百趣代谢组学文献分享,2019年4月Nature communications杂志上发表了一篇关于慢性肾病早期诊断标志物筛选的文章《Identification of serum metabolites associating with chronic kidney disease progression and anti-fibrotic effect of 5-methoxytryptophan》,小编带大家来看看,文章是通过哪些层层关卡最终锁定诊断标志物并找到潜在治疗靶点的。
研究背景
慢性肾病(CKD)会使得肾功能逐渐丧失,发展到终末期肾病时(即尿毒症),就需要通过透析来维持生命,或者通过肾移植来解救生命。CKD的早期阶段1-2阶段几乎没有明显迹象和症状,一般直到后期阶段才被发现,且心血管疾病发病率和死亡率的风险也会随着CKD的进展而增加,所以对于CKD早期诊断和治疗是很有必要的。
百趣代谢组学文献分享,目前临床主要基于eGFR和蛋白尿水平进行肾损害评估,其用于CKD诊断的假阳性还是比较高的,所以我们迫切需要更好的评估肾功能的标志物,以提高CKD诊断的准确性。这篇文章就主要通过最接近表型的代谢组学技术进行了CKD早期诊断标志物的寻找。

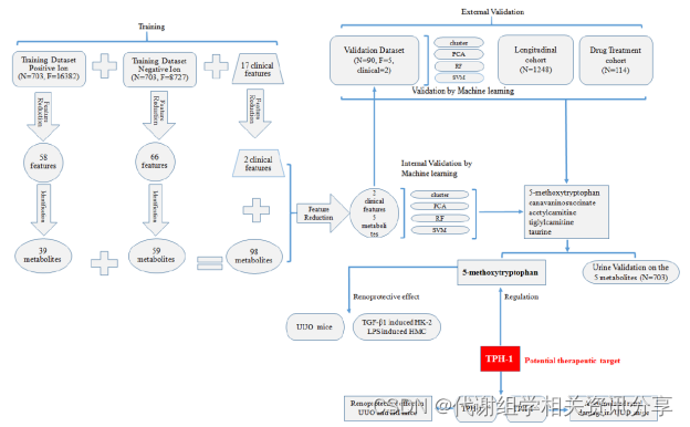
图1 技术路线图
研究方法
非靶向代谢组学(UPLC-HDMS)
靶向代谢组(UPLC-MS/MS)
分子生物学实验
研究结果
非靶代谢组学筛选生物标志物
百趣代谢组学文献分享,通过对703例血清和尿液样本(1-5期CKD患者组和正常对照组)进行非靶向代谢组学检测,检测到25109个peak,基于最小绝对收缩和选择算子(LASSO)的变量选择得到124个差异peak,通过匹配数据库最终定性出98个代谢物。后续文中进行了随机森林分析,支持向量机分类,并将这98个代谢物与临床17个临床指标进行了关联分析筛选,最终发现5-甲氧基色氨酸(5-MTP)、CSA、乙酰肉碱、tiglylcarnitine和牛磺酸这五个物质可以清楚的区分CKD的所有临床阶段(见图2),健康对照与疾病组也显示明显的区分差异。

图2 五种选择的代谢物用于区分不同的CKD阶段
5个代谢物的外部验证
由于是CKD早期诊断标志物筛选,文章中选取了CKD1和CKD2两组与健康对照组(每组n=30例)进行了这5个潜在生物标志物靶向代谢检测,通过聚类分析、PCA分析、随机森林和支持向量机等分析发现这5个物质可以将健康对照组,CKD1和CKD2组完美的区分开来(见图3),外部验证结果进一步证明这5个物质可以作为潜在早期诊断标志物。

图3 外部验证结果展示
5个代谢物的纵向队列验证
百趣代谢组学文献分享,文中进一步开展了一项前瞻性CKD研究,对1248名合格参与者实施了6年跟踪,发现31名参与者新发CKD,随后对这31名参与者发病前后的血清样本进行了这5个物质的靶向代谢检测,通过分析发现,结果与训练集结果一致,发病前后两组样本可以很好的区分开来,且这5个物质敏感性特异性都在85%以上(见图4),也具有较高的AUC值。纵向队列结果进一步验证了这5个物质是可以作为CKD早期诊断标志物的。

图4 发病前后代谢水平差异显著
药物治疗层面验证
接下来,文章中又研究了依那普利,泼尼松和五苓散药物治疗114名CKD2患者前后这5个代谢物丰度变化。研究发现除牛磺酸外,其他四种潜在代谢物在患者接受依那普利治疗后显著恢复。百趣代谢组学文献分享,泼尼松和五苓散治疗组,除了tiglylcarnitine外,其他四种潜在的生物标志物在患者接受治疗后均有显著恢复(图5),通过药效比较,五苓散对CKD早期患者的治疗效果优于依那普利和泼尼松。以上所有验证结果均表明5-甲氧基色氨酸(5-MTP)、CSA、乙酰肉碱、tiglylcarnitine和牛磺酸这五个物质可以作为CKD早期诊断标志物。

图5 药物治疗前后代谢物显著恢复
5-MTP的肾脏保护作用
在5个生物标志物中,5-MTP已有文献报道其具有保护血管损伤和抗炎作用,但这尚未在肾损伤动物模型或肾小管上皮细胞中得到证实。文中就进行了体内和体外实验来研究5-MTP对肾脏的保护作用。百趣代谢组学文献分享,研究发现,5-MTP处理的小鼠、HK-2和HMC细胞,炎症和纤维化均有明显改善,相应的一些炎症因子表达也受到抑制,细胞保护途径表达恢复,这些实验证明了5-MTP在体外和体内发挥强烈的抗炎和抗纤维化作用。

图6 5-MTP具有抗炎和抗纤维化作用
TPH-1对肾脏疾病的保护作用
前面研究结果已经证实了5-MTP具有抗炎和抗纤维化作用,而TPH-1是从L-色氨酸合成5-MTP的关键酶,文章中提出了假设:TPH-1对内源性5-MTP的上调从而对肾脏疾病发挥了有利的治疗作用,那到底是不是这样的呢?后续文章又进行了TPH-1过表达和敲除等一系列体内体外分子生物学实验,发现TPH-1的过表达会导致5-MTP含量升高,炎症和纤维化得到改善,敲除之后结果相反。百趣代谢组学文献分享,这些结果确定了TPH-1是可以作为治疗CKD的潜在治疗靶点。

图7 TPH-1通过调节5-MTP水平起到抗炎抗纤维化作用
结 论
百趣代谢组学文献分享,本研究通过非靶代谢组学和靶向代谢组学结合细胞和小鼠模型的分子生物学实验,最终筛选到5个CKD早期诊断标志物(5-甲氧基色氨酸(5-MTP)、CSA、乙酰肉碱、tiglylcarnitine和牛磺酸),并证明了5-MTP具有抗炎和抗纤维化作用,且进一步说明了是通过合成5-MTP的关键酶TPH-1起的作用,最终找到TPH-1可以作为治疗CKD的潜在治疗靶点。
整篇文章思路清晰明了,还在担心做了非靶代谢组学之后的数据该如何分析吗?还在担心后续如何进一步数据挖掘和结果验证吗?看看这篇文章,思路有木有清晰一些呢?
文章分享了关于慢性肾病早期诊断标志物筛选的研究。通过非靶向和靶向代谢组学等方法,对大量样本检测分析,筛选出5个可作为早期诊断标志物的物质。经外部验证、纵向队列验证和药物治疗层面验证,证实其有效性。还发现5 - MTP有抗炎抗纤维化作用,TPH - 1可作潜在治疗靶点。
1914

被折叠的 条评论
为什么被折叠?



