✅作者简介:热爱科研的Matlab仿真开发者,修心和技术同步精进,matlab项目合作可私信。
🍎个人主页:Matlab科研工作室
🍊个人信条:格物致知。
更多Matlab仿真内容点击👇
⛄ 内容介绍
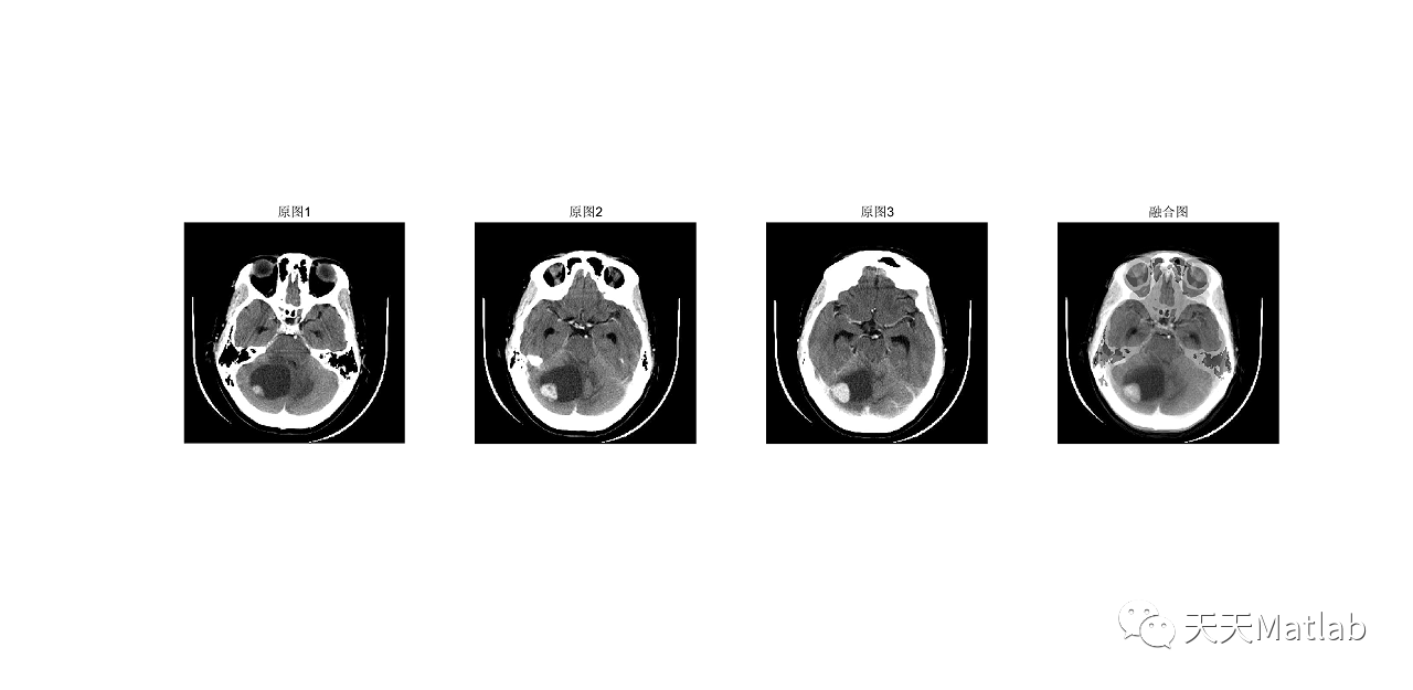
为了将低分辨率医学图像和高分辨率全色图像有效地融合,提出了主成分分析(PCA)变换和小波相结合的融合方法.小波提升后选用不同的融合规则对高低频成分进行融合,实验结果表明,该方法较好地保留了医学图像的光谱特性,提高了空间分辨率.
⛄ 部分代码
% fuse_pcaany implements principal components analysis for any number of
% input images
function [y1 a1] = fuse_pcaany(ca,n)
for i=1:1:n
M(:,i)=ca{i}(:);
end
[V, D] = eig(cov(M));
[z1 s1] = size(D);
for i=1:1:s1
D1(i)=D(i,i);
end
D2=max(D1(i));
for i=1:1:s1
if D1(i)==D2;
a1 = V(:,i)./sum(V(:,i));
end
end
[z2 s2]=size(ca{1});
% and fuse
y1=zeros(z2,s2);
for i=1:1:n
y = a1(i)*ca{i};
y1=y1+y;
end
⛄ 运行结果


⛄ 参考文献
[1]邢鹏昌. 基于主成分分析变换和提升小波的图像融合[J]. 三明学院学报, 2012, 29(4):6.
[2]刘姝岑. 基于PCA和DWT变换的不同重采样方法图像融合效果评价对比分析[J]. 科学技术创新, 2022(12):70-74.
❤️ 关注我领取海量matlab电子书和数学建模资料
❤️部分理论引用网络文献,若有侵权联系博主删除
PCA与小波结合的医学图像融合方法
1534

被折叠的 条评论
为什么被折叠?



