✅作者简介:热爱科研的Matlab仿真开发者,擅长数据处理、建模仿真、程序设计、完整代码获取、论文复现及科研仿真。
🍎 往期回顾关注个人主页:Matlab科研工作室
🍊个人信条:格物致知,完整Matlab代码及仿真咨询内容私信。
🔥 内容介绍
图像分割是计算机视觉领域中的一个核心任务,旨在将图像划分为不同的区域或对象,以便于后续的分析和理解。在众多图像分割方法中,主动轮廓模型(Active Contour Models, ACMs)以其能够有效处理图像噪声和弱边缘等复杂情况而受到广泛关注。传统的几何活动轮廓模型,如Chan-Vese模型,主要依赖于图像的全局信息,通过最小化能量泛函来驱动轮廓演化。然而,面对具有复杂纹理、灰度不均匀或局部特征显著的图像时,全局模型往往表现出局限性。为了克服这些限制,研究者们提出了基于局部信息的主动轮廓模型。其中,由局部高斯分布拟合能量驱动的活动轮廓模型,采用变分水平集形式,为处理此类复杂图像分割任务提供了有效途径。
局部高斯分布拟合能量驱动的活动轮廓模型的核心思想是利用图像局部区域的统计特性来构建能量泛函。与全局模型假设图像区域内灰度分布服从单一统计模型不同,局部模型认为图像的每个局部区域可能具有其独特的统计分布。通过在每个局部区域内拟合高斯分布,该模型能够更精细地捕捉图像的局部特征,从而更好地处理灰度不均匀的图像。这种局部信息的使用使得模型对图像噪声和边缘模糊具有更强的鲁棒性。
在数学形式上,这种模型通常采用水平集方法来实现。水平集方法将活动轮廓表示为一个高维函数的零水平集,使得轮廓的演化可以通过求解偏微分方程来实现。这种表示方法具有拓扑自适应性,能够自然地处理轮廓的分裂和合并,极大地简化了复杂拓扑变化的建模。变分水平集形式则意味着模型的演化是通过最小化一个包含局部高斯分布拟合能量的泛函来实现的。该能量泛函通常包含两部分:数据项和正则项。数据项负责驱动轮廓向目标对象的边缘移动,而正则项则保持轮廓的光滑性,避免其出现不必要的锯齿状结构。
局部高斯分布拟合能量的数据项通常通过计算轮廓内外局部区域的灰度值与对应高斯分布的拟合优度来构建。具体而言,对于轮廓内部和外部的每个像素点,模型会考虑其在一个局部窗口内的像素灰度值,并基于这些局部像素值估计出各自的高斯分布参数(均值和方差)。然后,通过比较当前像素的灰度值与估计出的高斯分布的概率密度函数,计算出一个“拟合能量”或“距离度量”。当轮廓位于目标对象边缘时,轮廓内外局部区域的灰度分布会发生显著变化,导致拟合能量达到最小值,从而驱动轮廓收敛到正确的分割结果。
相较于传统的全局模型,局部高斯分布拟合能量驱动的活动轮廓模型展现出显著的优势。首先,它能够有效处理灰度不均匀的图像。在许多医学图像或自然图像中,目标对象内部的灰度值可能不是均匀的,而局部模型通过考虑每个局部区域的独特统计特性,能够更好地适应这种变化。其次,该模型对噪声具有更强的鲁棒性。通过局部区域的统计平均,模型能够抑制随机噪声对分割结果的影响。第三,它在处理弱边缘或模糊边缘时表现更优。局部信息的使用使得模型能够更好地捕捉那些在全局尺度上不明显的边缘特征。
然而,局部高斯分布拟合模型也存在一定的挑战。首先,局部窗口大小的选择对分割结果至关重要。过小的窗口可能导致模型对噪声过于敏感,而过大的窗口则可能引入不相关的背景信息,影响局部特征的提取。其次,模型的计算复杂度相对较高,因为需要在每个局部区域内进行高斯分布的拟合。此外,模型对初始轮廓的位置和形状也可能存在一定的敏感性,不当的初始化可能导致模型收敛到局部最优解而非全局最优解。
为了应对这些挑战,研究者们提出了多种改进策略。例如,可以采用多尺度分析的方法,在不同尺度上提取局部特征,以兼顾模型的鲁棒性和精度。同时,结合其他图像特征,如梯度信息或纹理特征,可以进一步增强模型的性能。此外,优化能量泛函的设计,引入更有效的正则项或自适应的权重参数,也可以提高模型的稳定性和收敛速度。
由局部高斯分布拟合能量驱动的活动轮廓模型,采用变分水平集形式,在图像分割领域具有重要的理论意义和应用价值。它通过充分利用图像的局部统计特性,有效克服了传统全局模型在处理复杂图像时的局限性。尽管仍面临一些挑战,但随着算法的不断优化和计算能力的提升,这类模型有望在医学图像分析、遥感图像处理和目标识别等领域发挥更大的作用,为实现更精确、更鲁棒的图像分割提供强有力的工具。未来的研究方向可以包括探索更先进的局部统计模型、结合深度学习方法以及开发更高效的优化算法,以进一步提升模型的性能和适用范围。
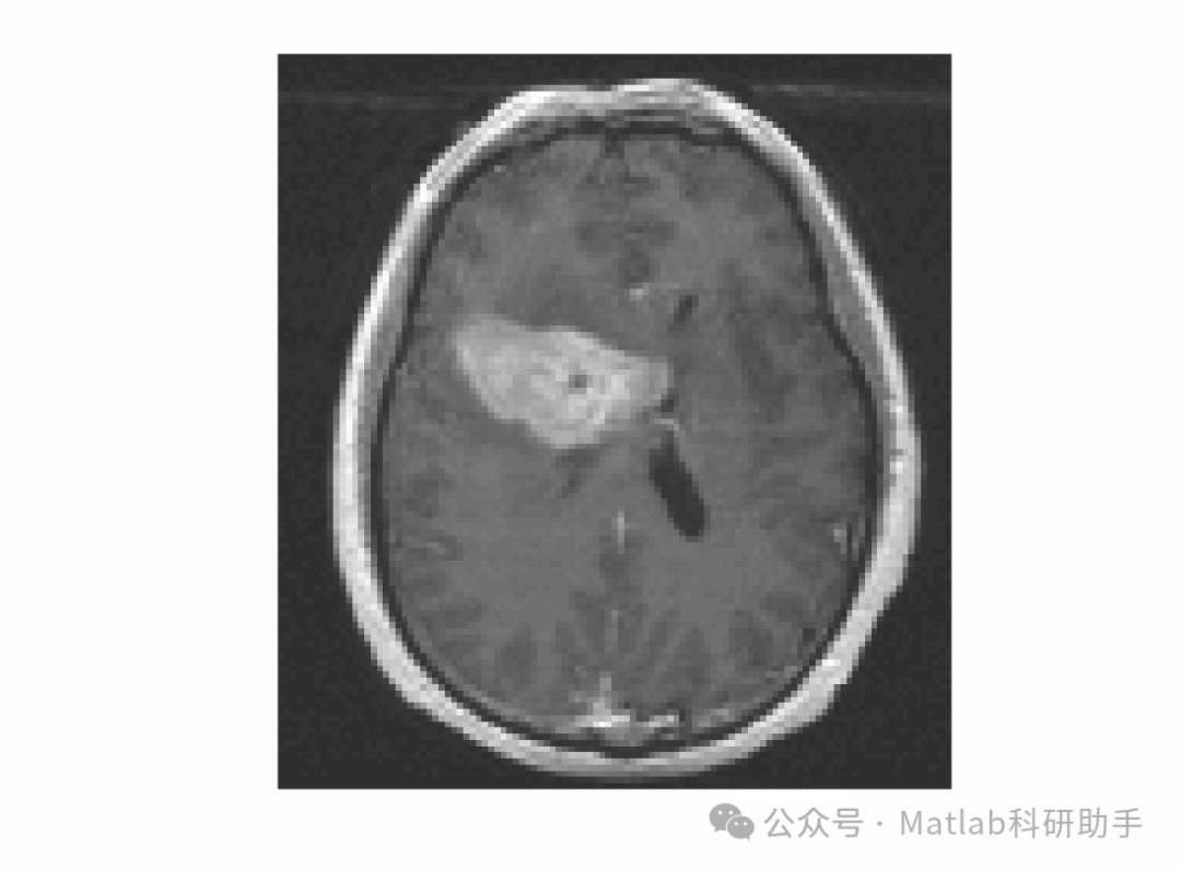
⛳️ 运行结果





🔗 参考文献
[1] 于晓升.基于偏微分方程的图像处理技术研究[D].东北大学,2014.
[2] 黄建波,蔡迪明,罗燕.基于特征学习框架的前列腺超声图像分割方法研究[J].生物医学工程与临床, 2018, 22(6):7.DOI:10.13339/j.cnki.sglc.20181112.002.
[3] 任荟霖.局部高斯拟合能量驱动的活动轮廓图像分割与校正模型[D].哈尔滨工业大学[2025-10-14].
📣 部分代码
🎈 部分理论引用网络文献,若有侵权联系博主删除
👇 关注我领取海量matlab电子书和数学建模资料
🏆团队擅长辅导定制多种科研领域MATLAB仿真,助力科研梦:
🌈 各类智能优化算法改进及应用
生产调度、经济调度、装配线调度、充电优化、车间调度、发车优化、水库调度、三维装箱、物流选址、货位优化、公交排班优化、充电桩布局优化、车间布局优化、集装箱船配载优化、水泵组合优化、解医疗资源分配优化、设施布局优化、可视域基站和无人机选址优化、背包问题、 风电场布局、时隙分配优化、 最佳分布式发电单元分配、多阶段管道维修、 工厂-中心-需求点三级选址问题、 应急生活物质配送中心选址、 基站选址、 道路灯柱布置、 枢纽节点部署、 输电线路台风监测装置、 集装箱调度、 机组优化、 投资优化组合、云服务器组合优化、 天线线性阵列分布优化、CVRP问题、VRPPD问题、多中心VRP问题、多层网络的VRP问题、多中心多车型的VRP问题、 动态VRP问题、双层车辆路径规划(2E-VRP)、充电车辆路径规划(EVRP)、油电混合车辆路径规划、混合流水车间问题、 订单拆分调度问题、 公交车的调度排班优化问题、航班摆渡车辆调度问题、选址路径规划问题、港口调度、港口岸桥调度、停机位分配、机场航班调度、泄漏源定位
🌈 机器学习和深度学习时序、回归、分类、聚类和降维
2.1 bp时序、回归预测和分类
2.2 ENS声神经网络时序、回归预测和分类
2.3 SVM/CNN-SVM/LSSVM/RVM支持向量机系列时序、回归预测和分类
2.4 CNN|TCN|GCN卷积神经网络系列时序、回归预测和分类
2.5 ELM/KELM/RELM/DELM极限学习机系列时序、回归预测和分类
2.6 GRU/Bi-GRU/CNN-GRU/CNN-BiGRU门控神经网络时序、回归预测和分类
2.7 ELMAN递归神经网络时序、回归\预测和分类
2.8 LSTM/BiLSTM/CNN-LSTM/CNN-BiLSTM/长短记忆神经网络系列时序、回归预测和分类
2.9 RBF径向基神经网络时序、回归预测和分类
2.10 DBN深度置信网络时序、回归预测和分类
2.11 FNN模糊神经网络时序、回归预测
2.12 RF随机森林时序、回归预测和分类
2.13 BLS宽度学习时序、回归预测和分类
2.14 PNN脉冲神经网络分类
2.15 模糊小波神经网络预测和分类
2.16 时序、回归预测和分类
2.17 时序、回归预测预测和分类
2.18 XGBOOST集成学习时序、回归预测预测和分类
2.19 Transform各类组合时序、回归预测预测和分类
方向涵盖风电预测、光伏预测、电池寿命预测、辐射源识别、交通流预测、负荷预测、股价预测、PM2.5浓度预测、电池健康状态预测、用电量预测、水体光学参数反演、NLOS信号识别、地铁停车精准预测、变压器故障诊断
🌈图像处理方面
图像识别、图像分割、图像检测、图像隐藏、图像配准、图像拼接、图像融合、图像增强、图像压缩感知
🌈 路径规划方面
旅行商问题(TSP)、车辆路径问题(VRP、MVRP、CVRP、VRPTW等)、无人机三维路径规划、无人机协同、无人机编队、机器人路径规划、栅格地图路径规划、多式联运运输问题、 充电车辆路径规划(EVRP)、 双层车辆路径规划(2E-VRP)、 油电混合车辆路径规划、 船舶航迹规划、 全路径规划规划、 仓储巡逻
🌈 无人机应用方面
无人机路径规划、无人机控制、无人机编队、无人机协同、无人机任务分配、无人机安全通信轨迹在线优化、车辆协同无人机路径规划
🌈 通信方面
传感器部署优化、通信协议优化、路由优化、目标定位优化、Dv-Hop定位优化、Leach协议优化、WSN覆盖优化、组播优化、RSSI定位优化、水声通信、通信上传下载分配
🌈 信号处理方面
信号识别、信号加密、信号去噪、信号增强、雷达信号处理、信号水印嵌入提取、肌电信号、脑电信号、信号配时优化、心电信号、DOA估计、编码译码、变分模态分解、管道泄漏、滤波器、数字信号处理+传输+分析+去噪、数字信号调制、误码率、信号估计、DTMF、信号检测
🌈电力系统方面
微电网优化、无功优化、配电网重构、储能配置、有序充电、MPPT优化、家庭用电
🌈 元胞自动机方面
交通流 人群疏散 病毒扩散 晶体生长 金属腐蚀
🌈 雷达方面
卡尔曼滤波跟踪、航迹关联、航迹融合、SOC估计、阵列优化、NLOS识别
🌈 车间调度
零等待流水车间调度问题NWFSP 、 置换流水车间调度问题PFSP、 混合流水车间调度问题HFSP 、零空闲流水车间调度问题NIFSP、分布式置换流水车间调度问题 DPFSP、阻塞流水车间调度问题BFSP
👇

被折叠的 条评论
为什么被折叠?



