1、Detection-aided liver lesion segmentation using deep learning
2、Automatic Liver and Tumor Segmentation of CT and MRI Volumes Using Cascaded Fully Convolutional Neural Networks
https://github.com/IBBM/Cascaded-FCN
一、Method
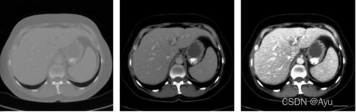
- 第一步:数据预处理和神经网络分割的准备。
- 原始切片的Hounsfield单位范围为-100-400hu,忽略了不感兴趣的器官和组织。
- 进一步实验直方图均衡化,增强异常组织的对比度。

- 数据增强:弹性编写那个、平移旋转、带有当前切片标准差的高斯噪声。
- 第二步:两个级联的完全卷积神经网络首先第一个U-Net分割肝脏,然后第二个U-Net从第一步分割的肝脏感兴趣区域(ROI)中学习分割病变。
-
类平衡对于医学图像分割很重要。(因为来自自然图像的预先训练的网络不能被正确使用,而且感兴趣的类在数据集中出现得更少。)

最低0.47元/天 解锁文章
2357

被折叠的 条评论
为什么被折叠?



