点击蓝字

关注我们
AI TIME欢迎每一位AI爱好者的加入!
引言

一种用于医学图像中管状物结构分割的新框架 HarmonySeg,通过深浅特征融合与生长-抑制平衡损失,在复杂影像环境下实现了对血管、气道等细长结构的高精度、高连通性分割。该方案突破了“标注缺失、小血管漏检、结构断裂”三大瓶颈,让模型在不依赖完美标注的前提下,也能像医生一样“该连的连上,该去的去掉”,实现解剖逻辑层面的合理补全。HarmonySeg 在肝脏血管、视网膜血管、气道树、冠状动脉等多个任务上展现出优秀性能,尤其在拓扑连通性与微小结构保留方面表现出色。
论文题目:《HarmonySeg: Tubular Structure Segmentation with \\Deep-Shallow Feature Fusion and Growth-Suppression Balanced Loss》
Arxiv链接:https://arxiv.org/abs/2504.07827
作者| 阿里巴巴达摩院工程师 黄艺
图1:我们利用Vesselness特征来提升召回率,并基于图像特征过滤异常值以保持精度,同时采用生长抑制平衡损失函数,在标注缺失的情况下,以合理噪声水平促进管状物拓扑生长。
引言
医学影像中的管状物结构——如肝内血管、支气管树、视网膜微血管、冠状动脉——是疾病诊断、手术规划和放疗设计的关键。然而这些管状物结构往往尺度多变、拓扑复杂、分布稀疏。这使得人工标注成本极高,公开数据集的标签往往“草图式”甚至大面积缺失,导致传统分割模型在训练时“学不全”,推理时“断得多”。
经典的血管度(vesselness)滤波系列方法能够有效突出影像中管状物结构,但易受噪声和背景干扰,且常需复杂后处理,泛化能力有限。深度学习虽能端到端建模,但在标注缺失下仍难避免“误连噪声”或“过度断裂”的问题。如何让AI在不完整监督下依然输出完整、合理的拓扑结构,成为医学分割领域的一大挑战。

方法

图2. HarmonySeg 框架。模型以图像及其vesselness滤波结果作为输入,通过两者间多级特征融合来提升recall,并应用生长-抑制平衡损失提升precision。
以CT图像中的肝血管分割为例进行说明,HarmonySeg整体框架如图2所示。
2.1浅深融合(Shallow and Deep Fusion, SADF)
已有研究证明vesselness滤波能够有效增强血管区域。我们没有简单拼接原始图像与vesselness滤波结果,而是将其视为独立辅助模态,通过浅层定位 + 深层交互的融合机制,让vesselness真正“参与决策”,不只是“贴图增强”,真正发挥vesselness的“导航”作用。深浅融合模块SADF通过两个核心组件,深层互查询(Deep Mutual Query, DMQ) 和 浅层查询(Shallow Query, SQ),在浅层和深层特征阶段实现两者间充分交互。DMQ 作用于CT图像与vesselness滤波的深层特征(记为
和
),实现两种模态之间的全局依赖建模,为后续解码提供基础。如图2(b)所示:

通过交叉注意力,vesselness可引导CT特征聚焦于高血管密度区域,同时通过自注意力保留CT自身全局信息,避免被vesselness中的噪声干扰。同时,通过
对
间类似的融合,得到
,从而利用CT中的信息来抑制vesselness图中的(如肝脏边缘的)异常响应。相较于深层特征富含语义信息,浅层特征则包含更精确的空间位置信息。因此,我们在SQ模块中进一步利用vesselness帮助定位CT图像中的潜在血管区域,如图2(c):


最后,
与
和
结合,整合全部血管信息。
2.2 深浅解码(Deep-to-Shallow Decoding, D2SD)
已有方法难以抓住尺度多样的管状物结构,即模型感受野固定,难以适应从主干到毛细的尺度变化。我们采用多感受野灵活卷积+深浅解码策略,兼顾主干结构与微小分支,细节更完整。在通过SADF完成CT与vesselness特征融合后,D2SD策略从深层到浅层逐步进行多尺度解码。各浅层单独进行“预解码”,充分利用浅层特征的局部不变性和精确空间信息,实现对适应当前尺度血管的精准定位。
此外,上采样后的
和
也参与各尺度的“预解码”,进一步促进两种模态特征在浅层的对齐,使vesselness在解码阶段始终发挥引导作用,突出潜在血管区域。最终,融合对不同尺度血管具有不同敏感性的各浅层输出
与深层输出
,得到最终结果。

图3. 生长-抑制平衡(growth-suppression balance, GSB)的示意图。
2.3 生长-抑制平衡(Growth-Suppression Balance, GSB)损失
在通过损失函数施加拓扑结构约束时过于依赖完备标注,当面临标注缺失的情况时,拓扑结构极易断裂或误连。HarmonySeg则提出GSB损失,在标注缺失的情况下通过自适应生长补全拓扑结构,并抑制过度生长带来的噪声:

松弛监督损失
利用形状先验驱动血管区域的扩展,以应对标注缺失问题;连通性损失
鼓励预测骨架与补全骨架对齐;两者共同促进血管生长。空间先验损失
通过浅层特征相似性控制生长区域的一致性;混合等价损失
则进一步施加混合不变性约束帮助抑制过度生长带来的噪声;两者在权重
控制下在促进血管合理生长补全的同时,有效抑制噪声,实现边界精确与拓扑完整的平衡。

实验结果
我们在肝脏血管分割(hepatic vessel segmentation, HVS)、视网膜血管分割(retinal vessel segmentation, RVS)、气管树分割(airway tree segmentation, ATS)和冠状动脉分割(coronary artery segmentation, CAS)等多个代表性医学影像管状物分割任务上对HarmonySeg进行了测试,并与近年来提出的杰出方法进行了比较。具体结果如下:
表1. HVS任务定量指标比较。最佳和次佳分别以粗体和下划线突出。


图4. 肝脏血管分割结果示例。红色表示分割结果,绿色表示对应标签。黄色箭头突出改进之处。
表2. RVS任务定量指标比较。最佳和次佳分别以粗体和下划线突出。


图5. 视网膜血管分割结果示例。
表3. ATS任务定量指标比较。最佳和次佳分别以粗体和下划线突出。


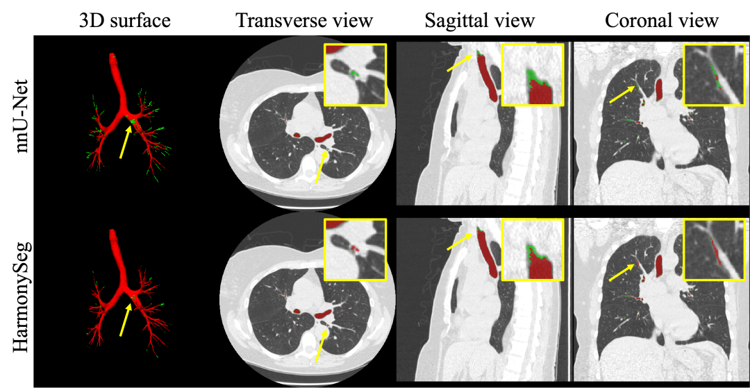
图6. 气管树分割结果示例。
表4. CAS任务定量指标比较。最佳和次佳分别以粗体和下划线突出。


图7. 冠状动脉分割结果示例。
在HVS任务中,HarmonySeg在衡量分割整体性能的Dice和血管树连通性的clDice上都实现了最优的性能,F1-score的优化也表明HarmonySeg在recall和precision之间实现了有效的平衡。其他任务中HarmonySeg也表现良好。整体来看,HarmonySeg在上述任务中均表现出了具有竞争力的性能,在多项指标上领先于已有模型。

结论
HarmonySeg用一套攻克了医学影像中的管状物分割难题。以肝脏血管为例,一是将vesselness从预处理步骤变成管状物的“智能导航仪”。相比只是将vesselness和原始图像简单拼接,“有了地图但不看”,HarmonySeg将其作为独立辅助模态,通过深浅融合模块(SADF),在浅层定位潜在血管区域,在深层通过交叉注意力机制,让网络“边看vesselness、边对照CT”,显著提升微小血管召回率,同时过滤噪声伪影。
二是由深到浅解码(D2SD),兼顾全局语义与局部细节。管状物结构有粗有细、有主干有分支。传统U-Net类结构在深层丢失空间细节,容易断枝。HarmonySeg 设计深到浅解码策略,结合多感受野灵活卷积块,在不同尺度上并行恢复结构信息。无论是毫米级肝内小血管,还是复杂的支气管树,都能精准捕捉。
三是生长-抑制平衡损失,让模型学会“合理补全”。面对标注缺失,不少模型束手无策。HarmonySeg 提出拓扑感知的GSB损失 ,实现先“生长”:利用形状先验,合理延伸缺失路径,补全断裂结构;再“抑制”:通过上下文一致性与混合等价性约束,防止噪声过度扩张,就像医生补画血管一样,既连得上,又不乱连。
往期精彩文章推荐
关于AI TIME
AI TIME源起于2019年,旨在发扬科学思辨精神,邀请各界人士对人工智能理论、算法和场景应用的本质问题进行探索,加强思想碰撞,链接全球AI学者、行业专家和爱好者,希望以辩论的形式,探讨人工智能和人类未来之间的矛盾,探索人工智能领域的未来。
迄今为止,AI TIME已经邀请了2000多位海内外讲者,举办了逾800场活动,超1000万人次观看。

我知道你
在看
提出观点,表达想法,欢迎
留言

点击 阅读原文 访问AITIME官网!



18

被折叠的 条评论
为什么被折叠?



