这些日子北京的天气不是热的要命

就是阴雨连绵

小编为了防晒和防雨好几套衣服换来换去,颇有种手忙脚乱的感觉
然而就在前几天,小编日常上网冲浪的时候刷到了一个话题:#高温超42度晒黑元凶竟是热#,一些媒体引用专家的言论,称“高温超过42°C会刺激皮肤中的酪氨酸酶活性提高115.2%,还会使黑色素细胞体积增大、功能活跃。”
小编低头看了看自己辛辛苦苦防晒还是有了色差的胳膊……难不成是热出来的?

那今天,就让小编跟大家一起探讨一下,到底是热黑还是晒黑效果更明显吧。

我们是怎么被晒黑的?
我们的皮肤每天都会接触大量的光,其中最具有生物学相关性,也最常见的是来自太阳和一些人造光源的紫外光(200~400nm)。

图1 太阳光谱和温度接近的黑体辐射谱,可见光只是太阳光谱的很小一部分
为了方便讨论,科学家将紫外线(UV)粗略区分为紫外线A、B、C三类(UVA:320~400nm;UVB:280~320nm;UVC:200~280nm)。臭氧层对UVC有很强的吸收作用,因此UVC几乎不能到达地表,一般我们在天气预报里看到的“紫外线强度”指的就是UVA和UVB的强度。

图2 不同波长的光主要作用的皮肤部位
UVA主要作用于真皮层深部,但光子能量较低,对DNA损伤有限。UVA引发皮肤变黑的主要途径是促使黑色素细胞释放黑色素小体,从而导致即刻晒黑。这种晒黑一般会在几天内消退。
UVB的光子能量较高,相较于UVA更容易引发细胞中的DNA损伤,这些损伤包括相邻核苷酸组成二聚体,多聚体等,统称为DNA光合产物。最常见的光合产物是环丁烷嘧啶二聚体和6,4 嘧啶- 嘧啶酮光合产物。常见的环丁烷嘧啶二聚体突变是紫外线伤害的特异性后果。光合产物可引起DNA 复制减少、突变,甚至可能致癌。
皮肤发红、刺痛、蜕皮等较严重的晒伤一般认为主要由UVB引起。

图3.不同波长紫外线对于皮肤的影响
皮肤细胞可以通过黑色素来吸收紫外线。强紫外线照射后,皮肤合成色素增加,可反馈增加光保护。此外,防晒霜中多种有机和无机的成分都能帮助中和紫外线对皮肤的作用,主要的保护机制是吸收、反射和物理遮盖。
综上所述,我们在谈论被晒黑时,其实是在谈论紫外线对皮肤的损伤以及皮肤本身的自我保护机制。这种自我反馈机制起效很快,正如许多人体验过的一样,夏天去海边等阳光强烈的地方晒一星期,整个人可能就直接黑了一个色号~
同样,防晒也是最直接有效的美白方式之一。

热真的会让人变黑吗?
要讨论这个问题,我们需要从黑色素本身的产生过程着手分析。
在人体中,黑色素属于苯丙氨酸代谢路径中某一条路径的产物。控制这条代谢路径效率的主要步骤是从酪氨酸到多巴这一步反应,也就是说酪氨酸酶的活性直接影响黑色素的最终产量。

图4. 苯丙氨酸的代谢途径,其中黑色素的代谢路径标红
我们小学二年级就学过,生物体中各种各样的酶承担了生化反应催化剂的角色。这些酶由于结构会随着温度变化发生改变,活性也会受到影响。作为人体自身产生的酶,酪氨酸酶一般被认为在体温附近(37℃左右)活性最高,在例如42℃的高温环境中由于酶的构象改变,其活性会降低。
从这个角度出发,我们似乎可以很简单地得出结论——高温会抑制酪氨酸酶的活性,因此高温反而会让人变白。
事实上,小编在一开始看到那条热搜的时候,小脑瓜飞快地转动了一下就得出了这个结论,于是信心满满地准备写一篇文章反驳一下“无良媒体的造谣行径”。

但是,作为物理学入门学生的小编发动了一下科研必备技能:查文献

于是小编惊讶地发现,真的已经有论文研究过“高温是否会促进黑色素生成”这个问题,而且正如专家所说,答案是肯定的!

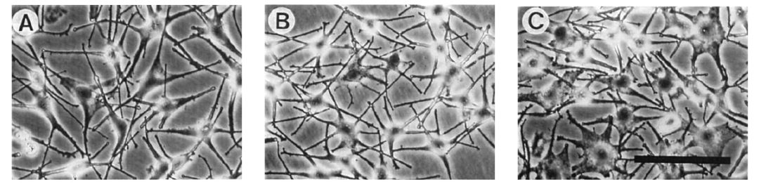
在1998年发表在The Society for Investigative Dermatology上的一篇论文[1]中,研究者对他们培养的单层上皮细胞/黑色素细胞进行了连续几天每天在42℃环境下暴露1小时的热处理,并将结果与经过一定剂量UVB照射的样品,以及未经处理的样品进行了对比。
首先,经过热处理之后,黑色素细胞的体积明显增大(如下图C所示),而只经过UVB照射的细胞(下图B)则没有明显体积变化。

图5. (A)未经过处理、(B)UVB暴露处理、(C)热处理后黑色素细胞的显微照片,可见热处理后细胞体积明显增大
一般来说,黑色素细胞体积的增大意味着细胞内部的细胞器(如线粒体、内质网、高尔基体等)数量增多,这使得黑色素合成能力直接上升;此外,黑色素细胞的树突数量和长度增加也可以提高黑色素向角质细胞的转运效率,让皮肤更快变黑。

图6. 单层培养黑色素细胞的酪氨酸酶(多巴氧化酶)活性测量结果
此外,研究者发现,经过UVB和高温处理后,酪氨酸酶活性轻微上升了2~5%,如图6所示,高温处理后的酪氨酸酶活性反而更高一些,非常反直觉。
凝胶电泳法显示,42℃热处理后酪氨酸酶活性升至对照组115.2%——但这发生在实验室单层细胞中,实际人体因汗液蒸发降温,表皮很难持续达42℃。
在2023年发表在iScience上的另一篇论文[2]中,中南大学的研究团队在研究长期受热对皮肤组织影响时,对人体皮肤组织进行了41℃处理,发现基底层黑色素颗粒显著增加。这与一种被称为热激红斑或火激红斑的皮肤病症状类似。

图7. 经过Masson-Fontana染色的正常皮肤与患有火激红斑(EAI)的皮肤切片,这种染色会将黑色素颗粒染成深色,可见EAI皮肤中黑色素含量明显偏高。
此外,这篇文献中主要研究了高温诱导黑色素合成的分子生物学机制,不过这就完全超出了小编的知识范围了,有兴趣的读者可以自行查看文献[2]来学习相关内容~
基于这两篇文献,我们来做一个小小的总结:除了紫外线照射,高温也会刺激皮肤主动合成黑色素,所以说怕晒黑的朋友们在夏天除了需要防晒,防止皮肤长时间处于过高温度(例如40℃以上)也是必要的~

图8.小红书等社交平台经常见到这类捂得严严实实的防晒攻略,但是防晒的同时也请记得注意不要太热哦

越热越黑vs越冷越黑
聊完了高温和紫外线导致黑色素合成的故事,小编想到了还有一些动物在不同的温度下颜色深浅不一样。相信有和小编一样喜欢云吸猫(或者真的养了猫)的读者们已经想到了,没错,小编想的就是暹罗猫!

图9. 同一只暹罗猫在夏天和冬天的照片,猜猜哪张是夏天拍的?
回顾我们上面介绍过的,黑色素的合成需要经过酪氨酸酶的调控。在大部分生物体中,酪氨酸酶的活性对温度并没有太过敏感,环境温度的改变不至于使得体表颜色发生剧烈变化。
然而,暹罗猫体内的酪氨酸酶则相当不同。暹罗猫,喜马拉雅兔等动物身上编码酪氨酸酶的TYR基因发生了功能性突变,这种突变使得它们的酪氨酸酶对于温度相当敏感。当温度升高到35℃以上时,这些动物体内的酪氨酸酶活性大幅降低,此时它们的体毛呈现出淡淡的棕黄色甚至接近白色;当温度低于35℃时,酪氨酸酶的活性恢复正常,此时它们的体毛就会呈现出深棕色甚至黑色。

图10. 一只喜马拉雅兔,其毛色和分布与暹罗猫很像
结合这一特征,我们就可以了解到这些动物身上的“重点色”的生物学起源:耳朵、四肢、尾巴、面部都属于身体末梢,体温相对较低,这些部位的酪氨酸酶活性更高,因此长出的毛发颜色更深,而身体的主要部分体温更高,酪氨酸酶的活性就更低,毛色因此更浅。
其实这种基因突变并不局限于这些小动物,1991年发表在Journal of Clinical Investigation上的一篇文献就报道了一例具有类似基因突变的患者,他身上的酪氨酸酶在37℃以上就会失活,因此他身上的毛发也出现了颜色不均匀分布的现象。

图11. 基因突变者的毛发样本,可以看到颜色并不均匀
当我们忙着和紫外线斗智斗勇时,恐怕没想到热也会在防晒衣下悄悄捣乱。高温中变黑的皮肤,与空调房里揣着爪子的暹罗猫,看似风马牛不相及,实则共享着同一把温度钥匙。
小编现在在想,下次出门前,除了涂防晒霜,或许也该对天气预报里的高温红色预警多看一眼。
参考资料:
[1] Nakazawa K , Sahuc F , Damour O ,et al.Regulatory effects of heat on normal human melanocyte growth and melanogenesis: comparative study with UVB.[J].Journal of Investigative Dermatology, 1998, 110(6):972-977.DOI:10.1046/j.1523-1747.1998.00204.x.
[2] Zhang L , Zeng H , Jiang L ,et al.Heat promotes melanogenesis by increasing the paracrine effects in keratinocytes via the TRPV3/Ca2+/Hh signaling pathway[J].iScience, 2023, 26(5).DOI:10.1016/j.isci.2023.106749.
[3] King R A , White J G , Spritz R A .Temperature-sensitive tyrosinase associated with peripheral pigmentation in oculocutaneous albinism.[J].Journal of Clinical Investigation, 1991, 87(3):1046-53.DOI:10.1172/JCI115064.
[4] 周春燕, 药立波, 高国全, 等. 生物化学与分子生物学[M]. 10版. 北京: 人民卫生出版社, 2023.
[5] 奈特 (NETTER F H), 安德森 (ANDERSON B E). 奈特绘图版医学全集——第4卷:皮肤系统[M]. 刘跃华, 主译. 2版. 北京: 科学出版社, 2017.
编辑:K.Collider

我们是谁:
MatheMagician,中文“数学魔术师”,原指用数学设计魔术的魔术师和数学家。既取其用数学来变魔术的本义,也取像魔术一样玩数学的意思。文章内容涵盖互联网,计算机,统计,算法,NLP等前沿的数学及应用领域;也包括魔术思想,流程鉴赏等魔术内容;以及结合二者的数学魔术分享,还有一些思辨性的谈天说地的随笔。希望你能和我一起,既能感性思考又保持理性思维,享受人生乐趣。欢迎扫码关注和在文末或公众号留言与我交流!



扫描二维码
关注更多精彩
明明有bug的扑克魔术怎么还能骗到人?(五) ——大效果前,小瑕疵后
2024阿里巴巴全球数学竞赛决赛中的深度学习背景题解析(二)——应用与计算数学部分第6题
完美洗牌的秘密(二十一)——milk shuffle的应用三(天天四条龙等)

点击阅读原文,往期精彩不错过!
1万+

被折叠的 条评论
为什么被折叠?



