今天收到几个头模型,开洞太大了,不方便进行点云计算,为了做封口捣鼓一番以后有如下笔记:
(1)加载模型文件(obj/stl/ply)
(2) 进入Data 模块,将模型转成可以编辑的segmentation 类型
(3)进入Segmentations 选中上一步输出的分割体

(4) export 成可以编辑的二值模式

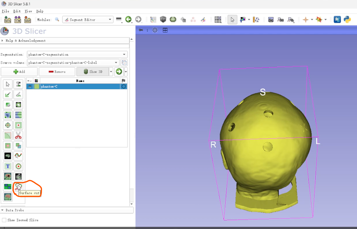
(5) 进入segment Editor 模块选中上两步的输出

(6)采用新“剪刀”功能进行填充处理

进入工具以后通过落点,并鼠标右键结束,Apply 就可完成表面填充

采用3D slicer对模型填表面空洞
于 2025-09-18 15:25:48 首次发布
8652

被折叠的 条评论
为什么被折叠?



