
黑色素瘤是最致命的皮肤癌之一,是黑色素细胞来源的一种高度恶性的肿瘤。尽管免疫疗法改善了许多黑色素瘤患者的预后,但持久的免疫疗法反应仅限于部分患者,临床试验也尝试了许多免疫疗法与其他治疗干预的组合,但目前收效有限[1,2]。
尽管科学家们仍在积极研究反应性生物标志物,但不良反应的患者中一个共同点是肿瘤内免疫细胞(itICs)的丰度和肿瘤抑制活性不足,从而无法持久抑制肿瘤生长和扩散[3]。因此,阐明itICs生物学并开发安全有效的策略来增加肿瘤抑制性,对于提高免疫疗法和相关生物标志物的疗效至关重要。
来自莫菲特癌症中心研究所(Moffitt Cancer Center & Research Institute)的癌症生物学家Eric Lau博士领导其团队在Nature Cancer上发表最新研究进展[4],其发现了L-岩藻糖(一种富含红色和棕色海藻的无毒膳食植物多糖)增加TIL的数量和抗肿瘤活性,增强抗 PD1 介导的黑色素瘤抑制,促进抗肿瘤免疫并提高免疫疗法的疗效。
当人们想到糖时,通常会想到葡萄糖或蔗糖。不同的是,L-岩藻糖不是为了提供能量,而是为了修饰蛋白质以微调它们的行为和活动。L-岩藻糖存在于一些食物中,如海藻、黄芪胶、马铃薯、猕猴桃、大豆中,但也可以通过其他分子的分解和转化在细胞内产生。L-岩藻糖对免疫和发育过程很重要,其合成和使用异常与包括癌症等疾病相关[5,6]。 研究人员发现,在HLA-DRB1蛋白上添加L-岩藻糖会使其定位于黑色素瘤细胞表面,从而触发CD4+T细胞介导的抗肿瘤免疫细胞活性,黑色素瘤中较高水平的 L-岩藻糖与较少的侵袭性疾病和更好的治疗反应相关。

文章截图
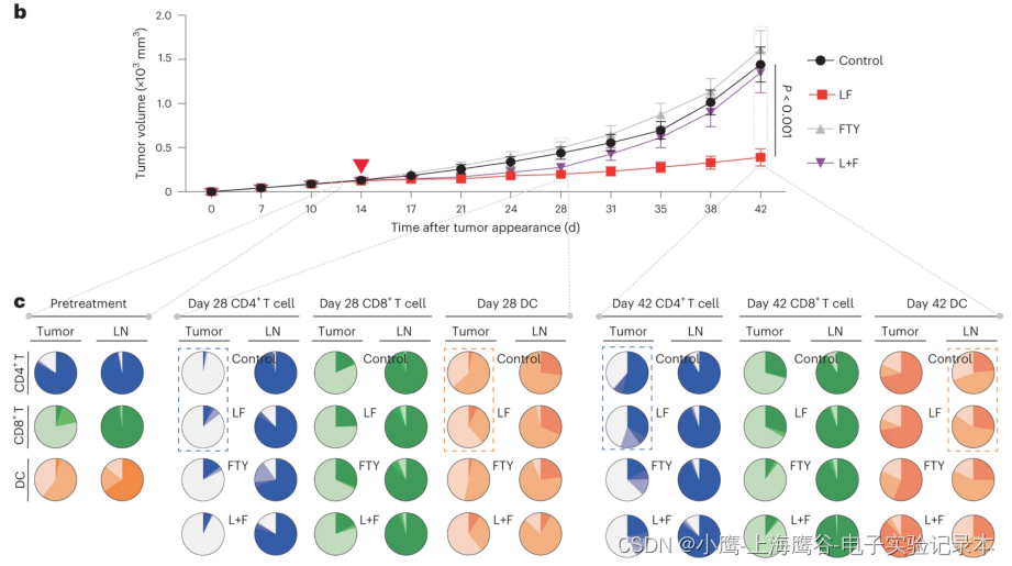
首先,研究人员使用NRAS G13D突变小鼠黑色素瘤 (SW1) 模型9评估L-fuc诱导的itICs 变化如何促进黑色素瘤抑制,发现通过膳食补充剂提高 L-岩藻糖水平可以抑制肿瘤,显著增加 TIL 并增强动物模型中某些免疫疗法的疗效。磷酸化蛋白质组学和岩藻糖基化蛋白质组学分析表明,淋巴结流出的抑制完全消除了L-fuc 触发的肿瘤抑制,尤其是L-FUC触发的肿瘤抑制与肿瘤内CD4+T中枢和效应记忆亚群的增加有关。这些数据表明,黑色素瘤岩藻糖基化与小鼠和人类肿瘤内 CD3+T细胞增加相关,并且可以通过口服L-fuc来增强以增加 itICs并抑制BRAF-和NRAS -突变黑色素瘤。


图1 L -fuc 触发 CD4 ± T 细胞诱导的 itIC 并改变 CD4 ± T 细胞生物学
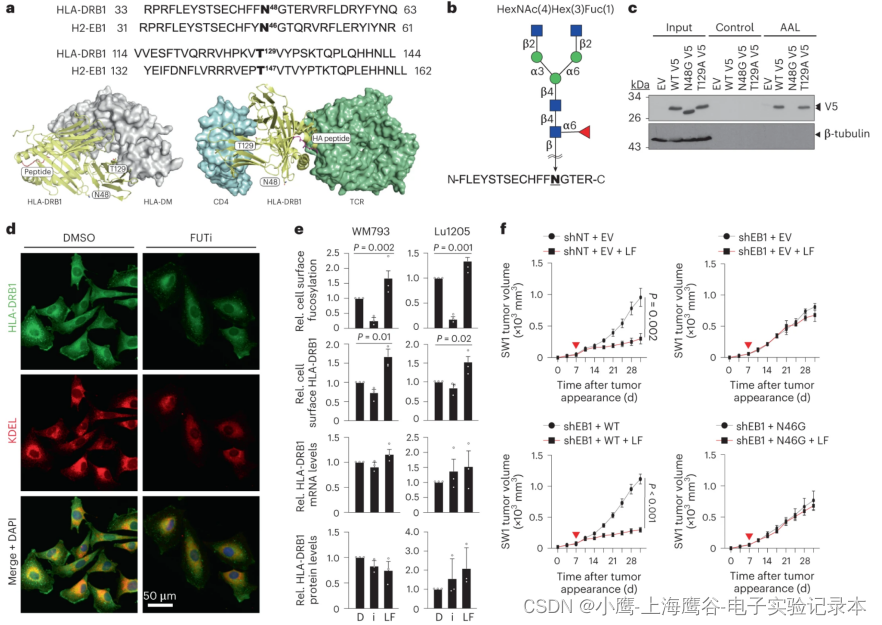
为了鉴定有助于岩藻糖基化触发、CD4 + T 细胞介导的黑色素瘤抑制的黑色素瘤蛋白,研究人员对来自人黑色素瘤细胞的岩藻糖基化蛋白进行液相色谱-质谱 (LC-MS/MS) 分析,其中MHC-I和MHC-II蛋白HLA-A和HLA-DRB1分别被确定为唯一的抗原呈递和质膜蛋白T细胞调节功能。HLA-DRB1 N48G glycofucomutant 在 LPD 测定中不与 AAL 结合,证实了 N-连接聚糖上 N48 处的岩藻糖基化。因此,岩藻糖基化HLA-DRB1诱导 itICs 和黑色素瘤抑制,并调节 HLA-DRB1 定位和免疫效应。

图2 N48处HLA-DRB1的N连接岩藻糖基化调节其细胞表面定位,并且是肿瘤抑制和增加 itICs丰度所必需的
据报道,MHC-II的表达与增强的抗 PD1 功效相关[7]。研究人员检测了使用口服L-fuc是否能够增加CD4+T细胞介导的itICs诱导和抑制肿瘤,继而可用于增强抗PD1功效。结果显示,在动物模型中,L-fuc的肿瘤抑制作用低于单独的抗 PD1 疗法,而是与抗 PD1 疗法联合使用可增强持久抑制。此外,单独给予L-fuc可增加瘤内CD4+T中枢和效应记忆细胞,当与抗 PD1 疗法联合使用时效果会增加,cDC2 细胞和moDCs在淋巴结中扩增。

图3 联合L-fuc和抗PD1 疗法可抑制肿瘤并增加肿瘤内CD4+T中枢和效应记忆细胞
黑色素瘤岩藻糖基化对黑色素瘤抗PD1治疗有何临床意义呢?
为了评估肿瘤特异性岩藻糖基化和个体肿瘤细胞的总/岩藻糖基化HLA-DRB1和肿瘤内CD4+T细胞数量与单药抗 PD1 治疗应答状态的相关性,研究人员在来自两名不同反应者和两名非反应者患者的原发性黑色素瘤活检,然后进行单细胞分段信号定量。与无反应者相比,有反应者的肿瘤明显包含具有高水平岩藻糖基化和总HLA-DRB1。尽管与无反应者相比,两名反应者中只有一名的肿瘤含有黑色素瘤细胞,其岩藻糖基化HLA-DRB1水平升高,这种趋势反映了瘤内CD4+T细胞计数的趋势,与岩藻糖基化HLA-DRB1 在CD4+T细胞介导的肿瘤抑制中的作用一致。

图4 黑色素瘤岩藻糖基化HLA-DRB1对黑色素瘤抗PD1治疗的临床意义
总而言之,研究团队结合动物实验和人类肿瘤活检组织,发现膳食糖的给药作为增加 itICs 和增强免疫检查点阻断抗 PD1 剂功效的一种方式。添加L-岩藻糖可诱导黑色素瘤细胞中MHC-II蛋白HLA-DRB1岩藻糖基化并在细胞表面富集,触发CD4+T细胞介导的itIC增加和抗肿瘤免疫,增强免疫检查点阻断疗法反应。
“我们的研究结果确定并描述了L-岩藻糖调节黑色素瘤和免疫细胞之间重要界面的分子机制。这种机制可以通过简单地喂食 L-岩藻糖来进行治疗,这表明一种具有挑衅性且几乎违反直觉的可能性:使用糖来抗癌,”本文通讯作者Lau博士谈道。
HLA-DRB1的岩藻糖基化是黑素瘤中itICs丰度的关键调节因子,并且这种机制与岩藻糖基化调节的CD4+T细胞生物学协同,可以通过口服L-fuc 给药进行治疗。机制决定因素的阐明有望促进科学家对黑色素瘤和其他癌症的免疫生物学的理解,并为实施岩藻糖基化和/或岩藻糖基化HLA-DRB1作为生物标志物和L-fuc作为治疗剂提供理论基础。
展望未来,Lau博士和他的团队希望将此临床前研究转化为更直接地疗法帮助患者,并确定L-岩藻糖可以增强免疫疗法的程度,即从黑色素瘤患者的小型临床试验开始。
研究发现,L-岩藻糖能增加黑色素瘤中的肿瘤浸润性淋巴细胞(TILs),并通过调节HLA-DRB1的岩藻糖基化增强CD4+T细胞介导的免疫反应,可能提升免疫疗法的效果。这一发现为黑色素瘤的治疗提供了新的策略,并可能影响免疫生物学的理解。
853

被折叠的 条评论
为什么被折叠?



