✅作者简介:热爱科研的Matlab仿真开发者,擅长数据处理、建模仿真、程序设计、完整代码获取、论文复现及科研仿真。
🍎 往期回顾关注个人主页:Matlab科研工作室
🍊个人信条:格物致知,完整Matlab代码及仿真咨询内容私信。
🔥 内容介绍
图像分割是计算机视觉领域的核心任务之一,旨在将数字图像划分为多个有意义的区域。主动轮廓模型作为一种强大的图像分割方法,通过能量最小化实现对目标边界的捕捉。本文深入探讨了一种基于区域的主动轮廓模型,该模型通过局部高斯分布拟合来驱动能量函数,并采用变分水平集形式进行实现。这种方法有效结合了图像的局部统计信息,提高了分割的准确性和鲁棒性,尤其适用于灰度不均匀的图像分割任务。
关键词: 图像分割;主动轮廓模型;水平集方法;局部高斯分布;能量最小化
1. 引言
图像分割是将图像分解为具有相似特征的区域或对象的过程,是图像分析、模式识别和计算机视觉中的基础环节。其应用范围广泛,涵盖医学图像分析、遥感图像处理、机器视觉等多个领域。传统的图像分割方法,如阈值法、区域生长法和边缘检测法,在处理复杂图像时往往面临挑战,例如对噪声敏感、无法有效处理灰度不均匀区域等问题。
主动轮廓模型(Active Contour Models, ACM),又称“蛇(Snakes)”模型,自Kass等人于1988年提出以来,便成为图像分割领域的研究热点。该模型通过在图像中演化一个初始曲线,使其逐渐逼近目标边界,最终实现图像分割。主动轮廓模型可以分为两类:基于边缘的模型(Edge-based models)和基于区域的模型(Region-based models)。基于边缘的模型主要利用图像的梯度信息来吸引曲线向目标边缘移动,而基于区域的模型则利用区域内部的统计信息(如灰度均值、方差等)来驱动曲线演化。
然而,传统的基于区域的主动轮廓模型在处理灰度不均匀的图像时,由于全局统计信息的局限性,可能会导致欠分割或过分割。为了克服这一问题,本文将探讨一种利用局部图像信息来驱动曲线演化的主动轮廓模型——基于局部高斯分布拟合能量驱动的活动轮廓模型,并采用变分水平集方法对其进行实现。
2. 基于局部高斯分布拟合的能量函数
传统的主动轮廓模型通常假设图像区域的灰度分布是均匀的,或者通过全局统计信息来构建能量函数。然而,在实际应用中,许多图像的灰度分布并不均匀,例如受到光照变化、阴影、伪影等因素的影响。为了更准确地描述图像区域的特征,引入局部图像信息是至关重要的。
局部高斯分布拟合方法旨在通过在曲线的每个局部区域内拟合高斯分布来表征该区域的灰度特征。具体而言,对于图像中的每个像素点,我们考虑其在一个局部窗口内的灰度值分布。如果该像素位于目标区域内部,其局部窗口内的灰度值将倾向于服从一个高斯分布;如果位于背景区域,则服从另一个高斯分布。因此,可以通过最小化曲线内外区域的局部高斯分布拟合误差来驱动曲线演化。

3. 变分水平集形式的实现
水平集方法(Level Set Method)是由Osher和Sethian于1988年提出的一种强大的数值方法,用于跟踪和模拟曲线、曲面等界面的演化。与传统的主动轮廓模型直接操作曲线参数不同,水平集方法将演化的曲线表示为一个高维函数的零水平集,从而能够自然地处理曲线拓扑结构的变化(如断裂、合并等)。

具体的演化方程通常通过变分法推导得到,即对能量函数进行泛函求导,得到欧拉-拉格朗日(Euler-Lagrange)方程,该方程描述了使能量函数最小化的曲线演化路径。在实现上,通常采用有限差分法或有限元法对偏微分方程进行离散化,并迭代更新水平集函数,直到收敛。
4. 模型优势与应用
基于局部高斯分布拟合能量驱动的活动轮廓模型,结合变分水平集方法,具有以下显著优势:
- 处理灰度不均匀图像:
通过局部高斯分布拟合,模型能够有效适应图像中局部光照变化和灰度不均匀区域,提高分割的准确性和鲁棒性。
- 拓扑结构自适应:
水平集方法能够自动处理曲线的断裂和合并,无需额外的拓扑变化处理机制,简化了算法设计。
- 对初始位置不敏感:
相较于一些依赖初始曲线精确位置的方法,该模型对初始轮廓的放置位置具有一定的鲁棒性,更容易收敛到正确的边界。
- 鲁棒性强:
局部统计信息的利用使得模型对图像噪声具有更好的抵抗能力。
这种方法在许多实际应用中展现出强大的潜力,例如:
- 医学图像分割:
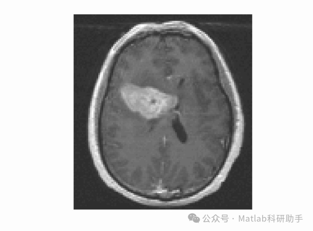
在CT、MRI等医学影像中,器官和病灶区域的灰度分布往往不均匀,该模型能够更准确地分割出目标区域,辅助医生进行诊断和治疗。
- 遥感图像分析:
卫星图像中地物特征复杂,光照条件多变,该模型可用于建筑物、道路、农田等目标的提取和识别。
- 工业缺陷检测:
在产品检测中,缺陷区域的灰度与背景可能存在细微差异或不均匀,该模型有助于准确地检测出缺陷。
5. 结论
本文深入探讨了图像分割中一种基于局部高斯分布拟合能量驱动的活动轮廓模型,并详细阐述了其在变分水平集框架下的实现。该方法通过充分利用图像的局部统计信息,有效克服了传统方法在处理灰度不均匀图像时的局限性,提高了图像分割的准确性和鲁棒性。变分水平集方法的引入,进一步增强了模型处理复杂拓扑结构变化的能力。
尽管该方法已经取得了显著进展,但仍存在一些值得进一步研究的方向,例如如何更有效地选择局部窗口大小、如何处理多区域分割问题以及如何进一步提高算法的计算效率等。随着深度学习等新技术的不断发展,将传统主动轮廓模型与深度学习方法相结合,有望在未来图像分割领域取得更大的突破。
⛳️ 运行结果





🔗 参考文献
[1] 于晓升.基于偏微分方程的图像处理技术研究[D].东北大学,2014.
[2] 王艳.图像分割的偏微分方程研究[D].重庆大学[2025-09-10].DOI:CNKI:CDMD:1.1012.047286.
[3] 戚世乐,王美清.结合全局和局部信息的"两阶段"活动轮廓模型[J].中国图象图形学报, 2014, 19(3):7.DOI:10.11834/jig.20140212.
📣 部分代码
🎈 部分理论引用网络文献,若有侵权联系博主删除
👇 关注我领取海量matlab电子书和数学建模资料
🏆团队擅长辅导定制多种科研领域MATLAB仿真,助力科研梦:
🌈 各类智能优化算法改进及应用
生产调度、经济调度、装配线调度、充电优化、车间调度、发车优化、水库调度、三维装箱、物流选址、货位优化、公交排班优化、充电桩布局优化、车间布局优化、集装箱船配载优化、水泵组合优化、解医疗资源分配优化、设施布局优化、可视域基站和无人机选址优化、背包问题、 风电场布局、时隙分配优化、 最佳分布式发电单元分配、多阶段管道维修、 工厂-中心-需求点三级选址问题、 应急生活物质配送中心选址、 基站选址、 道路灯柱布置、 枢纽节点部署、 输电线路台风监测装置、 集装箱调度、 机组优化、 投资优化组合、云服务器组合优化、 天线线性阵列分布优化、CVRP问题、VRPPD问题、多中心VRP问题、多层网络的VRP问题、多中心多车型的VRP问题、 动态VRP问题、双层车辆路径规划(2E-VRP)、充电车辆路径规划(EVRP)、油电混合车辆路径规划、混合流水车间问题、 订单拆分调度问题、 公交车的调度排班优化问题、航班摆渡车辆调度问题、选址路径规划问题、港口调度、港口岸桥调度、停机位分配、机场航班调度、泄漏源定位
🌈 机器学习和深度学习时序、回归、分类、聚类和降维
2.1 bp时序、回归预测和分类
2.2 ENS声神经网络时序、回归预测和分类
2.3 SVM/CNN-SVM/LSSVM/RVM支持向量机系列时序、回归预测和分类
2.4 CNN|TCN|GCN卷积神经网络系列时序、回归预测和分类
2.5 ELM/KELM/RELM/DELM极限学习机系列时序、回归预测和分类
2.6 GRU/Bi-GRU/CNN-GRU/CNN-BiGRU门控神经网络时序、回归预测和分类
2.7 ELMAN递归神经网络时序、回归\预测和分类
2.8 LSTM/BiLSTM/CNN-LSTM/CNN-BiLSTM/长短记忆神经网络系列时序、回归预测和分类
2.9 RBF径向基神经网络时序、回归预测和分类
2.10 DBN深度置信网络时序、回归预测和分类
2.11 FNN模糊神经网络时序、回归预测
2.12 RF随机森林时序、回归预测和分类
2.13 BLS宽度学习时序、回归预测和分类
2.14 PNN脉冲神经网络分类
2.15 模糊小波神经网络预测和分类
2.16 时序、回归预测和分类
2.17 时序、回归预测预测和分类
2.18 XGBOOST集成学习时序、回归预测预测和分类
2.19 Transform各类组合时序、回归预测预测和分类
方向涵盖风电预测、光伏预测、电池寿命预测、辐射源识别、交通流预测、负荷预测、股价预测、PM2.5浓度预测、电池健康状态预测、用电量预测、水体光学参数反演、NLOS信号识别、地铁停车精准预测、变压器故障诊断
🌈图像处理方面
图像识别、图像分割、图像检测、图像隐藏、图像配准、图像拼接、图像融合、图像增强、图像压缩感知
🌈 路径规划方面
旅行商问题(TSP)、车辆路径问题(VRP、MVRP、CVRP、VRPTW等)、无人机三维路径规划、无人机协同、无人机编队、机器人路径规划、栅格地图路径规划、多式联运运输问题、 充电车辆路径规划(EVRP)、 双层车辆路径规划(2E-VRP)、 油电混合车辆路径规划、 船舶航迹规划、 全路径规划规划、 仓储巡逻
🌈 无人机应用方面
无人机路径规划、无人机控制、无人机编队、无人机协同、无人机任务分配、无人机安全通信轨迹在线优化、车辆协同无人机路径规划
🌈 通信方面
传感器部署优化、通信协议优化、路由优化、目标定位优化、Dv-Hop定位优化、Leach协议优化、WSN覆盖优化、组播优化、RSSI定位优化、水声通信、通信上传下载分配
🌈 信号处理方面
信号识别、信号加密、信号去噪、信号增强、雷达信号处理、信号水印嵌入提取、肌电信号、脑电信号、信号配时优化、心电信号、DOA估计、编码译码、变分模态分解、管道泄漏、滤波器、数字信号处理+传输+分析+去噪、数字信号调制、误码率、信号估计、DTMF、信号检测
🌈电力系统方面
微电网优化、无功优化、配电网重构、储能配置、有序充电、MPPT优化、家庭用电
🌈 元胞自动机方面
交通流 人群疏散 病毒扩散 晶体生长 金属腐蚀
🌈 雷达方面
卡尔曼滤波跟踪、航迹关联、航迹融合、SOC估计、阵列优化、NLOS识别
🌈 车间调度
零等待流水车间调度问题NWFSP 、 置换流水车间调度问题PFSP、 混合流水车间调度问题HFSP 、零空闲流水车间调度问题NIFSP、分布式置换流水车间调度问题 DPFSP、阻塞流水车间调度问题BFSP
👇
1万+

被折叠的 条评论
为什么被折叠?



