本文由Markdown语法编辑器编辑完成。
1. 背景:
近日在处理一个由西门子CT设备拍摄出来的胸部检查时,遇到了三个序列。三个序列各自有各自的特点,而我需要做的就是,从这个检查中的三个序列中,选择出最适合做肺结节AI预测的序列。
那么,该从哪些角度来考虑呢?
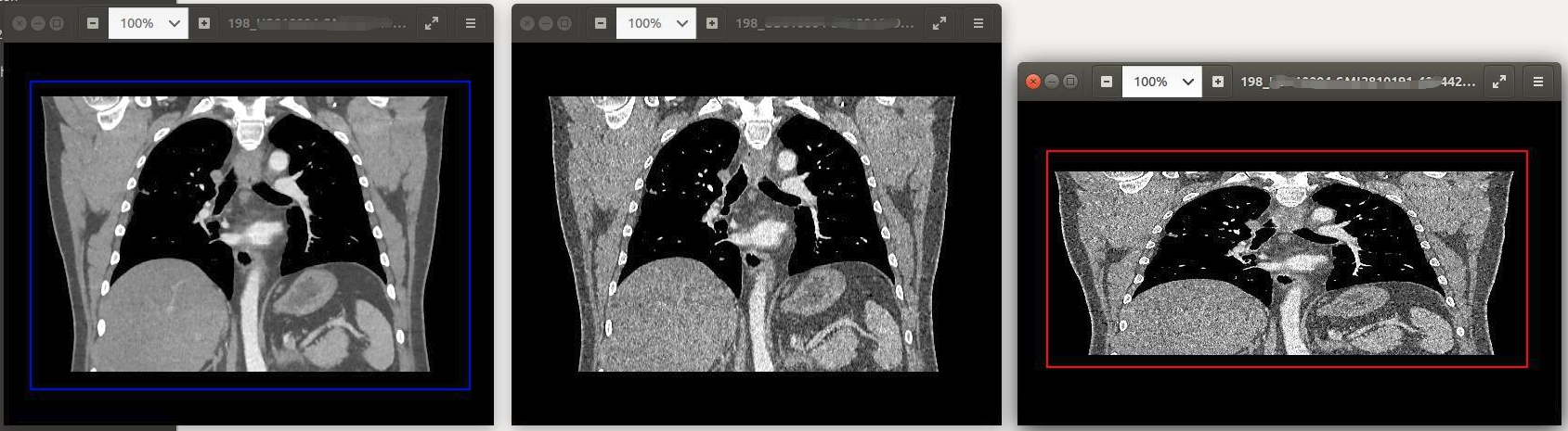
我们先来直观地看一下这三个轴状位的序列,生成的冠状位的缩略图的截图。

这三张缩略图,分别就是由西门子(SIEMENS CT)拍摄的这个检查的三个轴状位的序列生成的缩略图。这三个序列的张数都是198张,但是它们用同一套生成缩略图的代码,却生成出了三张完全不同的缩略图。而这是由它们所携带的一些tag信息和像素信息所决定的。
最终和公司的算法同事讨论,他们认为第一张缩略图代表的序列,更适合做肺结节的检测; 而第二张缩略图,则更适合做骨折等的检测。而第三张,它的缩略图比例都不太对,应该是有点问题的序列,是需要过滤掉的。
2. 影像序列筛选:
这里介绍,如何通过一些tag的指征,来进行序列的筛选,得到更适合结节分析的序列。这里有一个关键的点,就是如何选择更合适的序列?图像是否越清晰越好,如何区分不同序列的图像清晰度。
通过查阅相关资料,决定筛选这三个序列的tag, 主要包括以下几项:
| 序列 | SOPClassUID | ConvolutionKernel | SliceThickness |
|---|---|---|---|
| ser1 | =CTImageStorage | Bf37f\4 | 1.5 |
| ser2 | =CTImageStorage | Br59f\4 | 1.5 |
| ser3 | =SecondaryCaptureImageStorage | Br59f\4 | 1.5 |
2.1 排除非原始拍摄序列
首先第一次过滤的时候,根据SOPClassUID, 前两个序列是: CTImageStorage, 第三个序列是: SecondaryCaptureImageStorage.
在DICOM标准中对于这个tag的描述,可以知道这个序列是否属于原始拍摄的序列。
如果是Secondary, 说明这个序列的图像,可能不是原始拍摄的,而是由其他格式转化而来的。具体的,关于 Secondary Capture Image这个类型的说明,可以参考链接: https://dicom.nema.org/medical/dicom/current/output/html/part03.html#sect_A.8.1 的说明.
A.8 Secondary Capture Image IODs
The Secondary Capture Image IODs specify images that are converted from a non-DICOM format to a modality independent DICOM format.
Examples of types of equipment that create Secondary Capture (SC) Images include:
Video interfaces that convert an analog video signal into a digital image
Digital interfaces that are commonly used to transfer non-DICOM digital images from an imaging device to a laser printer
Film digitizers that convert an analog film image to digital data
Workstations that construct images that are encoded as a screen dump
Scanned documents and other bitmap images including hand-drawings
Synthesized images that are not modality-specific, such as cine-loops of 3D reconstructions
因此,我们首先就把第三个序列给排除掉了。也正因为这个序列,它并不是原始拍摄的序列,因此在生成缩略图的时候,基于simpleITK的算法,对于它的一些跟几何空间有关的参数可能识别有误,才造成了生成的缩略图的比例,和原始拍摄出来的序列,生成的缩略图的比例有较大的区别。
2.2 基于图像清晰度参数
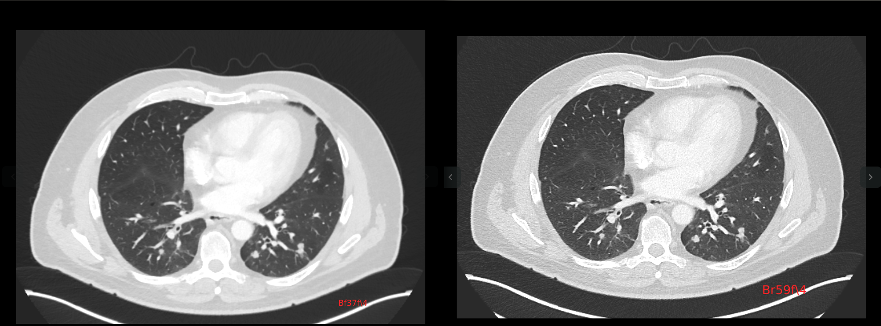
紧接着,我们需要从前两个序列,选择一个序列。从缩略图上面看,我们会认为第一个序列的缩略图,比第二个序列的缩略图,更清楚一些。
第二个序列的缩略图上面,有很多的雪花形状的噪点,就跟小时候看电视的时候,如果没有节目时的雪花状的噪点一样。那么这种噪点是怎么形成的呢?
我们可以通过看它的轴状位的图像,来加以观察和对比。

如果仔细观察这两个序列上面,某一个轴位图上面的差异,可以看出。第二幅图(Br59f\4)的图,它的细节,相比第一幅图(Bf37f\4)的图,更明显。
第一幅图,比较平滑,但是细节不够明显; 第二幅图,就像在第一幅图的基础上,做了一个边缘提取和锐化的操作。就是让它的边缘更加的明显,对比度更加强。
而第一幅图,相当于是在第二幅图的基础上,做了一个高斯滤波,去掉了很多噪声,得到了更加平滑的图像。
而这些区别,从它们dicom的卷积核(Convolution Kernel)上是有体现的。
那么这里就要说明一下,西门子的设备的卷积核的定义方式.
早期的卷积核命名方式:

而新版本的命名方式如下:

因此根据以上的对照,可以看出,本次我们要比较的两个序列,它们的卷积核分别是:
Bf37f\4, Br59f\4.
那么f, 是filtered, r, 是resolution enhanced.
因此,卷积核是Br59f\4的,它对图像做了锐化处理,因此边缘更加地清晰,相应的噪声也就增多了。
因此,它生成的冠状位的缩略图,看上去就是会有很多的雪花状的噪点。
而Bf37f\4, 它是对图像做了平滑处理,因此看上去噪声少了一些,而相应的,血管的边缘也没有那么清晰了,生成的冠状位的缩略图,看上去很顺眼,少了很多的噪点。
那么,为什么需要这两种不同的卷积核呢?查资料后了解到,主要是为了满足医生对于不同部位的阅片需求不同。

而对于我们要进行的肺结节的分割,最好就是用平滑的卷积核,而不是锐化的。
西门子CT影像序列筛选与清晰度区分

1万+

被折叠的 条评论
为什么被折叠?



