✅作者简介:热爱科研的Matlab仿真开发者,擅长数据处理、建模仿真、程序设计、完整代码获取、论文复现及科研仿真。
🍎个人主页:Matlab科研工作室
🍊个人信条:格物致知,求助可私信。
🔥 内容介绍
肾结石是一种常见的泌尿系统疾病,其早期诊断和精确测量对制定有效的治疗方案至关重要。传统的肾结石诊断方法依赖于X射线、CT扫描或超声等医学影像技术。然而,这些影像常常受到噪声干扰,影响医生的判断和测量精度。因此,开发一种能够有效去除噪声并精确识别和测量肾结石的自动化图像处理方法具有重要的临床意义。本文将深入探讨基于中值滤波的医学图像肾结石识别和长度测量方法,分析其原理、流程以及优缺点,并展望未来的研究方向。
一、 医学图像预处理:中值滤波的应用
医学影像数据通常包含各种噪声,例如椒盐噪声、高斯噪声等,这些噪声会严重影响图像的质量,从而干扰后续的结石识别和长度测量。中值滤波是一种非线性滤波方法,其基本原理是将图像中每个像素点的灰度值替换为其邻域像素灰度值的中值。与均值滤波相比,中值滤波对椒盐噪声具有更强的抑制能力,能够有效去除孤立的噪声点,同时更好地保留图像的边缘细节。在肾结石检测中,由于结石边缘往往比较锐利,因此中值滤波可以有效去除噪声,同时避免过度平滑导致结石边缘模糊不清,从而提高后续图像分割和测量精度。
具体而言,中值滤波的实现步骤如下:
-
确定滤波窗口大小: 滤波窗口大小的选择会影响滤波效果。较小的窗口能够更好地保留细节,但噪声去除效果较弱;较大的窗口能够有效去除噪声,但可能会导致细节损失。因此,需要根据图像的噪声水平和结石大小选择合适的窗口大小,通常为3×3或5×5。
-
计算窗口内像素灰度值的中值: 将滤波窗口在图像上滑动,每次计算窗口内所有像素的灰度值,并将其排序,取中间值作为该窗口中心像素的新灰度值。
-
替换像素灰度值: 将计算得到的中值替换原图像中对应像素点的灰度值。
-
重复步骤2和3: 直到处理完图像中的所有像素点。
二、 肾结石识别与分割
在中值滤波去除噪声后,需要对图像进行肾结石识别和分割,以准确定位结石区域。常用的图像分割方法包括阈值分割、区域生长、边缘检测等。考虑到肾结石在X光或CT图像中通常表现为高密度区域,阈值分割法是一种相对简单且有效的方案。选择合适的阈值是关键,可以采用Otsu算法等自适应阈值分割方法,根据图像灰度分布自动确定最佳阈值,以减少人为干预。
在阈值分割后,还需要对分割结果进行后处理,例如去除小的噪声区域,填充小的孔洞,以获得更准确的结石区域轮廓。形态学操作,例如开运算和闭运算,可以有效地去除毛刺和填充孔洞。
三、 肾结石长度测量
在准确分割出肾结石区域后,即可进行长度测量。可以使用图像处理库提供的函数计算轮廓的长度,例如OpenCV中的arcLength函数。该函数可以计算轮廓的周长,对于形状不规则的肾结石,此方法可以提供相对准确的长度估计。 对于形状较为规则的结石,也可以通过计算轮廓的最小外接矩形来估计长度。
四、 系统实现与结果分析
基于上述方法,可以构建一个完整的医学图像肾结石识别和长度测量系统。系统可以利用Python等编程语言结合OpenCV等图像处理库实现。在系统开发过程中,需要对不同参数进行调整和优化,例如中值滤波窗口大小、阈值选择等,以达到最佳的识别和测量精度。 系统性能的评价指标可以包括准确率、召回率、F1值以及测量误差等。 实验结果需要与临床诊断结果进行对比,验证系统的有效性和可靠性。
五、 未来研究方向
尽管基于中值滤波的肾结石识别和长度测量方法具有较好的实用价值,但仍存在一些不足之处。未来研究可以从以下几个方面入手:
-
改进噪声去除算法: 探索更先进的噪声去除算法,例如小波变换、非局部均值滤波等,以提高图像质量,特别是针对复杂噪声环境下的图像处理。
-
提高分割精度: 研究更鲁棒的图像分割算法,例如基于深度学习的分割方法,以提高对形状不规则、边界模糊的结石的识别和分割精度。
-
开发三维测量方法: 将二维图像处理方法扩展到三维,对CT扫描等三维影像进行处理,从而获得更全面的结石信息。
-
结合临床信息: 将图像处理结果与患者的临床信息相结合,建立更完善的诊断模型,提高诊断的准确性和可靠性。
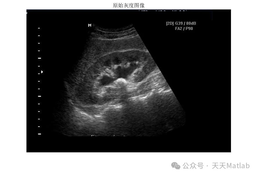
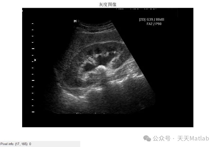
⛳️ 运行结果







🔗 参考文献
🎈 部分理论引用网络文献,若有侵权联系博主删除
👇 关注我领取海量matlab电子书和数学建模资料
🎁 私信完整代码和数据获取及论文数模仿真定制
🌿 往期回顾可以关注主页,点击搜索
🏆团队擅长辅导定制多种科研领域MATLAB仿真,助力科研梦:
🌈 各类智能优化算法改进及应用
生产调度、经济调度、装配线调度、充电优化、车间调度、发车优化、水库调度、三维装箱、物流选址、货位优化、公交排班优化、充电桩布局优化、车间布局优化、集装箱船配载优化、水泵组合优化、解医疗资源分配优化、设施布局优化、可视域基站和无人机选址优化、背包问题、 风电场布局、时隙分配优化、 最佳分布式发电单元分配、多阶段管道维修、 工厂-中心-需求点三级选址问题、 应急生活物质配送中心选址、 基站选址、 道路灯柱布置、 枢纽节点部署、 输电线路台风监测装置、 集装箱调度、 机组优化、 投资优化组合、云服务器组合优化、 天线线性阵列分布优化、CVRP问题、VRPPD问题、多中心VRP问题、多层网络的VRP问题、多中心多车型的VRP问题、 动态VRP问题、双层车辆路径规划(2E-VRP)、充电车辆路径规划(EVRP)、油电混合车辆路径规划、混合流水车间问题、 订单拆分调度问题、 公交车的调度排班优化问题、航班摆渡车辆调度问题、选址路径规划问题、港口调度、港口岸桥调度、停机位分配、机场航班调度、泄漏源定位
🌈 机器学习和深度学习时序、回归、分类、聚类和降维
2.1 bp时序、回归预测和分类
2.2 ENS声神经网络时序、回归预测和分类
2.3 SVM/CNN-SVM/LSSVM/RVM支持向量机系列时序、回归预测和分类
2.4 CNN|TCN|GCN卷积神经网络系列时序、回归预测和分类
2.5 ELM/KELM/RELM/DELM极限学习机系列时序、回归预测和分类
2.6 GRU/Bi-GRU/CNN-GRU/CNN-BiGRU门控神经网络时序、回归预测和分类
2.7 ELMAN递归神经网络时序、回归\预测和分类
2.8 LSTM/BiLSTM/CNN-LSTM/CNN-BiLSTM/长短记忆神经网络系列时序、回归预测和分类
2.9 RBF径向基神经网络时序、回归预测和分类
2.10 DBN深度置信网络时序、回归预测和分类
2.11 FNN模糊神经网络时序、回归预测
2.12 RF随机森林时序、回归预测和分类
2.13 BLS宽度学习时序、回归预测和分类
2.14 PNN脉冲神经网络分类
2.15 模糊小波神经网络预测和分类
2.16 时序、回归预测和分类
2.17 时序、回归预测预测和分类
2.18 XGBOOST集成学习时序、回归预测预测和分类
2.19 Transform各类组合时序、回归预测预测和分类
方向涵盖风电预测、光伏预测、电池寿命预测、辐射源识别、交通流预测、负荷预测、股价预测、PM2.5浓度预测、电池健康状态预测、用电量预测、水体光学参数反演、NLOS信号识别、地铁停车精准预测、变压器故障诊断
🌈图像处理方面
图像识别、图像分割、图像检测、图像隐藏、图像配准、图像拼接、图像融合、图像增强、图像压缩感知
🌈 路径规划方面
旅行商问题(TSP)、车辆路径问题(VRP、MVRP、CVRP、VRPTW等)、无人机三维路径规划、无人机协同、无人机编队、机器人路径规划、栅格地图路径规划、多式联运运输问题、 充电车辆路径规划(EVRP)、 双层车辆路径规划(2E-VRP)、 油电混合车辆路径规划、 船舶航迹规划、 全路径规划规划、 仓储巡逻
🌈 无人机应用方面
无人机路径规划、无人机控制、无人机编队、无人机协同、无人机任务分配、无人机安全通信轨迹在线优化、车辆协同无人机路径规划
🌈 通信方面
传感器部署优化、通信协议优化、路由优化、目标定位优化、Dv-Hop定位优化、Leach协议优化、WSN覆盖优化、组播优化、RSSI定位优化、水声通信、通信上传下载分配
🌈 信号处理方面
信号识别、信号加密、信号去噪、信号增强、雷达信号处理、信号水印嵌入提取、肌电信号、脑电信号、信号配时优化、心电信号、DOA估计、编码译码、变分模态分解、管道泄漏、滤波器、数字信号处理+传输+分析+去噪、数字信号调制、误码率、信号估计、DTMF、信号检测
🌈电力系统方面
微电网优化、无功优化、配电网重构、储能配置、有序充电、MPPT优化、家庭用电
🌈 元胞自动机方面
交通流 人群疏散 病毒扩散 晶体生长 金属腐蚀
🌈 雷达方面
卡尔曼滤波跟踪、航迹关联、航迹融合、SOC估计、阵列优化、NLOS识别
🌈 车间调度
零等待流水车间调度问题NWFSP 、 置换流水车间调度问题PFSP、 混合流水车间调度问题HFSP 、零空闲流水车间调度问题NIFSP、分布式置换流水车间调度问题 DPFSP、阻塞流水车间调度问题BFSP
👇
30

被折叠的 条评论
为什么被折叠?



