
这是有三AI 2019年6月份的总结,这个6月份着实发生了很多大事。
新书再印+勘误
5月份有三出版了书籍《深度学习之图像识别:核心技术和案例实战》,具体的内容大家可以点击文章阅读,7月将重印。

给大家弥补上一直没发的勘误,主要是书中的某些公式因为一些很奇怪的原因(大概率是在和编辑来回修改word的时候出乱子了)印刷出错,二次印刷会更正这些问题,现整理如下:
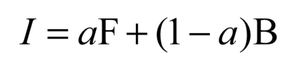
(1) 公式印刷错误。第114页公式5.23,印刷将“+”号印成了“=”,错误版本如下:

正确版本应该如下:

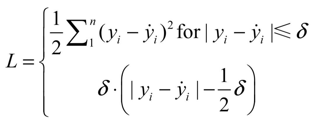
(2) 公式印刷错误。第239页公式9.31,丢失了一个“|”号:

正确版本应该如下:

(3) 多处出现下标丢失(这次word导来导出的问题真不少,有三也是很郁闷),案例如下:

该问题分别出现在第64,75,104,217,233-235,239,242-244页等处,就不一一展示了。
(4) 注释错误。第47页注释M表示百万,K表示个,这里的个应该是千。

(5) 字体与下标改善。虽然不是错误,但是为了改善可阅读性,第7-8,212-213页的相关字体和下标将进行改善,改善前如下:

改善后如下:


(6) 书中照片问题。网上有很多的朋友骂有三不应该放自己的照片,这里略作辩解一下,我朋友圈没有喜欢发自拍的习惯。
如果有三有个女朋友愿意放图或者哪个明星愿意授权肖像,一定不会放自己的图。那为什么一定要放图呢!是因为我觉得作为一本包含了很多实践内容的CV书,有丰富的图才更加容易增进初学者的理解。如果哪位同学能帮忙搞定赵丽颖的图让我做实验,稿费全给你,书挂你名字都行。

以上就是主要问题,其他还有一些不影响理解的小问题,请大家自己多留意或者进咱们书籍勘误群,或者不差钱的土豪就再买一本吧。

最后,期待这本书再版,作为一本半年多前仓促写完的书,其实还有太多的内容我没有写进去,相信很多读者也是意犹未尽。
知识星球大改版

细心的朋友可能发现了这一个月有三创作的内容并不多,除了专栏《AI修行之路》不惑境界的例行更新,新开了《AutoML》和《移动端开源框架》两个专栏之外,很少写文章,其中一部分精力就是去完善有三AI知识星球了。
在之前的七大学习板块的基础上,有了不少新的变化。
(1) “网络结构”板块已经正式升级为“网络结构1000变”,顾名思义,就是要更新1000+网络结构解读,开启了日更两篇的节奏。

(2) “看图猜技术”升级为“作业板块”,每天一到三题,内容覆盖传统图像算法,机器学习算法,深度学习算法等。第一个答对的同学将获得6.66元赞赏,目前已经出现很多抢答的学霸。

(3) 新增“数据集”板块,介绍不广为人知的新奇数据集,并很快会提供数据集下载功能,有很多的数据集还是很难搞的,有三也费了不少心思。

除此之外,还有笔试板块,读论文板块即将开设。另外,星球人数超过500后将涨价,真正需要的同学不要犹豫了,一顿饭的事,里面的内容就是再加个0都值。
【知识星球】网络结构1000变上线,下半年更新500+网络模型解读
有三AI夏季划发布

随着春季划结束,休整之后有三AI重新发布夏季划,内容更难更全,且更加贴近工业界实战,目标是系统性成长为中级CV算法工程师。这一次的报名周期会持续到国庆,请有需要的同学持续关注,点击图片阅读详细信息。
一句话,越早报名越实惠,越晚越吃亏(PS:正在给夏季划成员写一本可能不出版的电子书)。
NLP专栏上线

一直以来让大家久等了,我们的《NLP专栏》正式上线了。由任职于某知名保险公司科技中心AI团队,毕业于华中科技大学电子系的小Deam哥担任栏主,这个专栏的内容会涉及自然语言处理基础知识,chat机器人,知识图谱等。
目前已经更新了好几期内容,以下是文章一览:
【NLP】自然语言处理专栏上线,带你一步一步走进“人工智能技术皇冠上的明珠”。
【NLP】用于序列标注问题的条件随机场(Conditional Random Field, CRF)
GAN优化专栏上线

之前很多的朋友都在催我尽快更新GAN的内容,现在将分为几大方向进行更新,第一个上线的就是GAN的优化问题,由中科院二年级直博生小米粥同学担任栏主,也是有三一个实验室的亲师弟。
目前已经更新了好几期内容,以下是文章一览:
【GAN优化】GAN优化专栏栏主小米粥自述,脚踏实地,莫问前程
强化学习专栏上线

这也是很多朋友心心念念的内容,这一个强化学习专栏内容覆盖理论,应用,与其他领域的交叉研究。总共给大家准备了60多篇文章等你来follow,对于学习强化学习的同学来说,一定是不能错过的。由毕业于厦门大学理论物理专业,就职国内某电商搜索推荐团队担任高级算法工程师的行健担任栏主。
目前已经更新了好几期内容,以下是文章一览:
图像分割应用专栏上线

继《图像分割模型》专栏之后,北航博士孙叔桥再接再厉,继续深耕图像分割领域,这一次带来《图像分割应用》专栏,将讲述分割技术在医学图像,娱乐,自动驾驶等领域的应用,推荐大家继续跟进。
目前已经更新了好几期内容,以下是文章一览:
【图像分割】图像分割专栏栏主自述:分割,我们究竟在研究什么?
Python进阶专栏上线

随着专栏《AI修行之路》进入了不惑境,内容已经超过大部分人的能力,而之前公众号只更新了少量python和图像基础的内容。为了让大家继续巩固基础,掌握好编程所需要的技能,python进阶专栏开设,由吉大的汤兴旺同学担任栏主。
目前已经更新了好几期内容,以下是文章一览:
【Python进阶】Python进阶专栏栏主自述:不忘初心,砥砺前行
【Python进阶】Python进阶专栏、编程与开源框架知识星球上线,等你来follow
AutoML专栏上线

深度学习自动化相关的研究如今正是热点,包括数据的使用,特征的选择,模型架构的设计,优化方法的使用等,这一个专栏还是有三来主持。
【AutoML】AutoML专栏上线,跟Google一起见证调参党的末日?
移动端开源框架上线

随着我们12大主流深度学习开源框架的图文内容更新完毕,相应的GitHub项目发布后,这一次移动端开源框架的使用也要开始了,内容会更加贴近工业界线上服务,仍然是有三来主持。
有三AI正式跨入2.0
随着一周年总结的结束,众多专栏作者的加入,有三AI也不再只依靠有三以及极少数人进行创作,而是发展成为由更多优秀作者一起进行创作的平台,为实现三人行必有我师,三人行必有AI的愿景而努力,期待大家的加入。
转载文章请后台联系
侵权必究



往期精选
有三AI公布了6月份的总结,包括新书《深度学习之图像识别》的再版与勘误,知识星球内容的大改版,以及多个专栏的上线,如NLP、GAN优化、强化学习等,旨在帮助读者成长为中级CV算法工程师。




被折叠的 条评论
为什么被折叠?



