PRECICE髓内肢体延长系统
专家评论:医疗器械 12(3), 231–249 (2015)
设备简介
PRECICE髓内肢体延长系统(椭圆科技公司,美国加利福尼亚州)是一种远程控制、磁力驱动的可植入式肢体延长髓内钉系统。其第一代(2011年)和第二代(2013年)植入物均已获得CE标志和美国FDA批准。该系统适用于治疗肢体长度差异和身材矮小,已在全球应用超过1000例。已有超过250例病例的报告和发表结果显示,其疗效优异,疼痛更少,并发症发生率低于外固定方法或其他既往可植入钉系统。
KEYWORDS : 先天性股骨发育不全 .牵张成骨 .腓侧半肢畸形.髓内钉 .腿部长度差异 .肢体长度差异 .磁铁 .无创 . PRECICE
Ellipse Technologies公司(美国加利福尼亚州尔湾)与由斯图尔特·格林博士领导的外科医生团队(包括本人)共同开发了 PRECICE钉。他们采用了此前为脊柱生长棒“MAGEC系统”所研发的相同装置[1]。该装置包含一根磁性金属丝杠,连接到一系列齿轮(FIGURE 1)。齿轮连接至一个联轴器,联轴器再连接至螺纹驱动轴。该装置通过外部遥控装置(ERC)设备(FIGURE 2A)激活。
ERC采用两个电机驱动旋转磁铁,通过磁力耦合带动磁性金属丝杠旋转(FIGURE 2B)。将ERC朝一个方向放置可使髓内钉延长,而朝相反方向放置则会使其反向运行(缩短)。PRECICE是第二个获得FDA批准的可植入式延长髓内钉设备(2011年7月),也是首个具备双向控制(延长和缩短)功能的设备。我有幸于2011年12月1日在美国植入了第一例PRECICE钉。
直到20世纪90年代这些新型髓内钉引入之前,伊里扎洛夫技术一直是肢体延长的最佳选择。人们曾认为,采用这项新技术将大大减少与肢体延长相关的并发症。然而,髓内钉技术也存在并发症,可能包括骨不连、神经损伤、钉骨折、关节挛缩及其他严重并发症[2–10]。外部肢体延长的固定方法仍是金标准。可植入式肢体延长的应用经验表明,肢体延长的并发症可分为两类:设备相关和牵张相关。
外置与内置延长装置的设备相关并发症有很大不同。使用可植入装置时,不会出现针道感染、因钢针限制肌肉导致的关节僵硬和挛缩以及明显的针道瘢痕等高发并发症。而牵张相关的并发症在外置和内置延长方法之间则相似,包括过早愈合、骨形成延迟和失败、神经牵拉损伤、肌肉挛缩和关节半脱位。由于设备相关并发症减少,甚至部分牵张相关并发症(如轴向偏差)也有所减少,使得转向使用可植入装置极具吸引力,并为这些技术先进的装置创造了市场。
综述主体
市场概述
肢体延长的适应症适用于治疗下肢或上肢的肢体长度差异以及身高延长。腿部延长的适应证适用于治疗腿部长度差异或身材矮小。单侧肢体延长用于均衡肢体长度治疗肢体长度差异。双侧肢体延长用于增加身高并恢复患有发育不良(例如软骨发育不全和低软骨发育不全)以及其他遗传性疾病(例如特纳综合征)患者的体型比例,也用于治疗身材矮小患者的身高焦虑症以及出于美容原因增加身高的情况。
腿部长度差异可能由先天性、发育性或创伤后因素引起。发育性或创伤后原因可能包括生长板停滞、畸形愈合、骨不连、开放性骨折导致的骨质丢失、骨髓炎或肿瘤。轻微腿部长度差异较为常见,普通人群中约有23%存在至少1厘米的长度差异。需要使用矫正装置的腿长度差异患病率约为千分之一。更严重的差异,如先天性股骨发育不全和腓侧半肢畸形,属于罕见且复杂的下肢先天性障碍,其发病率分别为每50,000例活产中约有1例先天性股骨发育不全[11–13],以及每百万活产中有7.4至20例腓侧半肢畸形[14–16]。
身材矮小是大多数发育不良和肌肉骨骼综合征的常见特征。软骨发育不全是常见的发育不良,发生率为1:40,000活产婴儿。体质性矮小定义为身高低于第5百分位数(占人群的5%)。身高焦虑症是一种广为人知的病症,也称为身高神经症。尽管目前尚无关于其患病率的准确统计数据,但该病症非常普遍。大多数身高焦虑症患者的身高均在第5百分位数以上。身高焦虑症属于身体形象焦虑障碍,通常对心理治疗无反应。因身高焦虑症而进行的延长手术被视为美容或美学延长。
肢体延长治疗肢体长度差异是一种被广泛接受的治疗适应症,但其市场相对较小。同样,用于治疗发育不良的身高延长,尽管更具争议性,也是一种被广泛接受的治疗适应症,其市场也相对较小。
出于美容原因的身高延长是一种极具争议的治疗适应症。然而,人群中对此类治疗的需求日益增长。有许多社交网站用于表达对此类治疗的兴趣和需求。因此,这是一个巨大的
A
磁力线
旋转
S
N
N
S
S N
B
未开发的市场。全球范围内涌现出一批数量不多但不断增长的美容性身高延长中心,以满足这一需求。
美容性身高延长的概念对大多数骨科医生来说都很陌生。与我们的整形外科同行不同,我们没有美容或美学手术的传统。骨科手术建立在治疗疼痛、残疾和畸形的基础上。我们通过手术来治疗或预防疼痛和残疾。由于不被视为美容性质,我们的手术由第三方支付者进行报销资助。
随着手术报销的减少,自费美容手术实践对许多骨科医生的吸引力将在不久的将来增加。美容市场可能成为可植入式肢体延长最主要的适应证。迄今为止,外固定器一直是肢体延长的金标准。大多数骨科医生对外固定望而却步,因此这一技术仅限于少数骨科专家使用。外固定器也让许多患者远离了这种治疗。如今,由于手术对医生而言更为简单,对患者而言并发症更少,我们可以预见开展肢体延长手术的医生数量以及愿意接受该手术的患者数量都将增加。未来,用于美容性身高延长的植入物数量将远远超过用于腿部长度差异和发育不良治疗的植入物数量。不言而喻,每个美容病例需要两个植入物,而每例腿长差异仅需一个。此外,肢体长度差异(LLD)患者通常在儿童时期分阶段进行延长,而身高延长患者往往还会对其其他节段(例如两根股骨之后再加两根胫骨)进行第二轮延长,因此其总体使用量仍远超LLD适应证。遗憾的是,该设备应用的简便性具有误导性。尽管手术相对简单,大多数骨科医生均可完成,但术后随访以及处理牵张相关问题和并发症的学习曲线却相当陡峭。大多数骨科医生并不熟悉肢体延长患者的术后管理。因此,我们可能会预见大量并发症的出现,这些并发症由擅长植入髓内钉但未准备好应对肢体延长过程管理的医生造成。由于身高延长应用潜在利润丰厚,该市场领域可能迅速增长,但也可能面临严重的滥用风险。
外固定是肢体延长现有市场的主流。可植入式延长髓内钉适用于目前由肢体延长外固定器所占据的相同市场。其适应证相同:肢体长度差异和身材矮小。可植入式髓内钉目前受限于解剖结构、长度、直径以及矫正畸形的能力,尤其是在儿童和发育不良患者的短骨中。在美国,唯一获得FDA批准的器械是髓内骨骼牵开器(ISKD)(Orthofix公司,美国德克萨斯州刘易斯维尔)。该设备于2001年进入市场,并于2011年最终退出美国市场。在欧洲,
Fitbone、Phenix 和 Albizzia 曾作为非常有限发布的替代方案,是仅有的其他选择。Phenix 因其发明者 Arnaud Soubieran 不幸早逝而退出市场,预计将在 2015 年左右以史密斯与尼菲尔骨科公司(美国田纳西州孟菲斯)推出的新产品 Novus 重新面市。Fitbone(德国伊格尔斯海姆,威腾斯坦)仅在 Rainer Baumgart 医生直接批准下,提供给少数外科医生使用。批准的理由据称基于经验,并限制每个国家的使用中心数量。这一决定似乎相当随意,例如,我本人就未能获得 Baumgart 医生对其使用的批准。此外,Fitbone 还被认为是目前最昂贵的可植入式髓内钉。改良版 Albizzia,称为贝茨骨,以及吉谢钉,仅由这两位同名医生使用,未进行商业化分销。因此,于 2011 年在美国和国际上推出的 PRECICE 已成为目前唯一可商业获得的远程控制可植入式肢体延长设备。
设备介绍 设备描述
PRECICE 是一种伸缩式髓内锁定钉。该装置包含一根稀土磁性金属轴,连接至三组行星齿轮组 (FIGURE 3)。每组齿轮组产生 1/4 的减速比,磁铁与驱动螺杆之间的总减速比为 1/64。齿轮与驱动螺杆之间设有带安全保护的联轴器。
磁铁
齿轮箱
丝杠
螺纹驱动轴(螺杆)使髓内钉的小直径管相对于大直径管延长或缩短。
PRECICE髓内肢体延长系统 设备简介
(类似于离合器)内置装置,以在遇到极大扭矩阻力时避免损坏。该装置(执行器)由ERC设备(FIGURE 2A)激活。ERC采用两个电机驱动旋转磁铁,通过磁力耦合带动磁性金属主轴旋转(FIGURE 2B)。ERC每分钟运转30圈,完成1毫米的延长需要7分钟和210圈。将ERC朝一个方向放置会使髓内钉延长,而朝相反方向放置则会使其反向运转(缩短)。
PRECICE钉和锁定螺钉
第一代 Ellipse PRECICE 肢体延长系统由 PRECICE 髓内钉、锁定螺钉、植入工具及附件以及外部遥控装置( ERC)组成。可植入的髓内钉通过γ辐射灭菌提供,有胫骨和股骨型号,直径分别为10.7毫米和12.5毫米,行程长度为65毫米,总体起始长度范围为230–355毫米,并配有远端螺钉孔模式以适应多种患者解剖结构。同样,锁定螺钉提供两种不同直径,长度从20到75毫米,以5毫米为增量。
第一代PRECICE(PRECICE 1)为模块化设计,因此髓内肢体延长驱动装置组件需在手术中与不同长度和解剖形状的延长杆进行组装。髓内肢体延长驱动装置的长度是固定的,而延长杆的长度则有所不同。髓内肢体延长驱动装置及其稀土磁铁、伸缩式丝杠/螺母组件和齿轮机构被封装在一个杆段内,该杆段上下通过焊点与髓内钉主体焊接。该单元共有三个焊点,并通过紧定螺钉与延长杆连接。延长杆、锁定螺钉和可重复使用的附件均以非无菌状态提供,使用前必须进行灭菌。第二代Ellipse PRECICE 2肢体延长系统于2013年11月推出,由 PRECICE髓内钉、锁定螺钉、植入工具及附件以及外部遥控装置(ERC)组成。改进后的可植入髓内钉为
通过γ辐射灭菌提供,适用于胫骨和股骨型号,直径为 8.5、10.7和12.5毫米,行程长度为50毫米和80毫米,总体起始长度为195–365毫米,并配有远端螺钉孔模式以适应多种患者解剖结构。同样,PRECICE锁定螺钉也提供不同直径以及20至75毫米范围内的多种长度。PRECICE锁定螺钉、植入器械及附件均以非无菌状态提供,使用前必须进行灭菌。PRECICE髓内钉通过手术置入股骨或胫骨的髓腔内。股骨型号提供梨状窝、转子和逆行入路型号。与患者体液和骨接触的金属由医用级钛合金 (Ti‐6Al‐4V)制成。稀土磁铁和齿轮密封,防止与体液接触。
外部遥控器
ERC提供了一种无创方法,可按预定时间精确地对髓内钉进行牵开。ERC包含两个由电子驱动电机带动旋转的永久磁铁。当ERC的磁铁在接近PRECICE钉(距离小于 5.5厘米)时旋转,钉内的稀土磁铁随之转动,牵开杆根据ERC磁铁旋转方向的不同使髓内钉延长或缩短。ERC 首次使用是在手术室中,用于测试髓内钉装置的功能是否正常,通过放射学确认执行1毫米测试牵开。术后经过0 到7天的延迟期后,患者(或其护理人员)根据主治医师设定的每日处方,每天对髓内钉进行一次长度调整(FIGURE 4)。
植入技术 (PRECICE 2)
股骨手术技术
步骤1:将患者仰卧位放置在透射线手术台上。在手术侧坐骨下方放置一个透射线垫块(通常为折叠的毛巾或床单)。这有助于在前后位(AP)和交叉台侧位上清晰显示髋关节。
步骤2:使用影像增强器(透视),在皮肤上标记大转子水平的尖端位置。了解手术中将使用的髓内钉长度后,用直尺标记髓内钉的远端。对于逆行钉固定,从髁间切迹近端1 cm处开始测量。
步骤3:根据计划的牵张量确定截骨水平。必须确保在延长结束时,髓内钉较大直径部分始终位于牵开间隙两侧并保持啮合。假设需要保留2 cm的髓内钉较大直径部分处于啮合状态,则需加上2 cm、再加3 cm较小直径的髓内钉暴露部分,再加上牵张量。从髓内钉远端测量该总长度,即为所需的截骨水平,以确保在牵开间隙对侧始终至少有2 cm的髓内钉较大直径部分与皮质骨啮合。
0 mm 1 mm 2 mm
步骤4:在截骨水平外侧做一个1厘米切口。使用4.8毫米钻头进行钻孔。我倾向于一个入口和三个出口孔,即前内侧、后内侧和内侧。然后在其他孔的水平处再做两个钻孔,分别为前外侧和后外侧。这六个孔将用于排出髓腔内的脂肪栓塞,并使通过这些孔挤出的扩髓物自体骨移植至截骨部位。
步骤5:对于具有闭合生长板的成人或青少年,将斯廷曼针插入梨状窝。对于具有开放的股骨近端生长板的患者,将斯廷曼针插入大转子顶端。对于逆行钉固定,前后位上于髁间切迹中心、侧位上于Blumensaat线远端插入斯廷曼针。
步骤6:使用10毫米前交叉韧带扩髓钻扩髓起始点。
步骤7:将珠状导针插入股骨。
步骤8:以1毫米增量扩髓,直至出现颤动,然后改用0.5毫米增量。对于8.5毫米髓内钉扩至10.5毫米,对于10.7毫米髓内钉扩至12.5毫米,对于12.5毫米髓内钉扩至14.5毫米。对于8.5毫米髓内钉,将骨的上部扩至11毫米。对于转子入路,可考虑在骨的上部多扩1毫米,以便髓内钉通过弯曲部位时实现低阻力通过。
步骤9:准备髓内钉以供插入。对于PRECICE 1,选择并组装插入端类型(转子部、梨状肌、逆行、胫骨)及长度。装置为单一长度,而最终的髓内钉长度取决于所选插入端的长度。对于新型PRECICE 2,髓内钉非模块化,必须预先选择整个髓内钉的长度。
步骤10:安装近端瞄准装置,并通过插入钻孔导向器和钻头测试其与螺钉孔的对齐情况。
步骤11:将髓内钉置于影像增强器的射线束下,确认装置未被预先撑开。保存此图像以供参考。
步骤12:移除用于扩髓的珠状导丝,因为髓内钉非中空的。将髓内钉插入髓腔,直至达到计划截骨术(钻孔)的位置。
步骤13:让一名助手将足部抬离手术台。让另一名助手使用插入导向器抬起髓内钉的近端。两名助手共同对股骨施加伸展力矩,以防止在截骨术期间股骨发生移位。
步骤14:通过1厘米的侧切口,使用6–8毫米锋利的骨凿对股骨进行截骨。股骨将很容易通过六个钻孔处断裂。注意听骨折发生的声音,一旦听到断裂声即撤出骨凿。使用实时透视观察,在轻柔地将股骨向内翻和外翻移动时测试股骨是否已完全骨折。在整个测试过程中保持伸展力矩。
步骤15:确认截骨完全后,通过轻轻敲击冲击器推进髓内钉直至髓内钉穿过截骨线进入股骨的远端(顺行髓内钉)或近端(逆行钉固定)。此时不再需要伸展力矩来稳定股骨。推进髓内钉,直到其上端到达梨状窝基底部水平,或分别位于梨状窝和转子部髓内钉的大转子内部。对于逆行髓内钉,确保髓内钉末端位于股骨髁间切迹内的股骨内部。
步骤16:使用锁定导向器,通过两枚螺钉在近端(顺行)和远端(逆行)锁定髓内钉。对于远端锁定螺钉(顺行)和近端锁定螺钉(逆行),我个人的技术偏好是将一根长1.8毫米导丝插入锁定孔,随后对8.5毫米髓内钉使用3.5毫米中空钻,对10.7毫米髓内钉使用3.8毫米中空钻,对12.5毫米髓内钉使用4.8毫米中空钻。对于12.5毫米髓内钉,需用实心5毫米钻头扩孔;对于10.7毫米髓内钉,需用实心4毫米钻头扩孔。
步骤17:使用两枚侧‐内侧螺钉在远端锁定髓内钉。不要使用前后方向的中间螺钉,因为它可能导致股骨骨折的应力集中。
步骤18:仅对顺行性髓内钉,将端帽插入髓内钉的近端部分。
步骤20:关闭所有切口。
步骤21:将ERC设备插入无菌套中。使用透视在皮肤上标记磁铁的位置。使用影像增强器将ERC直接对准磁性轴,并标记出磁铁位置。对于顺行髓内钉,ERC朝向远端;对于逆行髓内钉,朝向近端。延长股骨1毫米需要7分钟。
步骤22:放射学上检查是否可见牵开间隙,并将其与牵开前间隙进行比较(FIGURE 4)。如果观察到间隙明显增加,则手术完成。如果没有,再进行1毫米的牵张以确认。在极少数情况下,如果骨未分离,则必须取出髓内钉并在体外进行测试;如果仍无法牵开,则需更换另一枚髓内钉。不完全截骨术可能导致牵张失败。
胫骨手术技术
步骤1:像之前一样标记髓内钉的近端和远端。
步骤2:像之前一样标记截骨水平。在胫骨中,为促进更好的骨形成,截骨术应偏向近端。
步骤3:在胫骨截骨术水平的前侧做一个单皮质钻孔。可在内侧面再做一个单皮质钻孔。避免进入前筋膜间室和深后筋膜间室。扩髓前不做多个钻孔,以防止扩髓物挤入深后筋膜间室和前筋膜间室,从而降低筋膜间室综合征的风险。
步骤4:从腓骨远端向胫骨插入一根导针。该导针应从腓骨远端斜向胫骨近端。在胫骨侧切开皮肤,沿导针使用3.2毫米钻头穿过两根骨进行钻孔。从胫骨向腓骨插入一枚实心4.5毫米螺钉,使其
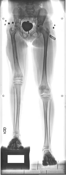
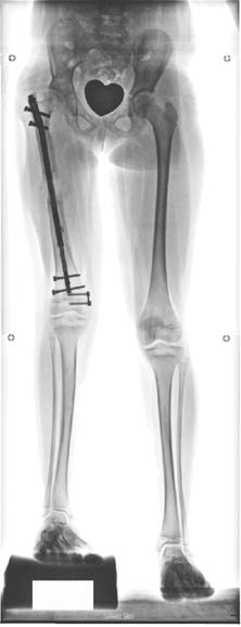
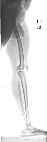
术前前后位和侧位X光片。她既往曾接受超级髋‐超级膝手术,并在4岁时成功接受过一次外固定器延长术。她的腿部长度差异为7厘米。(B) 使用PRECICE 2 8.5毫米 245毫米、转子入路股骨钉进行5厘米延长后的前后位X光片。同时使用半骨骺阻滞板治疗其膝外翻。(C) 此为牵张停止一个月后愈合期的前后位X光片,显示牵开间隙正在由骨组织填充。)
螺钉头部位于胫骨侧。螺钉的朝向应始终使胫骨侧比腓骨侧更靠近近端。
步骤5:通过浅后部和外侧肌室之间的小后外侧切口,进行中段骨干腓骨截骨术。
步骤6:为了确定起始点,将一根斯廷曼针插入近端胫骨,在前后位上位于关节水平并与内侧胫骨棘对齐,在侧位视图上位于关节线处。起始点通常位于髌腱内侧。
步骤7:以1毫米增量对胫骨进行扩髓,直到出现颤动,然后像股骨一样以0.5毫米增量继续扩髓。
步骤8:扩髓后,在胫骨的计划截骨水平添加多个钻孔。使用锐利骨凿,经前切口以经皮方式完成截骨术。
步骤9:确认截骨术完成后,插入并推进PRECICE 胫骨钉,直到其上端位于骨平面以下。
步骤10:从内侧前方向后外侧钻入第一枚近端锁定螺钉,目标为腓骨头:左侧对准上方的锁定螺钉孔,右侧对准下方的锁定螺钉孔。测量足够长度的锁定螺钉,以将胫骨固定至近端腓骨。从前外侧将第二枚近端锁定螺钉仅锁入胫骨。如果第一次钻孔和螺钉未命中腓骨,则使用导丝引导,通过空心钻从胫骨向腓骨另置一枚4.5毫米螺钉单独固定腓骨。
步骤11:徒手锁定三个远端螺钉中的两个,使中间或远端一个保持空置。
步骤12:使用外部遥控装置对ERC进行1毫米的牵开试验 (FIGURE 4)。
术后操作
将外部遥控装置(ERC)稳固而舒适地放置在 PRECICE植入物磁铁所在区域。通过ERC显示屏观察,将植入物牵开至所需长度。应每2周拍摄X光片以监测延长进展,并确认已达到预期的延长量。X光片还可用于监测再生骨的质量。虽然通常建议速率为1毫米/天,但根据临床和影像学检查结果,延长速率可能需要加快或减慢(FIGURE 4)。对于单侧延长患者,指导其使用助行器并遵循部分负重限制,随后过渡到拐杖。教会患者使用体重秤来判断负重情况。对于8.5和10.7毫米髓内钉,负重限制为22 公斤(50磅);对于12.5毫米PRECICE 2钉(P2),负重限制为34公斤(75磅)。对于原始PRECICE(现称为 P1),负重限制始终为22公斤(50磅)。对于使用12.5 毫米P2装置的双侧延长术患者,指导其使用助行器行走,在双足站立时最多可承受68公斤(150磅),在行走过程中进行单腿站立时每条腿可承受34公斤(75磅)。同样,双侧8.5毫米或10.7毫米P2病例的患者在站立于双腿时可承重至45公斤(100磅),行走时单腿站立位可承受22公斤(50磅),并需使用助行器学习行走。双侧病例随后会从助行器过渡到拐杖。所有患者均配备轮椅用于较长距离的移动。
目成本前效益尚未开展关于PRECICE成本效益的研究。PRECICE植入物的定价具有竞争力,与其他肢体延长外固定设备(如泰勒空间支架,史密斯与尼菲尔骨科公司,美国田纳西州孟菲斯)相当。PRECICE设备甚至可能比某些技术中使用的植入物组合(如过钉延长术、先延长后钉固定术等)更便宜。[17]。由于装置相关并发症和钢针相关并发症的减少,该设备相较于外固定具有更高的成本效益。例如,外固定延长术因深部针道感染、松动、轴向偏差、导丝或钢针贯穿引起的肌肉挛缩等装置相关并发症,需进行较高速率的非计划性二次手术。[18]。因此,非计划性二次手术的减少将显著提高PRECICE方法的成本效益。
临床概况与上市后发现
用于儿童和成人腿部长度差异及身高延长的延长术
帕利等人(2013年)进行了一项回顾性单中心研究,基于某单一中心三位外科医生的经验[19]报告PRECICE系统的早期结果。本研究已获得机构审查委员会批准。结果首次于2013年4月在希腊雅典举行的欧洲小儿骨科学会年会上发表,随后在加拿大多伦多的北美小儿骨科学会(POSNA)上发表。该研究最近已发表[20]。作者回顾了2011年12月1日至2012年12月4日期间植入的48例连续患者(65个PRECICE钉)的结果(均为PRECICE 1)。本系列患者的平均年龄为25.6岁(10.3–58.4岁)。23名患者因先天性不等长(FIGURE 5)进行了延长;平均年龄为18.5岁(10.3–43.7岁),术前平均延长目标为4.91厘米(1.5–6.5厘米),而术前平均下肢长度差异为6.27厘米(1.5–18.2厘米)。延长速率为0.8毫米/天。除五名患者外,该组所有患者均达到了延长目标;平均延长长度为4.5厘米(0.5–6.5厘米)(FIGURES 6& 7)。四名患者因发育性不等长进行了延长;平均年龄为17.8岁(13–27岁),术前平均延长目标为3.68厘米(1.5–6.5厘米)。延长速率为1毫米/天。平均延长长度为3.68厘米(1.5–6.5厘米)。所有患者均无并发症地实现了术前延长目标。六名患者因创伤后肢体长度差异(FIGURE 8)进行了延长;术前平均目标为3.48厘米(1.7–5.0厘米),平均年龄为
术前前后位和侧位X光片 (B) 使用10.7毫米大转子入路PRECICE 1胫骨钉进行6.5厘米延长后的前后位和侧位X光片(我们使用了胫骨钉,因为在当时大转子入路股骨钉尚不可用;目前的P2胫骨钉磁铁较短,不适合使用,但P1胫骨钉具有常规长度的磁铁,可用于股骨)。这是我们在2011年12月完成的首例PRECICE手术。(C) 6.5厘米延长后显示加重的外翻畸形的前后位X光片。(D) 通过内侧闭合楔形截骨术并使用锁定钢板内固定对畸形进行急性矫正后的前后位和侧位X光片。同时行腓神经减压术以尽量减少神经牵拉损伤的风险。(E) 一年后所有植入物取出后的最终前后位和侧位X光片。)
49.0 岁(30–58 岁)。延长速率为0.93毫米/天。平均延长长度为3.48厘米(1.7–5.0厘米)。所有患者均无并发症地实现了术前延长目标。此外,15名患者接受了身高延长,原因包括软骨发育不全(FIGURE 9)或美容原因(FIGURE 10)。他们的平均年龄为29.7岁(15–48岁),基线身高为166.2厘米(150–177厘米),术前延长目标为5.64厘米(3.0–6.5厘米)。延长速率为1毫米/天。平均延长长度为4.63厘米(2.7–6.5厘米)。八名患者出于个人原因而非医学原因,在未达到术前目标时选择性停止了延长。平均延长长度为4.41 厘米(范围,0.5–6.5 厘米),所有髓内钉节段的平均牵张速率为0.83 毫米/天(范围,0.50–1.11 毫米/天)。三名患者因再生骨失败需进行骨移植术(均为先天性)。两名患者在愈合期期间共有三根髓内钉发生断裂,这三名患者均未遵守负重限制,并已停止使用拐杖。每例患者均更换为锁定型标准髓内钉,且长度得以保持。每根断裂的髓内钉均在第一代PRECICE钉的近端(2处)或中段(1处)焊热区发生骨折。
六名患者中的七根髓内钉在牵张阶段停止了延长。其中两例是由于操作误差所致,以错误的方向使用ERC设备,导致装置损坏。这两例更换后顺利完成了延长。其余五例中,装置损坏被认为是由于在密度较高的再生骨或过早愈合的情况下进行延长所致。所有停止延长的髓内钉均位于具有背部肌肥大的大腿的男性患者中。其中四例更换了髓内钉。这四根髓内钉实现的平均延长长度为4.73 厘米(4.1–5.5 厘米)。平均愈合时间和恢复完全负重时间为125.3 天(范围,52–262 天)。总共在16例患者中发生了18 次非计划性手术。其余患者均成功完成治疗且无任何并发症。作者得出结论:PRECICE 具有优异的速率控制和准确性。其中一名受试者因盟液接受治疗时急性缩短 2 厘米,随后双向性能在临床上发挥了作用,并于 2 周后重新开始逐渐延长。
使用新型可控内置装置对儿童进行肢体延长
Herzenberg 等(2013)进行了一项回顾性单中心研究,以报告 PRECICE 系统在儿童中的初步结果 [21,22]。该结果于 2013年 4月 在希腊雅典举行的欧洲小儿骨科学会年会上发表。作者回顾了2012年1月到2013年3月期间因各种病因接受植入的20名儿童。平均受试者年龄为13.5岁(范围,7–16岁)。平均目标延长长度为5.2厘米(范围,2.5–6.5厘米)。向接受外固定延长以及使用PRECICE系统的受试者发送了问卷,要求他们比较各自的体验。
在会议时,27个肢体中的20个已完成延长。输入到 ERC中的目标长度与影像学测量结果高度吻合(平均分别为5.2厘米和5.6厘米)。在延长和愈合期期间,关节活动范围(ROM)保持良好。在16例完全愈合的患者中,平均牵开指数为2.4厘米/月(范围:1.2–3.25厘米/月),平均愈合指数为1.12月/厘米(范围:0.46–2.0月/厘米)。观察到并解决了3例并发症:1例因突出的螺钉接受翻修术治疗,1例腓神经卡压接受减压术治疗,以及1例旋转半脱位接受韧带重建治疗。9名曾接受外固定延长术的13名儿童完成了一份问卷调查,比较了使用内固定和外固定的经历。所有受访者均报告称,PRECICE系统使物理治疗更简便、外观效果更好,总体满意度更高。当被问及如果需要再次手术会选择哪种设备时,全部9名患者均表示会选择 PRECICE系统。作者得出结论:该设备准确,可实现良好的关节活动范围(ROM),并发症较少,是有吸引力的替代外固定的方案。但仍需要更多患者和长期随访数据。
新型遥控内部长骨延长钉的精确度
基兰等人(2013年)开展了一项回顾性单中心研究,以评估PRECICE系统的临床疗效。结果于2013年6月在纽约,纽约州举行的特殊外科学院研究研讨会上发表[23]。作者回顾了使用PRECICE系统进行的10例股骨和7例胫骨延长病例。查阅病历以获取病因、患者特征、手术细节、牵张过程、骨对线、邻近关节活动范围以及任何并发症。牵开距离的测量在每次随访时使用校准的数字放射系统(PACS,OnePacs有限责任公司,纽约,纽约州,美国)进行。
结果显示,在13.5周随访(范围,4–30周)时,延长长度为33.65毫米(范围,14–61毫米),准确性为100.7 ± 0.23%。所有股骨所有病例骨愈合良好,但有两例胫骨病例因延迟骨愈合需植入骨髓浓缩物。未发生植入物失效或重大并发症。作者总结认为,新型PRECICE内置延长钉的牵张准确性接近 100%。使用外部磁力控制器操作简便,易于向患者解释。值得注意的是,在该初期系列中未出现植入物失效。在若干患者中,通过在畸形顶点处进行截骨术,成功矫正了原有的畸形。此外,髋关节、膝关节和踝关节活动范围均保持良好。髂胫束松解术和腓肠肌后退术分别有助于在延长过程中维持膝关节和踝关节活动范围。胫骨延长较股骨延长更具困难。此外,通过在潜在畸形的凹侧插入阻挡螺钉,成功预防了股骨内翻屈曲畸形和胫骨外翻屈曲畸形的发生。最后,必须考虑较粗的髓内钉段在截骨部位以外的长度,以确保足够的稳定性并防止医源性畸形。
用于先天性股骨发育不全和腓侧半肢畸形的内置延长装置
Shabtai 等人(2014年)报道了一项前瞻性、非随机、单中心研究,以评估PRECICE系统在肢体延长中的应用愈合指数、并发症、设备外部控制器的准确性以及邻近关节活动范围[24]。在进行任何研究相关程序之前已获得机构审查委员会批准。2012年1月至2013年5月期间,共招募并治疗了66名先天性肢体短缩的受试者。其中,21名受试者使用PRECICE系统进行治疗,18名符合 PRECICE系统的分析纳入标准。共纳入10名女性和8名男性,平均年龄19岁。对16条股骨和5条胫骨进行了延长,平均延长4.4厘米(范围2.1–6.5厘米)。平均牵开指数为 每天1.0毫米(范围0.5–1.8毫米/天)。记录了愈合指数相关并发症、设备准确性和活动范围。
在发表时,21个装置中有10个已被取出。这通常是在植入后12–24个月进行的,此时所有四个皮质骨均已牢固愈合。平均愈合指数为0.91月/厘米(范围0.2–2.0月/厘米)。有七例需要额外非计划手术的并发症,包括一例髋关节屈曲挛缩、三例股骨延迟愈合、一例胫骨延迟愈合、一例髋关节半脱位/脱位和一例膝关节半脱位。外部控制器准确,按程序设定的实际延长量一致。髋关节、膝关节和踝关节的活动范围基本保持不变。作者得出结论:髓内植入物的装置可在治疗期间使大多数患者的关节运动满意。延长以准确、可控的方式实现,所有患者均达到了目标长度。与该复杂患者人群的所有治疗方法一样,并发症仍然是一个值得关注的问题。
PRECICE 内置式骨延长髓内钉的精确度
基拉内等人(2014年)报告了一项回顾性单中心研究,旨在评估PRECICE系统在牵张的准确性与精确度、对骨对线的影响、对邻近关节活动范围的影响以及植入物相关和非植入物相关并发症的发病率方面的表现[25]。该研究回顾了24名患者,这些患者于2012年8月至2013年7月期间因不同病因接受了使用PRECICE钉进行的股骨和/或胫骨延长手术。在每次术后随访中,记录牵张的准确性与精确度、骨对线、关节活动范围以及任何并发症。准确性反映了每次术后随访时测得的延长量与预定牵张量的接近程度,而精确度反映了在整个总延长周期内多次测量结果之间的一致性。所有患者均未失访。
最短随访时间为术后3周(平均值14周;范围,3–29周)。结果表明,平均总延长长度为35毫米(范围为14– 65毫米),准确性为96%,精确度为86%。所有患者均达到了目标延长长度,且对骨对线的意外副作用最小。膝关节和踝关节活动范围受影响较小。需要返回手术室进行额外手术操作的并发症中,有1例(4%)因功能障碍的牵张机制导致植入物失效,6例(24%)为非植入物相关并发症,包括1例(4%)过早愈合、2例(8%)延迟骨愈合、2例(8%)马蹄样挛缩延迟以及1例(4%)趾爪畸形。作者得出结论:PRECICE系统是一种有效的方法,可用于准确且精确地实现肢体延长,以治疗各种导致肢体缩短或长度差异的病症。
PRECICE与ISKD在髓内肢体延长中的精确度如何?
谢德尔等人(2014年)报告了一项前瞻性、非随机、单中心研究,以评估PRECICE髓内肢体延长系统的可靠性和安全性PRECICE系统第一代[26]。在进行任何与研究相关的操作之前,已获得机构审查委员会批准。2012年6月至 2013年3月期间,共纳入并植入了24名患者中的26枚 PRECICE髓内钉。在术前、延长期间每14天以及在巩固期期间或之后,获取患者站立位时的前后位X光片。延长完成后,记录所有问题、障碍和并发症的发生情况。采用帕利分类法与其他延长技术和外固定延长技术进行比较。初步结果与已知的ISKD等机械延长装置使用中的困难进行了对比。
结果显示,两个髓内钉功能异常,导致26个植入的髓内钉中有24个实现了超过目标距离的延长。目标延长长度为38毫米,实际获得的延长长度为37毫米。发生了两次髓内钉断裂,其中一次发生在焊缝处,另一次是由于患者在愈合期期间意外跌倒所致。在整个研究队列的治疗过程中,共观察到15个问题、5个阻碍和4个并发症。作者得出结论:PRECICE延长的平均准确率为97%,与可比的ISKD研究(96%)相似[26],,并且制造商对系统持续改进,包括最近推出的第二代系统,将解决本研究中观察到的问题。
替代装置
使用肢体延长器械是治疗下肢不等长的一种成熟技术。TABLE 1列出了文献中描述的其他可植入式肢体延长装置。适应症/预期用途声明来自文献及其他公开信息来源,例如公司网站。
关于Albizzia、ISKD和Fitbone的已发表报告记载了多种问题和并发症。Simpson等人报告称,他们33例中的7例(21.2%)ISKD髓内钉被归类为失控植入物[8]。这意味着在 21.2%的患者中,牵开速率无法控制,并超过了目标延长速率。他们的髓内钉中共有33例中的15例(45.4%)出现速率控制并发症,其中7例延长过快,另外7例也存在相关问题。难以延长。在其他文献中,我们可以发现有关ISKD髓内钉的报道,其延长速率远超过1毫米/天,或被归类为失控钉,发生率从9%(1/11,Kubiak)到18.9%(7/37,凯纳维)不等,马博比安等人(Hankemeier)系列中甚至高达83.3%(10/12)[27–30]。王等人报告称,他们使用的16个髓内钉中有5个不受控地延长,迫使他们要求这些患者根据髓内钉的牵张速率每周调整负重和活动水平。如果牵开过慢,则要求患者增加负重并提高活动量,反之亦然(王,辛普森)[31,32]。这种方法充其量只是一种非常不完美的控制ISKD牵张速率的方式。还有其他系列进一步详细描述了失控髓内钉的发生率,范围从9%(Kubiak)到20%(帕利)[27,33]。ISKD设计者(Cole)在其对18名患者中20个髓内钉的初始系列综述中指出[34],报告的延长速率高达1.7毫米/天,但未提及有多少患者以如此快的速率进行延长。在帕利的一项未发表的研究中,在350次 ISKD延长中,记录到牵张速率高达5毫米/天。
绝大多数出现失控钉的患者后续在牵张部位出现了再生骨不良或骨不连。尽管科尔等人的文章中观察到无骨不连病例,也未有患者需要后续植骨手术,但其他文献报道了需要进行附加手术(包括植骨或更换髓内钉)的失控钉发生率,范围从20%(王1/5,凯纳维5/7至辛普森6/7)到86%[8,28,31]。当然,再生骨不良/骨不连并非仅见于无法维持安全速率控制的髓内钉,而是所有肢体延长手术中众所周知的并发症。尽管王等人文章中只有1/5的失控钉后期需要植骨,但他们16根ISKD中有总共六根(37.5%)需要附加手术来治疗再生骨不良或骨不连[31]。辛普森仅有6/8(75%)的失控钉需要通过附加手术进行治疗,但最终共有8/33(24.2%)根髓内钉需要这种方法[8]。凯纳维系列病例中的七根失控钉中有五根(71.4%)需要植骨和/或更换髓内钉,另外还有三根铁钉出现骨愈合不良,总共为8/37(21.6%)[28]。辛格等人报告称,24根中的3根(12.5%)
| 设备 | 制造商 | 预期用途 | 牵张机制 | 材料 | 设备状态 |
|---|---|---|---|---|---|
| 阿比西亚/吉谢特 | DePuy Orthopedics | 用于肢体延长 胫骨和股骨 | 机械伸缩,齿轮驱动 | 钢不锈钢 | CE标志,未批准 在美国 |
| Fitbone | 威腾斯坦 GmbH | 用于肢体延长 胫骨和股骨 | 电动的,射频 动力伸缩,齿轮驱动 | 钛合金 | CE标志,未批准 在美国 |
| ISKD | Orthofix公司 | 用于肢体延长 胫骨和股骨 | 机械伸缩,齿轮驱动 | 钛合金 | CE标志,召回于 USA |
Fitbone钉段后期需要植骨,而鲍姆加特等人发现1/12(8.3%)Fitbone钉段需要附加手术以实现充分愈合[3,34]。Kenawey等人发现,再生骨不良与患者年龄大于 30岁、总延长超过4厘米、吸烟以及牵张速率大于1.5毫米/天存在显著关联[28]。据报道,牵张速率大于1.5毫米/天是导致再生骨不良的一个易感因素(Kenawey)[28]。使用PRECICE钉可完全避免这一风险。与上述结果相比,帕利等人报告称,在 65个植入段中仅有3个出现因再生骨不良导致的骨不连,需要额外进行植骨手术。
另一种关于可植入延长髓内钉报道较多的问题是牵张困难。库比亚克等人认为,这是由于直型髓内钉在试图延长弯曲股骨时产生撞击和摩擦,以及软组织产生的压迫力较大,足以限制延长所致。该并发症仍然是Albizzia钉最常见的问题。牵张失败可能与内部棘轮机构的齿轮磨损有关,也可能由于患者因疼痛而无法将肢体完全旋转20度所致。同样,在使用ISKD时,部分患者因疼痛过于剧烈而无法完成所需的3–9度股骨旋转。外科医生可通过门诊手法操作或在硬膜外或其他麻醉下进行手法操作来治疗此问题。向股四头肌注射肉毒杆菌以减轻肌肉痉挛也具有一定效果。ISKD出现牵张失败的发病率从0%(科尔)到64%(库比亚克)不等,其中该系列中有7/7的患者需要返回手术室[27,33]。同样,辛普森系列中也有24.2%(8/33)的 ISKD髓内钉存在牵张困难,其中75%(6/8)的患者需要返回手术室[8]。
帕利等人报告了七例PRECICE装置出现牵张失败的情况。其中一例双侧病例是由于操作者错误所致,其余病例则是由于大量骨痂和发达的大腿肌肉组织的阻力造成。该装置的失效很可能是在反复尝试对即将过早愈合的骨骼进行延长后发生的。自PRECICE 1(2013年5月)改进装置以来,以及PRECICE 2引入新装置后,在超过150例病例中未再发生牵张失败的情况[PALEY D,PERS.COMM.]。
其他可植入髓内钉的机械故障可分为两类:牵张装置的机械故障和髓内钉本身结构完整性的断裂。在鲍姆加特等人报道的12例病例中,两名患者因装置失效需要再次手术[34]。该系列病例中未出现髓内钉断裂。在一项包含24 根Fitbone髓内钉的研究中,由于齿轮强度不足,无法满足牵张需求,两名患者需更换为直径更大的Fitbone髓内钉。这两名患者均患有先天性畸形(辛格等人)[3]。另一项针对八名患者的Fitbone队列研究报道了1例1例装置故障和1例髓内钉断裂;两者均为先天性病因(Krieg等人)[35]。ISKD初期系列(20枚髓内钉)报告了 2例硬件故障;两枚髓内钉均在患者完全负重时发生断裂,断裂部位位于近端和远端组件的连接处。随后对髓内钉进行了设计改进,作者称此后未再发生断裂。这进一步强调了对这些装置进行体内分析以及进行适当的工程调整以改进产品设计的重要性。该系列中未提及装置故障(科尔等人)[33]。另一项对57枚ISKD髓内钉的综述显示无髓内钉断裂病例;然而,发生了3例延长机制失效。其中1例需要更换髓内钉,对失效钉的检查显示棘轮机制卡住。另外两例需要手法操作并再次麻醉,其中一枚髓内钉在外部监测下仍急性延长了3厘米而非3毫米,再次说明了ISKD的不可预测性(Kenawey等人)[28]。在最大规模的ISKD系列(242枚装置)中,有15例(6.2%)出现机械故障。其中 10例为钉骨折,同一例身高延长患者中发生2次。大多数骨折发生在雄性部件,但其他部位的髓内钉也易发生失效。其余5例发生在延长机制,其中2例是由于装配错误所致(Burghardt等人)[34]。在手术期间确保髓内钉的功能性,如我们手术方案中所述,可避免此类并发症的发生。在 41例Albizzia钉植入中,有3例与牵张机制相关失败,1例为髓内钉骨折,均需再次手术(Guichet等人)[35]。
在使用Fitbone装置的10名患者(24根髓内钉)中,有两名患者(20%)由于膝关节活动受限未能达到预期延长长度。这两名患者均在接受身高延长治疗,并进行了股骨和胫骨延长(辛格等人)[3]。在另一项使用相同设备的小型研究(八名患者)中,患者达到了计划长度的93%(83–100%)。然而,由于钉失效,八名患者中的两名被排除在此分析之外(Krieg等人)[35]。使用ISKD髓内钉对33条肢体进行延长,其中32条达到了预期目标。然而,由于牵开进展缓慢或无进展,八名患者(八条肢体)需要接受附加手术(手法操作、外固定架辅助)才能实现目标(Simpson等人2009年)[8]。Baumgart的队列中12名患者均达到了完全的长度目标[2]。有趣的是,这些患者均接受了单侧延长,这消除了可能导致提前终止的多种因素。与我们的系列相似,大多数提前终止病例均出现在双侧组中。尽管如此,既往系列以及我们当前系列中的内置装置在实现预期长度方面似乎均有良好的记录。
疼痛是每种延长方法都需要重点考虑的问题。疼痛是延长过程中的预期部分。疼痛程度因外固定和内固定方法而异。针道、针道感染以及肌肉牵拉和其他软组织问题被认为是主要在外固定延长过程中出现的疼痛。由于可植入装置不存在上述所有问题,因此疼痛与稳定性、牵张速率、物理治疗和软组织拉伸有关。虽然无法消除软组织拉伸,但牵张速率和固定的稳定性取决于所用装置。摩擦也可能起一定作用,并可通过所用扩髓器的类型(直型与柔韧型)、过度扩髓的程度以及截骨水平(在股骨弯曲顶点处;使髓内钉在移动节段上拖动的部分尽可能短)加以限制。
疼痛是Albizzia和ISKD的主要问题。这两种装置都会在骨痂中发生旋转。此类旋转会导致摩擦和肌肉痉挛性疼痛。这种类型的疼痛已显著在Fitbone的报告和PRECICE的使用经验中均未提及。使用无需旋转的装置,例如电动Fitbone,在牵张过程中疼痛轻微至无痛(辛格等人)[3]。然而,在10名患者中的24枚植入物中,仅有两枚达到了60毫米,其余均在 27至50毫米之间,平均每枚髓内钉为40毫米/钉。相比之下,使用Albizzia钉的31名患者在延长过程中均经历了不适或疼痛。其中12名患者(39%)需要再入院并在全身麻醉下进行棘轮操作(Guichet等人)[36]。PRECICE患者的延长过程似乎轻微至无痛。
股骨术前前后位和侧位X光片。(B) 使用外固定器辅助,在扩髓前进行截骨术,以矫正既往的刺刀样畸形的髓管对线。(C) 植入PRECICE 1 12.5毫米髓内钉后的前后位和侧位X光片。刺刀样畸形已纠正。(D) 延长5厘米后的前后位和侧位X光片。可见良好骨愈合。患者最终完全愈合。)
术前站立位EOS扫描X光片。(B) 使用PRECICE 1 10.7毫米胫骨髓内钉进行双侧胫骨延长术。(C) 两周后,取出先前的股骨髓内钉,并植入双侧10.7毫米PRECICE 1转子入口髓内钉。双侧股骨延长6.5厘米,同时胫骨延长5厘米。分期植入髓内钉是为了避免因扩四个骨骼的髓腔而增加脂肪栓塞风险。(D) 患者目前身高为62英寸(158厘米)。)
设备状态
PRECICE系统的第一代于2010年9月获得CE标志,2011年7月获得FDA 510(k)批准,用于股骨或胫骨的肢体延长。PRECICE 2系统于2013年5月获得CE标志,2013 年10月获得FDA 510(k)批准。PRECICE系统于2011年在国际范围和美国开始商业使用。PRECICE 2于2013年10月获得FDA批准,在美国的临床使用始于2011年11月2013(FIGURE 11)。
PRECICE 2
2012年,针对部分病例中出现的焊点断裂和牵张失败的初步结果(帕利等人,EPOS,北美小儿骨科学会)[20], Ellipse Technologies公司与帕利开始重新设计髓内钉外壳以消除焊点,并重新设计髓内钉装置以提高其抵抗阻力下的牵张能力(FIGURES 5& 11)。首先解决了装置问题,方法是修改了驱动轴与齿轮之间的联轴器。此前,旋转磁铁的强大扭矩强度在遇到过大阻力时可能会破坏此连接。新装置对此进行了保护,其牵张强度现在提高了三倍。胫骨型号中安装了较小的磁铁,以防止由于外部遥控装置与胫骨内磁铁的距离较近而导致磁铁过扭矩。因此,PRECICE 2胫骨钉不应在股骨中使用,因为在磁铁距离较远的情况下,外部遥控装置可能无法提供足够的力量来转动较小的磁铁。该新装置于2013年5月首次亮相,并对所有PRECICE 1进行了改装。迄今为止,新型装置表现完美,尚无任何牵张失败的记录。仅在我们中心,迄今已有超过150根带有新装置的髓内钉成功植入并完成延长。
消除焊点也极大地增强了髓内钉的强度。实验室测试表明,无焊点的PRECICE 2髓内钉在抗弯强度上比原始髓内钉强四倍,在轴向载荷强度上强三倍。迄今为止,在已植入的250多例PRECICE 2髓内钉中,仅报告了两例髓内钉断裂。其中一例是我的患者,该患者此前曾接受膝关节融合术,正在接受先天性股骨延长。这位18岁的年轻男性在单侧8厘米延长术后选择忽视所有负重限制。其髓内钉在远端伸缩连接处断裂了外部壳体,出现成角但未发生长度丢失。术后3天成功更换为创伤锁定髓内钉。另一例为欧洲的胫骨钉,从近端锁定螺钉孔处断裂。经回顾该病例后,我判断该髓内钉插入位置过于前侧,导致周围骨组织支撑不良。此外,在断裂部位水平置入了一枚阻挡螺钉。由于钛合金对缺口极为敏感,阻挡螺钉在锁定孔水平轻微刻痕,加上胫骨近端截骨位置非常靠近,共同导致了髓内钉失效。此病例中外科医生操作失误是主要原因。负重限制对该髓内钉的使用至关重要。对于12.5毫米PRECICE 2,牵开阶段的负重限制已从12.5毫米PRECICE 1的50磅提高至75磅。当存在其他增加髓内钉负荷的因素时,应相应降低负重限制,如上述两例失败案例所示。PRECICE 2似乎已消除了PRECICE 1中存在的两个主要设备失效机制。公司反应迅速,并以创纪录的时间实施了这些改进。
帕利观察到的一个现象是,在一些股骨延长病例中,部分髓内钉出现了内翻弯曲(FIGURE 12)。这种情况并未导致无法牵开、明显畸形或断裂。这可能与髓内钉由钛制成有关,尤其是在双侧应用中,患者可能超限负重。一种解决方案是将髓内钉材料改为更刚硬的合金,例如钴铬合金。2014年,有报道称部分髓内钉外管末端出现碎裂。较大直径髓内钉末端在四个位置开槽,并与带有4条凸起的环状结构配合并焊接,以提供伸缩式髓内钉的防旋转稳定性。槽之间的鳍状结构即为髓内钉管末端碎裂的发生部位。该环状结构及鳍状结构已发生过断裂情况在某些情况下已发现此问题,包括本患者(FIGURE 13)。在两起案例中,该问题与髓内钉断裂有关。它还导致了髓内钉的弯曲。为了增强髓内钉强度并避免环状结构失效,Ellipse Technologies公司于2014年12月发布了P2.1,其改进了键控设计,取消了通槽和点焊焊点(FIGURE 13)。
结论
PRECICE 是最新一代可植入式肢体延长设备,也是首个获得CE认证和FDA批准、具备正向与反向长度调节功能的设备。该设备已展现出优异的速率控制,这是实现任何肢体延长良好效果的最重要因素。尽管反向装置不常使用,但在需要时非常有用。当出现骨形成失败、神经刺激或麻痹时,可用其闭合牵开间隙;当出现延迟愈合时,也可用于促进新生骨的动力化(压缩‐牵拉,即手风琴操作)。由于植入物尺寸缩小至8.5毫米直径,且设备长度缩短至195毫米,使得PRECICE可适用于低至7岁儿童的股骨。髓内钉强度以及该装置还提高了可靠性,允许负重。
专家评论
可植入式肢体延长是肢体延长技术的自然发展进程。自 1985年我涉足肢体延长领域以来,我们见证了与肢体延长直接或间接相关的技术演变[37–39]。作为金标准的外固定装置已取得进步,环形外固定器实现了计算机控制和自动化[39], ,单边外固定器增加了铰链并可跨越关节。与此同时,可植入式延长装置在获得FDA批准方面一直面临困难。早在80年代和90年代欧洲开发的Bliskunov、Albizzia和 Fitbone等早期装置从未获得FDA批准。因此,Orthofix ISKD于2001年获得FDA批准(510k)成为了 一个里程碑事件。然而,由于缺乏速率控制以及疼痛问题,人们对这一装置的初期热情受到抑制。PRECICE于2011 年获得FDA批准,标志着可植入装置发展的下一个重大里程碑。该装置进入市场后,可能很快会有其他类似装置相继出现。然而,PRECICE已经提高了标准。要想具备竞争力,一种装置必须
胫骨、踝关节和足部的术前前后位和侧位X光片。(B) 2013年11月在美国进行的首例 PRECICE 2术中透视图像,显示足部侧位上的踝关节融合和逆行植入。(C) 胫骨远端被延长了2.5厘米。(D) 踝关节被融合,并有意矫正下肢长度差异,保留1厘米差异。(E) 前后位和侧位X光片显示踝关节融合处及牵开间隙均已骨愈合。)
表现出优异的速率控制、正向和反向能力、装置具有足够的强度以抵抗再生骨和肌肉组织产生的巨大力量,以及足够的强度以允许部分负重而不会导致植入物断裂。
五年展望
Bliskunov于1983年首次提出可植入式肢体延长技术(距 今已有30多年)。因此,可植入式延长装置的应用仍处于初级阶段。由于PRECICE是首个具备正向和反向功能的肢体延长髓内钉,将其称为第一款第二代可植入式肢体延长装置是合理的。第一代装置仅能实现延长和牵开,而无法进行缩短和压缩。迄今为止,可植入式延长装置的适应证仅限于长骨延长以及用于脊柱侧弯治疗的脊柱牵开[35]。牵张治疗的金标准是外固定器。外固定器能够应用于多种其他适应证,包括通过骨搬运治疗骨缺损、通过不对称牵张治疗畸形、通过压缩‐牵拉治疗骨不连等。未来5年将涌现出大量新型遥控可植入装置,并广泛应用于各种驱动机制。我们预计将推出骨搬移钉、骨延长钢板、矫形钢板、可矫正旋转畸形和长度的创伤钉、可压缩‐牵开的骨不连治疗装置、可植入式关节牵张装置以及关节挛缩治疗装置等。目前,尺寸是主要限制因素。外固定器或外部缆线驱动的植入物是应用于幼儿、前臂、手、足部及颅颌面骨等较小骨骼的牵张技术的唯一方式。未来5年将实现遥控植入技术的微型化。
,而左侧股骨取出的髓内钉其环状结构和槽保持
2379

被折叠的 条评论
为什么被折叠?



