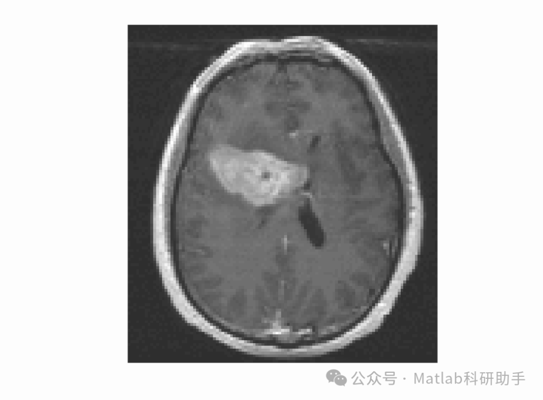
5.1 医学图像分割应用
在医学图像分割领域,该模型展现出良好的性能 。以脑部 MRI 图像分割为例,由于脑部组织灰度不均匀,且肿瘤边界模糊,传统分割方法难以准确分割出肿瘤区域 。使用由局部高斯分布拟合能量驱动的活动轮廓模型,通过对 MRI 图像局部区域的高斯分布特性进行分析,能够有效区分肿瘤组织与正常组织 。在分割过程中,区域拟合能量项引导轮廓向肿瘤边界移动,正则化能量项保证轮廓的光滑性 。经过水平集函数的迭代演化,最终准确地分割出肿瘤区域,为医生的诊断和治疗提供了清晰的图像依据 。
5.2 自然图像分割应用
在自然图像分割中,该模型同样具有优势 。对于具有复杂背景和弱边界的自然图像,如包含树叶、天空和地面的风景图像,传统方法容易出现过分割或欠分割现象 。而基于局部高斯分布拟合能量的主动轮廓模型,能够根据图像不同区域的灰度分布差异,准确地定位目标物体的边界 。例如,在分割树叶区域时,模型通过分析树叶区域和背景区域的高斯分布参数,构建合适的能量函数,驱动活动轮廓逐渐收敛到树叶的边缘,实现了对树叶区域的精确分割 。
5.3 效果评估指标
采用多种评估指标对该模型的分割效果进行量化分析 。常用的指标包括准确率(Accuracy)、召回率(Recall)、F1 - score 和 Dice 系数 。准确率衡量分割结果中正确分类的像素比例;召回率反映实际目标区域中被正确分割出来的比例;F1 - score 是准确率和召回率的调和平均数,综合考虑了两者的性能;Dice 系数用于度量分割结果与真实标签之间的重叠程度,取值范围在 0 到 1 之间,越接近 1 表示分割结果与真实情况越吻合 。通过与其他经典图像分割方法(如基于阈值的分割方法、传统 Snake 模型等)进行对比实验,结果表明该模型在各项评估指标上均具有较好的表现,尤其在处理灰度不均匀和弱边界图像时,优势更为明显 。
六、挑战与展望
6.1 面临的挑战
尽管由局部高斯分布拟合能量驱动的活动轮廓模型在图像分割中取得了显著成果,但仍面临一些挑战 。一方面,模型对局部邻域大小的选择较为敏感 。邻域过大可能导致局部区域的高斯分布假设不成立,影响区域拟合能量项的准确性;邻域过小则容易受到噪声干扰,无法准确估计高斯分布参数 。另一方面,模型的计算复杂度较高 。在每次迭代过程中,需要计算大量像素点的高斯分布参数和能量项,尤其是在处理高分辨率图像时,计算量会急剧增加,导致分割效率低下 。此外,当图像中存在多个相似目标或目标与背景灰度差异较小时,模型可能会出现误分割现象,影响分割的准确性 。
6.2 未来展望
未来的研究可以从多个方向对该模型进行改进和拓展 。在优化模型参数方面,可以探索自适应的局部邻域选择方法,根据图像的局部特征动态调整邻域大小,提高模型的适应性 。在降低计算复杂度方面,可以结合深度学习技术,如利用卷积神经网络(CNN)对图像进行特征提取,减少模型计算量;或者采用并行计算技术,加速模型的运行速度 。在处理复杂图像场景方面,可以引入多模态信息(如颜色、纹理、深度等),丰富模型的输入特征,提高模型对相似目标和低对比度图像的分割能力 。此外,将该模型与其他先进的图像分割方法相结合,发挥各自的优势,也是未来提高图像分割准确性和效率的重要研究方向 。
⛳️ 运行结果





🔗 参考文献
[1] 于晓升.基于偏微分方程的图像处理技术研究[D].东北大学,2014.
[2] 黄建波,蔡迪明,罗燕.基于特征学习框架的前列腺超声图像分割方法研究[J].生物医学工程与临床, 2018, 22(6):7.DOI:10.13339/j.cnki.sglc.20181112.002.
[3] 罗红根,朱利民,丁汉.基于主动轮廓模型和水平集方法的图像分割技术[J].中国图象图形学报, 2006, 11(3):9.DOI:10.3969/j.issn.1006-8961.2006.03.001.
📣 部分代码
🎈 部分理论引用网络文献,若有侵权联系博主删除
👇 关注我领取海量matlab电子书和数学建模资料
🏆团队擅长辅导定制多种科研领域MATLAB仿真,助力科研梦:
🌈 各类智能优化算法改进及应用
生产调度、经济调度、装配线调度、充电优化、车间调度、发车优化、水库调度、三维装箱、物流选址、货位优化、公交排班优化、充电桩布局优化、车间布局优化、集装箱船配载优化、水泵组合优化、解医疗资源分配优化、设施布局优化、可视域基站和无人机选址优化、背包问题、 风电场布局、时隙分配优化、 最佳分布式发电单元分配、多阶段管道维修、 工厂-中心-需求点三级选址问题、 应急生活物质配送中心选址、 基站选址、 道路灯柱布置、 枢纽节点部署、 输电线路台风监测装置、 集装箱调度、 机组优化、 投资优化组合、云服务器组合优化、 天线线性阵列分布优化、CVRP问题、VRPPD问题、多中心VRP问题、多层网络的VRP问题、多中心多车型的VRP问题、 动态VRP问题、双层车辆路径规划(2E-VRP)、充电车辆路径规划(EVRP)、油电混合车辆路径规划、混合流水车间问题、 订单拆分调度问题、 公交车的调度排班优化问题、航班摆渡车辆调度问题、选址路径规划问题、港口调度、港口岸桥调度、停机位分配、机场航班调度、泄漏源定位
🌈 机器学习和深度学习时序、回归、分类、聚类和降维
2.1 bp时序、回归预测和分类
2.2 ENS声神经网络时序、回归预测和分类
2.3 SVM/CNN-SVM/LSSVM/RVM支持向量机系列时序、回归预测和分类
2.4 CNN|TCN|GCN卷积神经网络系列时序、回归预测和分类
2.5 ELM/KELM/RELM/DELM极限学习机系列时序、回归预测和分类
2.6 GRU/Bi-GRU/CNN-GRU/CNN-BiGRU门控神经网络时序、回归预测和分类
2.7 ELMAN递归神经网络时序、回归\预测和分类
2.8 LSTM/BiLSTM/CNN-LSTM/CNN-BiLSTM/长短记忆神经网络系列时序、回归预测和分类
2.9 RBF径向基神经网络时序、回归预测和分类
2.10 DBN深度置信网络时序、回归预测和分类
2.11 FNN模糊神经网络时序、回归预测
2.12 RF随机森林时序、回归预测和分类
2.13 BLS宽度学习时序、回归预测和分类
2.14 PNN脉冲神经网络分类
2.15 模糊小波神经网络预测和分类
2.16 时序、回归预测和分类
2.17 时序、回归预测预测和分类
2.18 XGBOOST集成学习时序、回归预测预测和分类
2.19 Transform各类组合时序、回归预测预测和分类
方向涵盖风电预测、光伏预测、电池寿命预测、辐射源识别、交通流预测、负荷预测、股价预测、PM2.5浓度预测、电池健康状态预测、用电量预测、水体光学参数反演、NLOS信号识别、地铁停车精准预测、变压器故障诊断
🌈图像处理方面
图像识别、图像分割、图像检测、图像隐藏、图像配准、图像拼接、图像融合、图像增强、图像压缩感知
🌈 路径规划方面
旅行商问题(TSP)、车辆路径问题(VRP、MVRP、CVRP、VRPTW等)、无人机三维路径规划、无人机协同、无人机编队、机器人路径规划、栅格地图路径规划、多式联运运输问题、 充电车辆路径规划(EVRP)、 双层车辆路径规划(2E-VRP)、 油电混合车辆路径规划、 船舶航迹规划、 全路径规划规划、 仓储巡逻
🌈 无人机应用方面
无人机路径规划、无人机控制、无人机编队、无人机协同、无人机任务分配、无人机安全通信轨迹在线优化、车辆协同无人机路径规划
🌈 通信方面
传感器部署优化、通信协议优化、路由优化、目标定位优化、Dv-Hop定位优化、Leach协议优化、WSN覆盖优化、组播优化、RSSI定位优化、水声通信、通信上传下载分配
🌈 信号处理方面
信号识别、信号加密、信号去噪、信号增强、雷达信号处理、信号水印嵌入提取、肌电信号、脑电信号、信号配时优化、心电信号、DOA估计、编码译码、变分模态分解、管道泄漏、滤波器、数字信号处理+传输+分析+去噪、数字信号调制、误码率、信号估计、DTMF、信号检测
🌈电力系统方面
微电网优化、无功优化、配电网重构、储能配置、有序充电、MPPT优化、家庭用电
🌈 元胞自动机方面
交通流 人群疏散 病毒扩散 晶体生长 金属腐蚀
🌈 雷达方面
卡尔曼滤波跟踪、航迹关联、航迹融合、SOC估计、阵列优化、NLOS识别
🌈 车间调度
零等待流水车间调度问题NWFSP 、 置换流水车间调度问题PFSP、 混合流水车间调度问题HFSP 、零空闲流水车间调度问题NIFSP、分布式置换流水车间调度问题 DPFSP、阻塞流水车间调度问题BFSP
👇
1万+

被折叠的 条评论
为什么被折叠?



