脑部器官分割(Niftynet)
主要介绍niftynet平台下关于脑部160种器官的分割模型:highres3dnet_brain_parcellation
该网络从大脑MR图像中分解出160种类型的结构(包括155种神经解剖结构)
-
首先需要通过niftynet平台下载该zoo:
net_download highres3dnet_brain_parcellation_model_zoo
但是下载的过程中可能会遇到错误,导致无法下载到模型文件,所以这里推荐第二种下载方式,直接通过github下载到数据,权重,配置文件,然后解压后放到niftynet的指定目录之下:


- 执行模型预测:
net_segment inference -c ~/niftynet/extensions/highres3dnet_brain_parcellation/highres3dnet_config_eval.ini
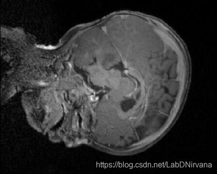
- 原始数据图像:

- 预测掩膜图

问题:
- 仔细找过原始论文及github作者也没说明究竟这个160种标注信息究竟是什么,如何进行对应;
- 这个使用的影像图像为T1 MR图,但是在真实应用T1图时不知是因为影像拍摄角度跟侧重点不同原因等导致的,真实应用模型预测时效果特别差;
-
实际使用
-
原始图:

- 预测图:

这都是些啥子东西哦~~~~~~~~~~~
39

被折叠的 条评论
为什么被折叠?



