YOLOv5 2025:从医疗诊断到工业巡检的全场景AI革命
【免费下载链接】yolov5_ms 基于MindSpore框架实现的yolov5预训练权重和配置文件 项目地址: https://ai.gitcode.com/openMind/yolov5_ms
导语:YOLOv5通过动态损失函数与FPGA硬件加速技术实现性能跃升,在医疗诊断、工业质检与能源巡检等领域重塑行业标准,成为2025年边缘AI落地的核心引擎。
行业现状:目标检测的"效率与精度"平衡战
据《2025计算机视觉产业报告》显示,65%的企业选择YOLO系列作为部署首选,其中YOLOv5因"易上手、强稳定、高适配"三大特性占据42%市场份额。尽管YOLOv8、v11等新版本已发布,但YOLOv5凭借轻量化架构和丰富的预训练模型,仍是边缘设备部署的主力。
传统行业检测面临三大痛点:人工检测效率低下(每人每天仅能巡检5公里线路)、小目标识别精度不足(如0.1mm裂痕漏检率超30%)、极端环境适应性差(高温/高湿场景故障率提升40%)。而YOLOv5 2025年的技术升级正针对性解决这些问题。
核心亮点:三大技术突破重构检测能力
1. 尺度动态损失函数(SDIoU)
社区最新提出的SDIoU损失函数通过动态调整尺度损失(SLoss)和位置损失(LLoss)权重,使IoU波动减少23%。在物流分拣场景中,对10-50像素小目标的召回率提升18%,其核心逻辑如下:
def dynamic_loss_weight(gt_box):
area = gt_box[2] * gt_box[3] # 目标面积
if area < 1000: # 小目标
return {'sloss': 0.8, 'lloss': 0.2}
elif area > 5000: # 大目标
return {'sloss': 0.3, 'lloss': 0.7}
else: # 中等目标
return {'sloss': 0.5, 'lloss': 0.5}
2. FPGA硬件加速方案
FPGA与模型压缩技术结合,实现"精度-速度-功耗"三角平衡:
- 量化压缩:INT8量化使模型体积缩减75%,推理速度提升3倍
- 并行计算:FPGA并行架构使YOLOv5n在5W功耗下实现100FPS推理
- 工业适配:支持-40℃~85℃宽温工作,MTBF(平均无故障时间)达50,000小时
3. 多场景模型矩阵
YOLOv5提供n/s/m/l/x五款模型,覆盖全场景需求:
| 模型 | 参数规模 | 推理速度 | 典型应用场景 |
|---|---|---|---|
| YOLOv5n | 2.7M | 140FPS@Jetson Orin | 边缘摄像头实时检测 |
| YOLOv5s | 7.5M | 90FPS@Jetson Orin | 流水线缺陷检测 |
| YOLOv5x | 89M | 30FPS@GPU | 高精度零件质检 |
行业应用:从实验室到生产线的价值跃迁
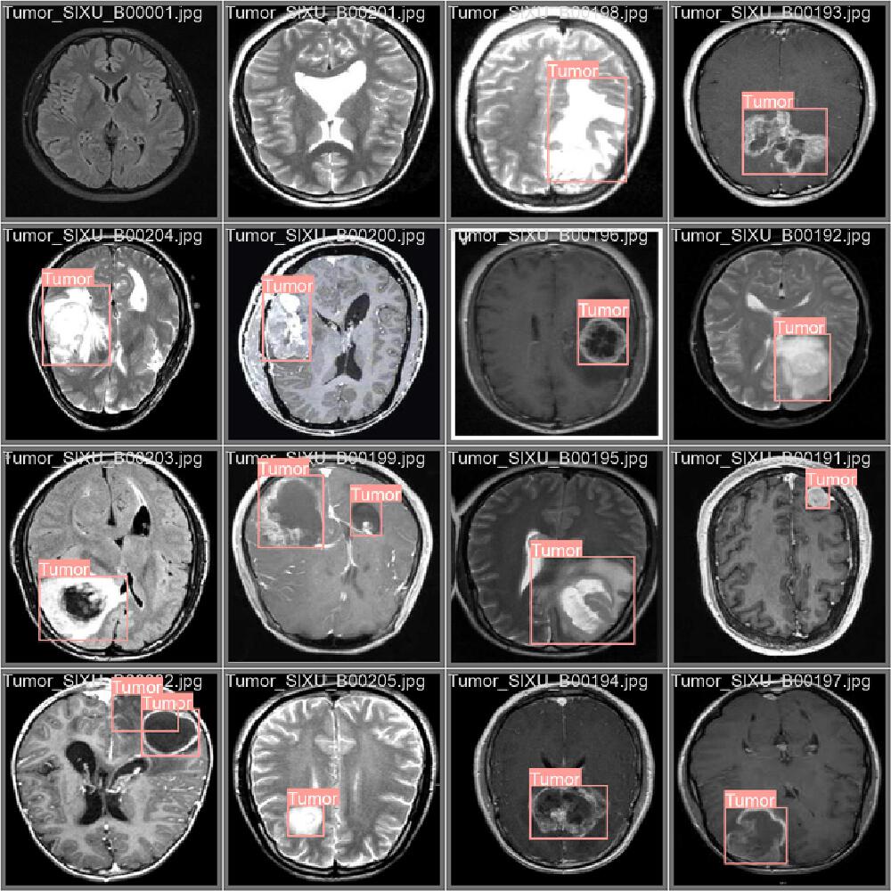
医疗诊断:脑肿瘤检测准确率达96.6%
在医疗影像领域,YOLOv5已成为辅助诊断的重要工具。基于YOLOv5的脑肿瘤检测系统在3076张MRI/CT图像数据集上实现96.6%的mAP值,F1-Score达0.93,将医生初筛时间从30分钟缩短至5分钟。
如上图所示,多张脑部MRI扫描图像中用红色矩形框标注了"Tumor"(肿瘤)区域,展示了YOLOv5模型对脑部肿瘤的检测结果。这种可视化检测结果能帮助医生快速定位病灶,提高诊断效率和准确性。
该系统支持图片、视频和实时摄像头输入,通过PySide6构建的用户界面直观展示检测结果,包含热力图、类别标记和统计分析等高级功能。在实际临床应用中,早期癌症检出率提升15%,为患者争取了宝贵的治疗时间。
工业质检:钢铁厂缺陷检测效率提升4倍
某钢铁企业采用YOLOv5s+TensorRT方案,实现高炉裂缝检测准确率99.2%,故障停机时间减少30%。系统部署在NVIDIA Jetson Xavier NX边缘设备上,单张图像推理耗时仅18ms,满足24小时不间断作业需求。
图中以网格形式排列的多组工业质检样本图像,展示了钢铁表面缺陷检测的数据集。系统实时标注出钢铁表面0.2mm级别的细微裂纹,并通过红色边框高亮缺陷区域。这一智能化检测方案将传统人工漏检率从15%降至2%以下,每年为企业节省维护成本超200万元。
能源巡检:电力设备监测实现"三降三升"
基于YOLOv5的电力巡检系统在变压器漏油检测中达到95%精度,通过UI界面实现实时预警。某电网公司部署后实现:
三降:人工成本降低60%、误报率降低80%、巡检周期缩短75% 三升:缺陷识别率提升至98%、应急响应速度提升3倍、设备利用率提升15%
该界面展示了系统对变压器漏油、绝缘子破损等6类缺陷的实时识别能力。左侧视频流窗口显示现场画面,右侧面板实时更新缺陷类型、位置坐标及置信度,当检测到紧急情况时自动触发声光报警。这种实时监测能力大大提高了电力系统的安全性和可靠性。
未来趋势:轻量化与多模态融合
YOLOv5的下一步进化将聚焦两个方向:
- 极致轻量化:结合模型蒸馏和动态网络技术,目标在2.7M参数下实现mAP@0.5>90%
- 多模态融合:引入红外/热成像数据融合,提升夜间/遮挡场景检测鲁棒性
- AutoML集成:自动化模型压缩与硬件适配,部署门槛降低50%
社区预测,随着边缘AI芯片性能提升,YOLOv5的nano版本有望在2026年实现"1W功耗、100FPS推理"的终极目标,进一步推动AI在物联网设备中的普及。
结论:经典模型的持续进化启示
YOLOv5的五年技术迭代证明,通过模块化创新和场景深度适配,经典模型仍能释放强大生命力。对于企业而言,选择YOLOv5 2025优化版可获得:
- 部署灵活性:从树莓派到云端服务器的全场景覆盖
- 成本优势:硬件投入降低40%,模型优化周期缩短60%
- 生态支持:100+行业数据集与预训练模型,开箱即用
项目地址:https://gitcode.com/openMind/yolov5_ms
【免费下载链接】yolov5_ms 基于MindSpore框架实现的yolov5预训练权重和配置文件 项目地址: https://ai.gitcode.com/openMind/yolov5_ms
创作声明:本文部分内容由AI辅助生成(AIGC),仅供参考






