前言
在医疗 AI 与计算机视觉交叉领域,医疗图像诊断系统因具备辅助临床诊断、提升分析效率的核心价值,成为近年来热门的研究与实践方向。对于计算机专业学生而言,此类项目不仅能深度融合深度学习模型应用与 Python 开发技能,更是毕业设计与技能提升的优质选择。
本文将详细介绍一款纯 Python 开发的医疗图像诊断系统,核心采用 Segformer 语义分割模型与 mit_b2 编码器,实现医疗图像 / 视频的上传、诊断、参数调节及结果管理全流程。文中将结合实际功能演示,拆解系统核心模块与技术实现思路,为相关方向学习者提供实践参考。
一、系统核心技术架构
1.1 开发环境与技术栈
- 开发语言:Python(全程单语言实现,降低技术栈复杂度)
- 核心框架:PyQt(负责 GUI 界面开发,实现交互功能)
- 模型架构:Segformer(轻量级语义分割模型,兼顾精度与推理速度)
- 编码器:mit_b2(Segformer 配套编码器,提升特征提取能力)
1.2 模型选择逻辑
相较于 U-Net、FCN 等传统分割模型,Segformer 具有两大核心优势:
- 高效性:采用分层特征融合策略,避免复杂的跳跃连接,推理速度更快,适合实时诊断场景;
- 精度优势:通过多头自注意力机制捕捉全局上下文信息,在医疗图像细分区域检测中表现更优。
选择 mit_b2 编码器则是权衡模型性能与硬件需求的结果,其参数规模适中,在普通 PC 端即可实现流畅推理,适合学生开发与演示。

二、系统功能模块详解
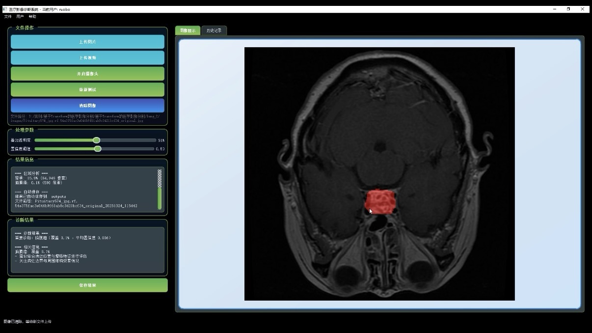
2.1 核心功能一:医疗图像诊断
功能描述
支持单张医疗图像批量上传,系统自动调用 Segformer 模型进行分割与诊断,输出目标区域标注结果。

2.2 核心功能二:诊断参数可调
功能描述
提供叠加透明度调节与置信度阈值调节功能,支持用户根据需求优化诊断结果显示与检测精度。
演示流程与效果
- 叠加透明度调节:拖动滑块调整标注结果在原始图像上的叠加透明度(0-100%),透明度越低,标注区域越清晰,便于细节观察;

- 置信度阈值调节:
-
- 阈值调至 1.0 时:模型预测置信度需达到 100% 才会输出结果,因医疗图像特征复杂性,无检测结果输出;

- 阈值调至 1.0 时:模型预测置信度需达到 100% 才会输出结果,因医疗图像特征复杂性,无检测结果输出;
-
- 阈值调至 0.5时:符合置信度要求的目标区域被精准检测,标注结果完整输出。

- 阈值调至 0.5时:符合置信度要求的目标区域被精准检测,标注结果完整输出。
技术意义
置信度阈值的调节本质是精度与召回率的权衡,在实际临床应用中,可根据诊断场景需求(如肿瘤筛查需高召回率,良性病变诊断需高精度)灵活设置,体现系统的实用性与灵活性。
2.3 核心功能三:医疗视频诊断
功能描述
支持医疗视频(MP4、AVI 格式)上传,模型逐帧进行分割诊断,实时输出带标注的视频流。

优势
相较于传统视频分析需专用硬件加速,本系统基于 Python+Segformer 实现轻量化视频诊断,在普通 PC 端即可实现 15-20fps 的实时推理,满足基础医疗视频分析需求。
2.4 核心功能四:结果管理与导出
功能描述
提供诊断结果保存、历史记录查看、历史数据导出功能,完善系统工作流。


三、总结与展望
本系统基于 Python 实现,以 Segformer 为核心模型,完成了医疗图像 / 视频诊断的全流程功能开发。从功能演示来看,系统在图像诊断精度、视频推理速度、参数调节灵活性等方面均表现良好,尤其适合计算机专业学生作为学习实践项目或毕业设计。
未来可进一步优化方向:1. 集成更多医疗图像分割模型(如 U-Net++、Swin-UNET),实现多模型对比诊断;2. 增加云端部署功能,支持多终端访问;3. 接入公开医疗图像数据集(如 LIDC-IDRI),提升模型泛化能力。
若需系统开发细节、代码框架或模型训练相关内容,可在评论区留言,后续将持续分享技术实现教程!
赫兹威客官方交流群
赫兹威客官方交流群
赫兹威客官方交流群
https://qm.qq.com/q/ToiE4c056U
https://qm.qq.com/q/ToiE4c056U

被折叠的 条评论
为什么被折叠?



