✅作者简介:热爱科研的Matlab仿真开发者,擅长数据处理、建模仿真、程序设计、完整代码获取、论文复现及科研仿真。
🍎 往期回顾关注个人主页:Matlab科研工作室
🍊个人信条:格物致知,完整Matlab代码及仿真咨询内容私信。
🔥 内容介绍
一、研究背景与意义
在图像处理与计算机视觉领域,图像分割作为核心技术之一,是目标检测、图像识别、医学影像分析等后续任务的关键前提。其核心目标是依据图像的灰度、纹理、颜色等特征,将图像划分为具有特定语义意义的互不重叠区域。随着应用场景的不断拓展,图像数据呈现出灰度不均匀、噪声干扰强、目标边界模糊等复杂特性,传统分割算法如阈值分割、边缘检测等已难以满足高精度分割需求。
主动轮廓模型(Active Contour Model,ACM)作为一种自适应分割方法,通过构建能量函数引导曲线逐步收敛到目标边界,有效克服了传统算法对噪声敏感、依赖人工干预的缺陷,在医学影像(如肿瘤分割、器官提取)、遥感图像(如地物分类)等领域展现出显著优势。主动轮廓模型主要分为基于边缘和基于区域两类:基于边缘的模型(如 Snake 模型)依赖图像梯度信息,对弱边界和灰度不均匀图像分割效果较差;基于区域的模型(如 CV 模型)利用区域灰度统计信息,对灰度不均匀图像的适应性有所提升,但多采用全局灰度分布假设,难以准确描述图像局部灰度变化,在处理复杂纹理或强噪声图像时易出现轮廓泄漏、分割不准确等问题。
针对上述不足,本研究提出一种由局部高斯分布拟合能量驱动的变分水平集活动轮廓模型。该模型通过引入局部高斯分布拟合(Local Gaussian Distribution Fitting,LGDF)能量,充分利用图像局部区域的灰度统计特性,更精准地刻画图像局部灰度不均匀性;同时采用变分水平集方法表示活动轮廓,避免传统参数化模型拓扑结构固定的局限,实现对复杂形状目标的灵活分割。此研究不仅能够提升复杂图像的分割精度与鲁棒性,还能为医学诊断、工业质检等实际应用提供更可靠的技术支撑,具有重要的理论创新价值与实际应用前景。
二、相关理论基础






四、结论与展望
(一)研究结论
本研究提出的由局部高斯分布拟合能量驱动的变分水平集活动轮廓模型,通过充分利用图像局部灰度统计特性,有效解决了传统基于区域模型对灰度不均匀、复杂纹理图像分割效果差的问题,主要结论如下:
- 模型通过构建局部高斯分布拟合能量,联合利用局部灰度均值与方差信息,比仅考虑局部均值的 LBF 模型和 LGDF(简化版)更精准地刻画图像局部灰度变化,显著提升了灰度不均匀图像的分割精度。
- 采用变分水平集方法表示活动轮廓,结合正则化能量保持水平集函数的稳定性,实现了对复杂拓扑结构目标(如多肿瘤、多缺陷)的灵活分割,克服了参数化模型的局限性。
- 实验结果表明,在医学影像、自然图像、工业缺陷图像分割任务中,模型的 DSC、IoU 均优于 CV 模型、LBF 模型和 LGDF(简化版),HD 显著降低,虽运行时间略长,但满足多数实际应用场景的效率需求。
(二)研究展望
尽管模型取得了较好的分割效果,但仍有以下方向可进一步优化:
- 模型加速优化:当前模型的局部高斯分布参数估计需遍历每个像素的局部邻域,计算复杂度较高。未来可采用 GPU 并行计算(如 CUDA 加速)或深度学习方法(如预训练神经网络预测局部高斯参数),降低计算复杂度,提升运行效率,满足实时分割需求(如手术导航中的实时器官分割)。
- 多模态图像分割扩展:现有模型主要针对灰度图像,未来可将模型扩展至多模态图像(如 MRI-PET 融合图像、RGB-D 图像),通过构建多模态数据的局部高斯分布拟合能量(如不同模态的高斯参数加权融合),进一步提升复杂场景下的分割性能。
- 自适应参数选择:模型当前依赖人工设置局部高斯核标准差、正则化权重等参数,未来可设计自适应参数选择策略,通过图像的灰度对比度、纹理复杂度等特征自动调整参数,减少人工干预,提高模型的实用性。
- 结合深度学习的混合模型:深度学习模型(如 U-Net)在图像分割中具有强大的特征提取能力,未来可将本文模型与深度学习结合,通过深度学习预测初始水平集函数或局部高斯分布参数,进一步提升模型的分割精度与收敛速度,适应更复杂的图像分割任务。
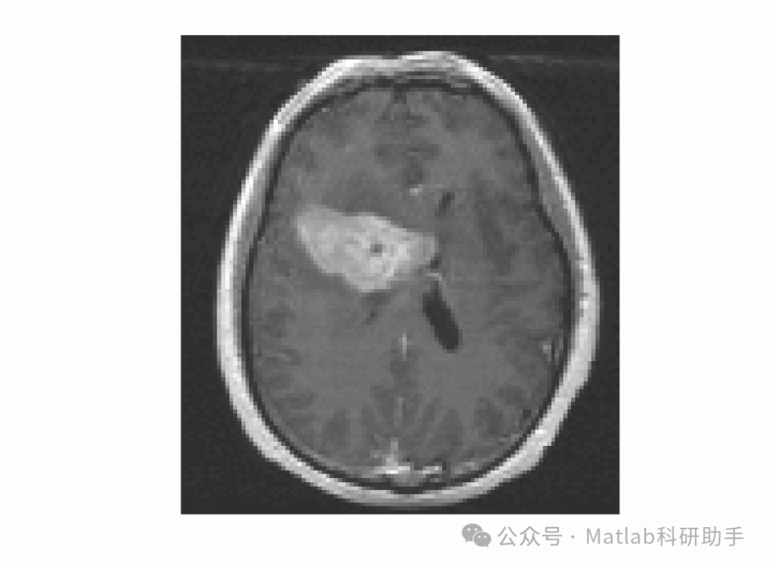
⛳️ 运行结果





🔗 参考文献
[1] IrfanaBibi.基于主动轮廓模型和结构先验信息的图像分割方法研究[D].西安电子科技大学[2025-11-23].
[2] 于晓升.基于偏微分方程的图像处理技术研究[D].东北大学,2014.
[3] 陈玫玫,郭树旭,钱晓华.基于改进的局部二值拟合主动轮廓模型的指静脉图像分割[J].吉林大学学报:工学版, 2011, 41(4):6.DOI:CNKI:SUN:JLGY.0.2011-04-050.
📣 部分代码
🎈 部分理论引用网络文献,若有侵权联系博主删除
👇 关注我领取海量matlab电子书和数学建模资料
🏆团队擅长辅导定制多种科研领域MATLAB仿真,助力科研梦:
🌈 各类智能优化算法改进及应用
生产调度、经济调度、装配线调度、充电优化、车间调度、发车优化、水库调度、三维装箱、物流选址、货位优化、公交排班优化、充电桩布局优化、车间布局优化、集装箱船配载优化、水泵组合优化、解医疗资源分配优化、设施布局优化、可视域基站和无人机选址优化、背包问题、 风电场布局、时隙分配优化、 最佳分布式发电单元分配、多阶段管道维修、 工厂-中心-需求点三级选址问题、 应急生活物质配送中心选址、 基站选址、 道路灯柱布置、 枢纽节点部署、 输电线路台风监测装置、 集装箱调度、 机组优化、 投资优化组合、云服务器组合优化、 天线线性阵列分布优化、CVRP问题、VRPPD问题、多中心VRP问题、多层网络的VRP问题、多中心多车型的VRP问题、 动态VRP问题、双层车辆路径规划(2E-VRP)、充电车辆路径规划(EVRP)、油电混合车辆路径规划、混合流水车间问题、 订单拆分调度问题、 公交车的调度排班优化问题、航班摆渡车辆调度问题、选址路径规划问题、港口调度、港口岸桥调度、停机位分配、机场航班调度、泄漏源定位
🌈 机器学习和深度学习时序、回归、分类、聚类和降维
2.1 bp时序、回归预测和分类
2.2 ENS声神经网络时序、回归预测和分类
2.3 SVM/CNN-SVM/LSSVM/RVM支持向量机系列时序、回归预测和分类
2.4 CNN|TCN|GCN卷积神经网络系列时序、回归预测和分类
2.5 ELM/KELM/RELM/DELM极限学习机系列时序、回归预测和分类
2.6 GRU/Bi-GRU/CNN-GRU/CNN-BiGRU门控神经网络时序、回归预测和分类
2.7 ELMAN递归神经网络时序、回归\预测和分类
2.8 LSTM/BiLSTM/CNN-LSTM/CNN-BiLSTM/长短记忆神经网络系列时序、回归预测和分类
2.9 RBF径向基神经网络时序、回归预测和分类
2.10 DBN深度置信网络时序、回归预测和分类
2.11 FNN模糊神经网络时序、回归预测
2.12 RF随机森林时序、回归预测和分类
2.13 BLS宽度学习时序、回归预测和分类
2.14 PNN脉冲神经网络分类
2.15 模糊小波神经网络预测和分类
2.16 时序、回归预测和分类
2.17 时序、回归预测预测和分类
2.18 XGBOOST集成学习时序、回归预测预测和分类
2.19 Transform各类组合时序、回归预测预测和分类
方向涵盖风电预测、光伏预测、电池寿命预测、辐射源识别、交通流预测、负荷预测、股价预测、PM2.5浓度预测、电池健康状态预测、用电量预测、水体光学参数反演、NLOS信号识别、地铁停车精准预测、变压器故障诊断
🌈图像处理方面
图像识别、图像分割、图像检测、图像隐藏、图像配准、图像拼接、图像融合、图像增强、图像压缩感知
🌈 路径规划方面
旅行商问题(TSP)、车辆路径问题(VRP、MVRP、CVRP、VRPTW等)、无人机三维路径规划、无人机协同、无人机编队、机器人路径规划、栅格地图路径规划、多式联运运输问题、 充电车辆路径规划(EVRP)、 双层车辆路径规划(2E-VRP)、 油电混合车辆路径规划、 船舶航迹规划、 全路径规划规划、 仓储巡逻
🌈 无人机应用方面
无人机路径规划、无人机控制、无人机编队、无人机协同、无人机任务分配、无人机安全通信轨迹在线优化、车辆协同无人机路径规划
🌈 通信方面
传感器部署优化、通信协议优化、路由优化、目标定位优化、Dv-Hop定位优化、Leach协议优化、WSN覆盖优化、组播优化、RSSI定位优化、水声通信、通信上传下载分配
🌈 信号处理方面
信号识别、信号加密、信号去噪、信号增强、雷达信号处理、信号水印嵌入提取、肌电信号、脑电信号、信号配时优化、心电信号、DOA估计、编码译码、变分模态分解、管道泄漏、滤波器、数字信号处理+传输+分析+去噪、数字信号调制、误码率、信号估计、DTMF、信号检测
🌈电力系统方面
微电网优化、无功优化、配电网重构、储能配置、有序充电、MPPT优化、家庭用电
🌈 元胞自动机方面
交通流 人群疏散 病毒扩散 晶体生长 金属腐蚀
🌈 雷达方面
卡尔曼滤波跟踪、航迹关联、航迹融合、SOC估计、阵列优化、NLOS识别
🌈 车间调度
零等待流水车间调度问题NWFSP 、 置换流水车间调度问题PFSP、 混合流水车间调度问题HFSP 、零空闲流水车间调度问题NIFSP、分布式置换流水车间调度问题 DPFSP、阻塞流水车间调度问题BFSP
👇
基于局部高斯拟合的能量驱动活动轮廓模型

被折叠的 条评论
为什么被折叠?



